Suppr超能文献

1型遗传性运动和感觉神经病患儿下肢创伤的挽救手术:病例报告

Salvage procedures in lower-extremity trauma in a child with hereditary motor and sensory neuropathy type I: a case report.

作者信息

Gothner Martin, Dudda Marcel, Schildhauer Thomas A, Klapperich Thomas

机构信息

Department of General and Trauma Surgery, BG-University Hospital Bergmannsheil, Ruhr-University Bochum, Bürkle de-la-Camp Platz 1, Bochum, 44789, Germany.

出版信息

J Med Case Rep. 2012 Sep 4;6:276. doi: 10.1186/1752-1947-6-276.

Abstract

INTRODUCTION

Fractures of the lower extremity are a common type of childhood injury and many can be treated without surgery. Dislocated and open fractures are an indication for fracture stabilization via either intramedullary nailing or, in the case of complicated fractures, external fixation. But if complications are likely because of diseases and disabilities (for example, a neuropathy) that can complicate the post-operative procedure and rehabilitation, what options does one have?

CASE PRESENTATION

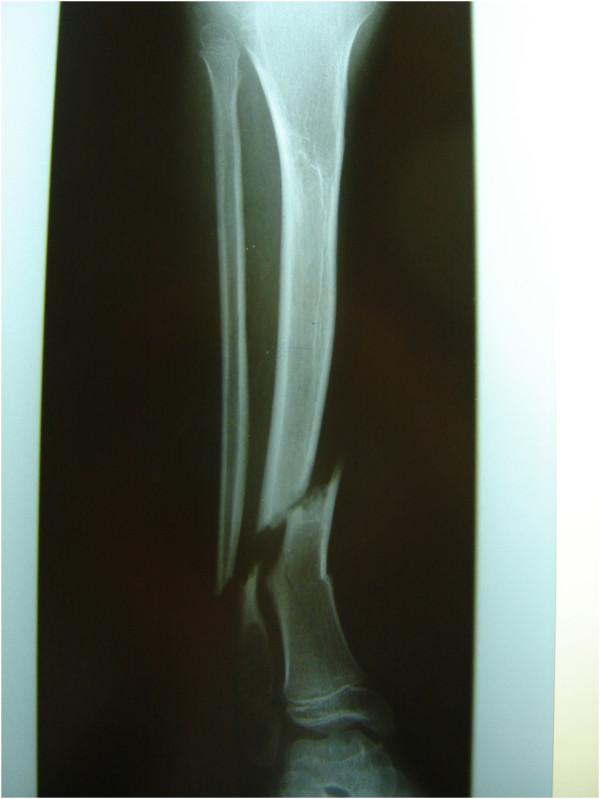
We report a nine-year-old Caucasian girl who had hereditary motor and sensory neuropathy type I and who was admitted with a grade I open tibia fracture after a fall from a small height. Plain radiographs showed a dislocated tibia and fibula fracture. An open reduction with internal fixation with a compression plate osteosynthesis was performed, and soft tissue debridement combined with an external fixateur was undertaken. Three months later, she was re-admitted with localized swelling and signs of a local soft tissue infection in the middle of her tibia. Plain radiographs showed a non-union of the tibia fracture, and microbiological analysis confirmed a wound infection with cefuroxime-sensitive Staphylococcus aureus. Because of the non-union, the osteosynthesis was replaced with an Ilizarov external fixateur, and appropriate antibiotic therapy was initiated. Four months after the initial accident, the fracture was consolidated and we removed the external fixateur.

CONCLUSIONS

If there is a pre-existing neuropathy and if disease makes it difficult for a child to follow all post-operative instructions, salvage procedures should be kept in mind in case of complications. There are multiple therapeutic options, including osteosynthesis, intramedullary nailing systems, cast therapy, or an external fixateur like the Ilizarov or Taylor spatial frame system. The initial use of an external fixateur such as an Ilizarov or Taylor spatial frame in patients with pre-existing neuropathies should be kept in mind as a possible treatment option in complicated fractures, especially in a child with pre-existing neurological or endocrine pathologies.

摘要

引言

下肢骨折是儿童常见的损伤类型,许多骨折无需手术即可治疗。脱位和开放性骨折是通过髓内钉固定骨折或在复杂骨折情况下进行外固定的指征。但是,如果由于疾病和残疾(例如神经病变)可能导致并发症,使术后程序和康复变得复杂,那么有哪些选择呢?

病例报告

我们报告一名9岁的白种女孩,她患有I型遗传性运动和感觉神经病变,因从低处跌落导致I级开放性胫骨骨折入院。X线平片显示胫骨和腓骨骨折脱位。进行了切开复位并用加压钢板内固定,同时进行了软组织清创并结合外固定架。三个月后,她再次入院,胫骨中部出现局部肿胀和局部软组织感染迹象。X线平片显示胫骨骨折不愈合,微生物分析证实伤口感染了对头孢呋辛敏感的金黄色葡萄球菌。由于骨折不愈合,将内固定换成了伊里扎洛夫外固定架,并开始了适当的抗生素治疗。初次事故四个月后,骨折愈合,我们拆除了外固定架。

结论

如果存在既往神经病变,且疾病使儿童难以遵循所有术后指示,那么在出现并发症时应考虑挽救手术。有多种治疗选择,包括骨固定、髓内钉系统、石膏治疗或伊里扎洛夫或泰勒空间框架系统等外固定架。对于患有既往神经病变的患者,最初使用伊里扎洛夫或泰勒空间框架等外固定架应作为复杂骨折的一种可能治疗选择予以考虑,特别是对于患有既往神经或内分泌疾病的儿童。

https://cdn.ncbi.nlm.nih.gov/pmc/blobs/3453/3443664/f2ba6e7856a2/1752-1947-6-276-1.jpg

文献检索

告别复杂PubMed语法,用中文像聊天一样搜索,搜遍4000万医学文献。AI智能推荐,让科研检索更轻松。

立即免费搜索

文件翻译

保留排版,准确专业,支持PDF/Word/PPT等文件格式,支持 12+语言互译。

免费翻译文档

深度研究

AI帮你快速写综述,25分钟生成高质量综述,智能提取关键信息,辅助科研写作。

立即免费体验