Yang Hyun-Jong
Department of Parasitology and Ewha Global Challenge, Ewha Womans University School of Medicine, Seoul 158-710, Korea.
Korean J Parasitol. 2012 Jun;50(2):181-3. doi: 10.3347/kjp.2012.50.2.181. Epub 2012 May 24.
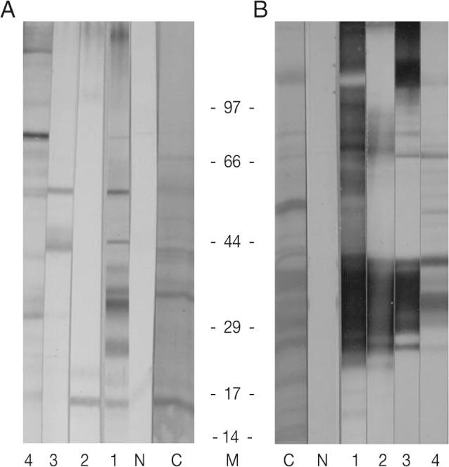
The author reported previously on separation of the outer tegument of the spargana (plerocercoids of Spirometra mansoni) using high concentration of urea solution. To determine which layer of the tegument is separated by this method, an electron microscopic analysis has been processed in this study. It was confirmed that the basement layer of the tegument is separated from the parenchyme of the sparganum. In addition, the antigenicity of the separated outer tegument against the human sparganosis patient sera was evaluated. Numerous antigenic proteins, including 16 and 55 kDa proteins, were noticed in the separated tegument; however, there were no diagnostic 31/36 kDa molecules in this tegument. The molecules reactive with the patient sera in the tegument are to be characterized in future studies.
作者之前报道了使用高浓度尿素溶液分离曼氏迭宫绦虫裂头蚴(曼氏迭宫绦虫的蚴体)的外皮层。为了确定通过这种方法分离的是外皮层的哪一层,本研究进行了电子显微镜分析。证实了外皮层的基底层与裂头蚴的实质分离。此外,还评估了分离出的外皮层对人体裂头蚴病患者血清的抗原性。在分离出的外皮层中发现了许多抗原蛋白,包括16 kDa和55 kDa的蛋白;然而,该外皮层中没有诊断性的31/36 kDa分子。外皮层中与患者血清反应的分子将在未来的研究中进行表征。