Suppr超能文献

Diffuse large B-cell lymphoma transformed from mucosa-associated lymphoid tissue lymphoma arising in a female urethra treated with rituximab for the first time.

作者信息

Zahrani A Al, Abdelsalam M, Fiaar A Al, Ibrahim N, Al-Elawi A, Muhammad B

机构信息

Oncology Department, Riyadh Military Hospital, Riyadh, Kingdom of Saudi Arabia.

出版信息

Case Rep Oncol. 2012 May;5(2):238-45. doi: 10.1159/000333357. Epub 2012 May 15.

Abstract

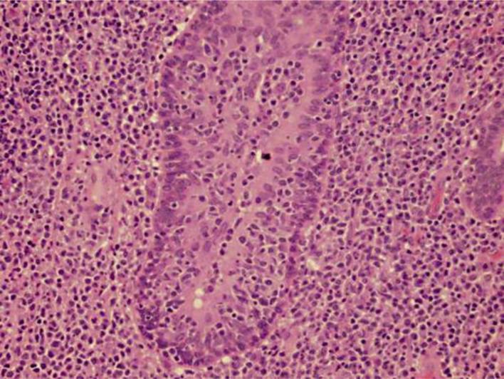
A 30-year-old female patient presented to the gynecology clinic with a small (painless) swelling at the urethral orifice. She underwent surgical excision of the lesion. Pathological examination revealed non-Hodgkin's lymphoma of diffuse large B-cell type and mucosa-associated lymphoid tissue type, stage IE. The patient refused radiotherapy. Accordingly, we started CHOP-R chemotherapy. She received a total of 6 cycles of CHOP and 8 cycles of rituximab. Patient follow-up was done 3 months later through CT scan and cytoscopy confirming the complete remission. The patient has been disease-free for 4 years. We reviewed 26 cases of this rare entity reported previously.

摘要
https://cdn.ncbi.nlm.nih.gov/pmc/blobs/b0fe/3369256/d9a20552b27f/cro-0005-0238-g01.jpg

文献AI研究员

20分钟写一篇综述,助力文献阅读效率提升50倍。

立即体验

用中文搜PubMed

大模型驱动的PubMed中文搜索引擎

马上搜索

文档翻译

学术文献翻译模型,支持多种主流文档格式。

立即体验