Suppr超能文献

角质形成细胞分化过程中基因表达的表观遗传调控

Epigenetic Modulation of Gene Expression during Keratinocyte Differentiation.

作者信息

Back Seung Ju, Im Myung, Sohn Kyung Cheol, Choi Dae Kyoung, Shi Ge, Jeong Nam Ji, Lee Young, Seo Young Joon, Kim Chang Deok, Lee Jeung Hoon

机构信息

Department of Dermatology, Chungnam National University School of Medicine, Daejeon, Korea.

出版信息

Ann Dermatol. 2012 Aug;24(3):261-6. doi: 10.5021/ad.2012.24.3.261. Epub 2012 Jul 25.

Abstract

BACKGROUND

Epigenetic modulation of gene expression occurs by various methods, including DNA methylation and histone modification. DNA methylation of specific genes may affect the chromatin structure, preventing access by the transcriptional machinery. Although gene expression is dramatically changed during keratinocyte differentiation, there is no evidence of epigenetic modulation during the process of epidermal stratification.

OBJECTIVE

We investigated whether epigenetic modulation is involved in keratinocyte differentiation-specific gene regulation.

METHODS

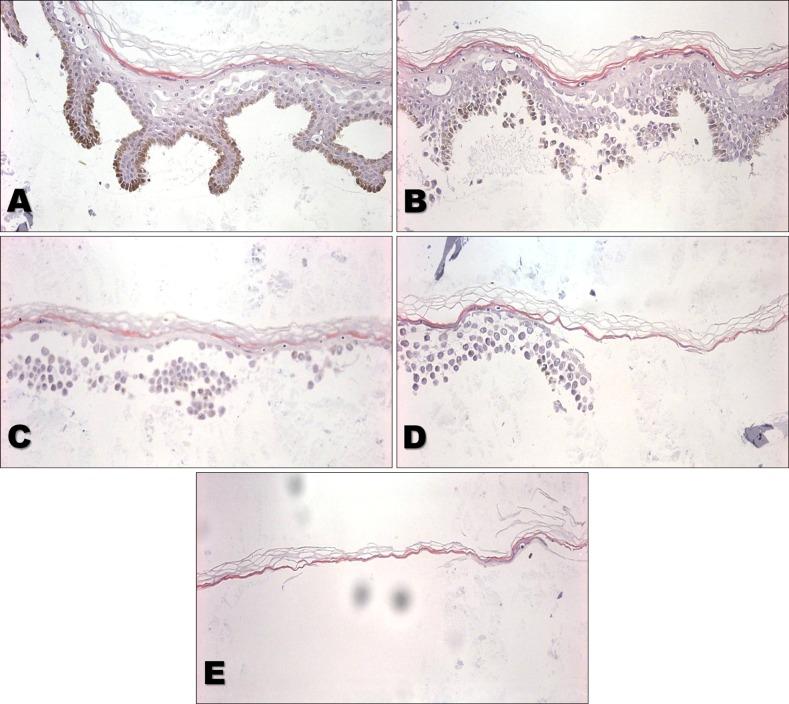
We used trypsin to produce epidermal fragmentation (named T1-T4) and performed a morphological analysis using hematoxylin-eosin stain and cytokeratin expression based on reverse transcription polymerase chain reaction. We then constructed a DNA methylation microarray.

RESULTS

Each epidermal fragment showed morphological features of the epithelial layer. T1 represented the basal layer, T2 was the spinous layer, T3 was the granular layer, and T4 was the cornified layer. The level of the K14 proliferation marker was increased in the T1 fraction, and the level of K10 differentiation marker was increased in the T2-T4 fractions. Using a methylation microarray with the T1 and T4 fractions, we obtained many hypermethylated and hypomethylated genes from differentiated keratinocytes.

CONCLUSION

The importance of epigenetic modulation in target gene expression during keratinocyte differentiation is identified.

摘要

背景

基因表达的表观遗传调控通过多种方式发生,包括DNA甲基化和组蛋白修饰。特定基因的DNA甲基化可能影响染色质结构,阻止转录机制的进入。尽管在角质形成细胞分化过程中基因表达发生了显著变化,但在表皮分层过程中尚无表观遗传调控的证据。

目的

我们研究了表观遗传调控是否参与角质形成细胞分化特异性基因的调控。

方法

我们用胰蛋白酶产生表皮片段(命名为T1-T4),并使用苏木精-伊红染色进行形态学分析,以及基于逆转录聚合酶链反应的细胞角蛋白表达分析。然后我们构建了一个DNA甲基化微阵列。

结果

每个表皮片段都显示出上皮层的形态特征。T1代表基底层,T2是棘层,T3是颗粒层,T4是角质层。K14增殖标志物的水平在T1组分中升高,K10分化标志物的水平在T2-T4组分中升高。使用T1和T4组分的甲基化微阵列,我们从分化的角质形成细胞中获得了许多高甲基化和低甲基化基因。

结论

确定了表观遗传调控在角质形成细胞分化过程中对靶基因表达的重要性。

https://cdn.ncbi.nlm.nih.gov/pmc/blobs/783f/3412233/d02fd1e3f288/ad-24-261-g001.jpg

文献AI研究员

20分钟写一篇综述,助力文献阅读效率提升50倍。

立即体验

用中文搜PubMed

大模型驱动的PubMed中文搜索引擎

马上搜索

文档翻译

学术文献翻译模型,支持多种主流文档格式。

立即体验