Suppr超能文献

人免疫系统移植小鼠体内针对 HER-2 阳性癌细胞的人体反应。

Human responses against HER-2-positive cancer cells in human immune system-engrafted mice.

机构信息

Department of Experimental Pathology, Cancer Research Section, Alma Mater Studiorum Università di Bologna, Italy.

出版信息

Br J Cancer. 2012 Oct 9;107(8):1302-9. doi: 10.1038/bjc.2012.394. Epub 2012 Aug 28.

Abstract

BACKGROUND

Human immune system (HIS)-engrafted mice are new tools to investigate human immune responses. Here, we used HIS mice to study human immune responses against human HER-2-positive cancer cells and their ability to control tumour growth and metastasis.

METHODS

BALB/c Rag2(-/-), Il2rg(-/-) mice were engrafted with CD34(+) or CD133(+) human cord blood hematopoietic stem cells (HSC) and vaccinated with human HER-2-positive cancer cells SK-OV-3 combined to human IL-12.

RESULTS

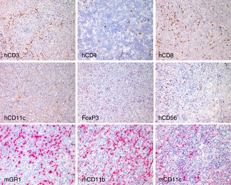
Both CD34(+) or CD133(+) human HSC gave long-term engraftment and differentiation, both in peripheral blood and in lymphoid organs, and production of human antibodies. Vaccinated mice produced specific anti-HER-2 human IgG. An s.c. SK-OV-3 challenge was significantly inhibited (but not abolished) in both vaccinated and non-vaccinated HIS mice. Tumours were heavily infiltrated with human and murine cells, mice showed NK cells and production of human interferon-γ, that could contribute to tumour growth inhibition. Vaccinated HIS mice showed significantly inhibited lung metastases when compared with non-vaccinated HIS mice and to non-HIS mice, along with higher levels of tumour-infiltrating human dendritic cells.

CONCLUSION

Anti-HER-2 responses were elicited through an adjuvanted allogeneic cancer cell vaccine in HIS mice. Human immune responses elicited in HIS mice effectively inhibited lung metastases.

摘要

背景

人免疫系统(HIS)移植小鼠是研究人类免疫反应的新工具。在这里,我们使用 HIS 小鼠研究人类对人 HER-2 阳性癌细胞的免疫反应及其控制肿瘤生长和转移的能力。

方法

BALB/c Rag2(-/-)、Il2rg(-/-)小鼠移植 CD34(+)或 CD133(+)人脐血造血干细胞(HSC),并用人 HER-2 阳性癌细胞 SK-OV-3 与人 IL-12 联合进行疫苗接种。

结果

CD34(+)或 CD133(+)人 HSC 均能在小鼠外周血和淋巴器官中进行长期的植入和分化,并产生人抗体。接种疫苗的小鼠产生了特异性抗 HER-2 人 IgG。在接种和未接种 HIS 小鼠中,皮下 SK-OV-3 挑战均明显受到抑制(但未完全消除)。肿瘤组织中大量浸润着人和鼠细胞,小鼠表现出 NK 细胞和人干扰素-γ的产生,这可能有助于抑制肿瘤生长。与未接种 HIS 小鼠和非 HIS 小鼠相比,接种疫苗的 HIS 小鼠的肺转移明显受到抑制,同时肿瘤浸润的人树突状细胞水平也更高。

结论

通过佐剂性同种异体癌细胞疫苗在 HIS 小鼠中引发了抗 HER-2 反应。在 HIS 小鼠中引发的人类免疫反应有效抑制了肺转移。

https://cdn.ncbi.nlm.nih.gov/pmc/blobs/4afa/3494430/fbdb1d69af46/bjc2012394f1.jpg

文献AI研究员

20分钟写一篇综述,助力文献阅读效率提升50倍。

立即体验

用中文搜PubMed

大模型驱动的PubMed中文搜索引擎

马上搜索

文档翻译

学术文献翻译模型,支持多种主流文档格式。

立即体验