Suppr超能文献

关于应用冷冻探头进行组织消融的潜在作用评估。

Assessment on the potential role of applying cryoprobe for tissue ablation.

作者信息

Seo Min Ho, Jeen Yoon Tae, Park Sang Jung, Kim Sun Young, Cho Hye Jin, Choi Hyuk Sun, Chun Hoon Jai, Kim Chang Duck, Ryu Ho Sang, Chae Yang Seok

机构信息

Department of Internal Medicine, Korea University College of Medicine, Seoul, Korea.

出版信息

Clin Endosc. 2012 Mar;45(1):67-72. doi: 10.5946/ce.2012.45.1.67. Epub 2012 Mar 31.

Abstract

BACKGROUND/AIMS: Cryotherapy is the therapeutic application for tissue ablation. Clinical applications of cryotherpy such as in pulmonology have increased. Until now, its development in gastroenterology has been insignificant. But, as clinical application such as mucosal ablation on Barrett's esophagus became possible, various applications have been developed. Therefore, it is important to make standards of tissue injury's extent in cryotherapy prior to clinical trial. We evaluated the tissue injury according to the application of cryoprobe with a pig model.

METHODS

Cryoprobe was applied to several different segments of the esophagus and stomach for various lengths of time using various number of probe's contact in a pig model. After 48 hours, esophagus and stomach were harvested and histological tissue injury was assessed. The extent of tissue injury was decided by the injury of the deepest layer.

RESULTS

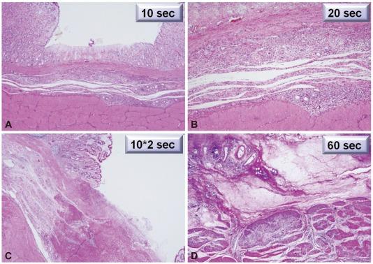
Endoscopic application of cryoprobe on esophagus and stomach resulted in a dose-dependent injury: esophageal necrosis was limited to the submucosa after 10 seconds of cryotherapy, and extended to involve the transmural necrosis after over 15 seconds. Necrosis on stomach was extended to involve the transmural necrosis after over 20 seconds.

CONCLUSIONS

Positive relationship was seen between the duration and frequency of cryoprobe application and the extent of tissue injury.

摘要

背景/目的:冷冻疗法是一种用于组织消融的治疗方法。冷冻疗法在诸如肺病学等临床领域的应用有所增加。到目前为止,其在胃肠病学领域的发展并不显著。但是,随着诸如对巴雷特食管进行黏膜消融等临床应用成为可能,各种应用也得到了发展。因此,在进行临床试验之前制定冷冻疗法中组织损伤程度的标准很重要。我们使用猪模型根据冷冻探头的应用情况评估了组织损伤。

方法

在猪模型中,使用不同数量的探头接触,将冷冻探头应用于食管和胃的几个不同节段,并保持不同的时间长度。48小时后,取出食管和胃,评估组织学上的组织损伤情况。组织损伤的程度由最深层的损伤情况决定。

结果

在食管和胃上进行冷冻探头的内镜应用导致了剂量依赖性损伤:冷冻治疗10秒后食管坏死局限于黏膜下层,超过15秒后则扩展至全层坏死。胃的坏死在超过20秒后扩展至全层坏死。

结论

冷冻探头应用的持续时间和频率与组织损伤程度之间存在正相关关系。

https://cdn.ncbi.nlm.nih.gov/pmc/blobs/e47b/3363117/646e61c84ed5/ce-45-67-g001.jpg

文献AI研究员

20分钟写一篇综述,助力文献阅读效率提升50倍。

立即体验

用中文搜PubMed

大模型驱动的PubMed中文搜索引擎

马上搜索

文档翻译

学术文献翻译模型,支持多种主流文档格式。

立即体验