Suppr超能文献

术后无菌性颅内肉芽肿:液体止血剂的可能影响。

Postoperative aseptic intracranial granuloma: the possible influence of fluid hemostatics.

作者信息

Ganau Mario, Nicassio Nicola, Tacconi Leonello

机构信息

Department of Neurosurgery, University Hospital Trieste, Strada di Fiume 447, 34149 Trieste, Italy.

出版信息

Case Rep Surg. 2012;2012:614321. doi: 10.1155/2012/614321. Epub 2012 Aug 9.

Abstract

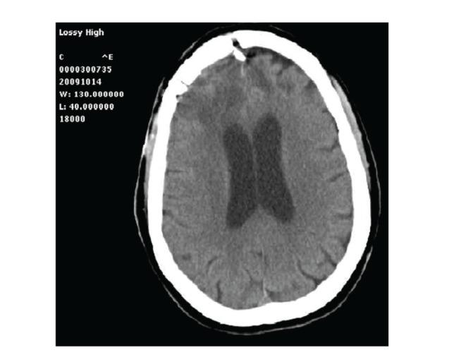
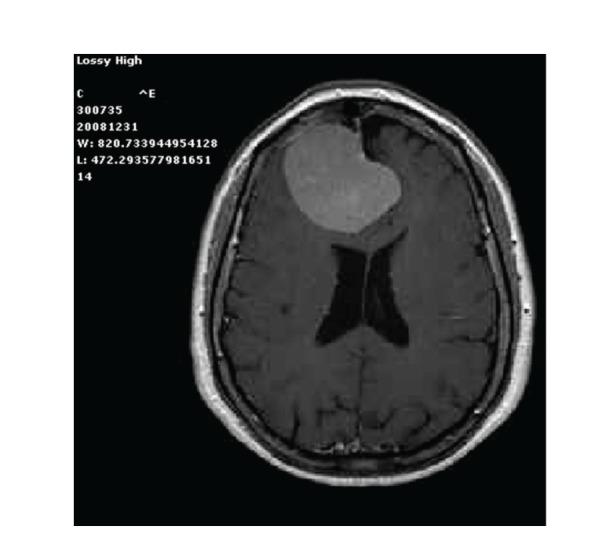
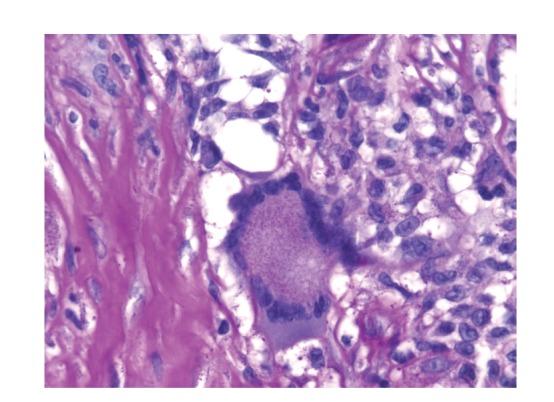
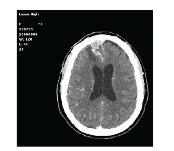
Background. Numerous reports have demonstrated how postoperative intracranial granulomas can often mimic neoplasm clinically, radiologically, and even macroscopically. Herein we present an unusual case of postsurgical intracranial aseptic granuloma secondary to a chronic inflammatory reaction without any identifiable retained foreign body. Case Description. A 71-year-old patient started complaining of severe headache seven months after surgical excision of WHO Grade I right frontal falx meningioma. CT and MRI scans disclosed a contrast-enhanced lesion with diffuse mass effect in the previous surgical site. The lesion was resected; intraoperative finding and histological specimens led to the diagnosis of postoperative granuloma, likely expression of a glial reaction to the fluid absorbable hemostatics applied in the surgical site after meningioma excision. The possible granuloma-inducing materials and the timing of granuloma formation are discussed. Conclusion. A comprehensive analysis of clinical and neuroradiological data, as well as results of blood tests including positive and negative acute phase proteins, is mandatory to raise the suspicion of postoperative granuloma. The treatment options should be evaluated on a case-by-case basis, with a conservative attitude being the one of choice only for patients without progressive neurological deficit. Alternatively, aggressive surgical treatment and histopathological examination should be advocated.

摘要

背景。大量报告表明,术后颅内肉芽肿在临床、放射学甚至宏观层面上常常可模拟肿瘤。在此,我们呈现一例不寻常的术后颅内无菌性肉芽肿病例,其继发于慢性炎症反应,且无任何可识别的残留异物。病例描述。一名71岁患者在世界卫生组织一级右额镰旁脑膜瘤手术切除七个月后开始主诉严重头痛。CT和MRI扫描显示在先前手术部位有一个强化病变,伴有弥漫性占位效应。该病变被切除;术中发现及组织学标本诊断为术后肉芽肿,可能是对脑膜瘤切除后手术部位应用的可吸收液体止血剂的胶质反应表现。讨论了可能诱发肉芽肿的物质及肉芽肿形成的时间。结论。对临床和神经放射学数据以及包括正负急性期蛋白在内的血液检查结果进行全面分析,对于提高对术后肉芽肿的怀疑至关重要。治疗方案应逐案评估,对于无进行性神经功能缺损的患者,保守态度是首选。或者,应提倡积极的手术治疗和组织病理学检查。

https://cdn.ncbi.nlm.nih.gov/pmc/blobs/5a6e/3423776/429246e1c5f0/CRIM.SURGERY2012-614321.001.jpg

文献AI研究员

20分钟写一篇综述,助力文献阅读效率提升50倍。

立即体验

用中文搜PubMed

大模型驱动的PubMed中文搜索引擎

马上搜索

文档翻译

学术文献翻译模型,支持多种主流文档格式。

立即体验