Stefanovski Dime, Walfisch Asnat, Kedev Saško, Tager Salis
Cardiac Surgery Department, ACIBADEM Sistina Clinical Center, Skopje, Macedonia.
J Cardiothorac Surg. 2012 Aug 16;7:75. doi: 10.1186/1749-8090-7-75.
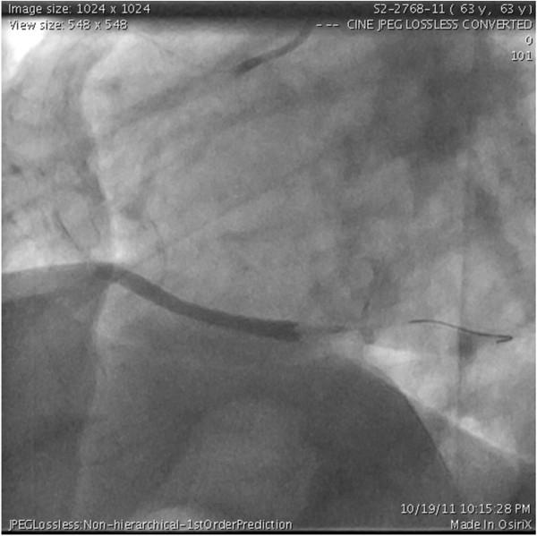
Ischemic rupture of the anterolateral papillary muscle is uncommon due to its dual blood supply. It usually follows an ischemic event involving branches of the left circumflex or left anterior descending arteries. We present a case of a patient admitted with an acute inferior wall myocardial infarction and an isolated distal right coronary artery occlusion. Acute mitral regurgitation with rupture of the anterolateral papillary muscle was diagnosed on the fifth post-infarction day. The patient underwent mitral valve replacement and coronary artery bypass grafting to the posterior descending artery. We conclude that anterolateral papillary muscle rupture may also result from an isolated right coronary lesion.