• 文献检索
  • 文档翻译
  • 深度研究
  • 学术资讯
  • Suppr Zotero 插件Zotero 插件
  • 邀请有礼
  • 套餐&价格
  • 历史记录
应用&插件
Suppr Zotero 插件Zotero 插件浏览器插件Mac 客户端Windows 客户端微信小程序
定价
高级版会员购买积分包购买API积分包
服务
文献检索文档翻译深度研究API 文档MCP 服务
关于我们
关于 Suppr公司介绍联系我们用户协议隐私条款
关注我们

Suppr 超能文献

核心技术专利:CN118964589B侵权必究
粤ICP备2023148730 号-1Suppr @ 2026

文献检索

告别复杂PubMed语法,用中文像聊天一样搜索,搜遍4000万医学文献。AI智能推荐,让科研检索更轻松。

立即免费搜索

文件翻译

保留排版,准确专业,支持PDF/Word/PPT等文件格式,支持 12+语言互译。

免费翻译文档

深度研究

AI帮你快速写综述,25分钟生成高质量综述,智能提取关键信息,辅助科研写作。

立即免费体验

采用节段性脊柱骨盆固定术对脊髓脊膜膨出(MMC)患者先天性脊柱后凸进行手术矫正的长期疗效。

Long-term outcome of surgical correction of congenital kyphosis in patients with myelomeningocele (MMC) with segmental spino-pelvic fixation.

作者信息

Schroeder Josh E, Barzilay Yair, Hasharoni Amir, Kaplan Leon

机构信息

Spine Unit, Hadassah-Hebrew University Medical Center, Jerusalem, Israel.

出版信息

Evid Based Spine Care J. 2011 Feb;2(1):17-22. doi: 10.1055/s-0030-1267082.

DOI:10.1055/s-0030-1267082
PMID:22956932
原文链接:https://pmc.ncbi.nlm.nih.gov/articles/PMC3427965/
Abstract

STUDY DESIGN

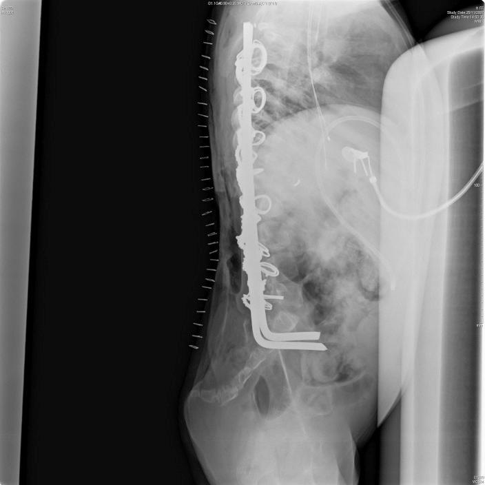
A retrospective case series of patients with myelomeningocele (MMC) who underwent kyphectomy and posterior segmental fixation using Luque rods and 16-gauge wires.

OBJECTIVE

To assess outcomes after posterior kyphectomy and segmental fixation for kyphosis in patients with MMC.

METHODS

Thirteen consecutive patients who underwent posterior kyphectomy for transforaminal fixation contiguous to "everted lamina." Fusion rates, time to fusion, change in Cobb angle, complications, and improvement in activities of daily living using the Katz score were measured.

RESULTS

Average age at time of surgery was 9.2 (range, 4.5-17) years. Average time to follow-up was 120 (range, 20-310) months. Solid fusion was achieved in 9 patients (69%) with a mean time to fusion of 12 months. The mean postoperative kyphotic curve was 22° with an average correction of 90°. Five patients (38%) experienced a postoperative complication. The mean improvement in activities of daily living score was 1.6 points and all patients achieved independent sitting balance.

CONCLUSION

Segmental spino-pelvic fixation is a solid alternative mode of fixation in patients with MMC with congenital kyphosis. Patient selection, proper perioperative multidisciplinary assessment, and surgeons' expertise are significant in the success of this complex surgery.METHODS evaluation and class of evidence (CoE)STUDY DESIGN: Prospective cohort Retrospective cohort Case control Case series•METHODS Patients at similar point in course of treatment• Follow-up ≥ 85%• Similarity of treatment protocols for patient groups• Patients followed-up long enough for outcomes to occur Control for extraneous risk factorsOverall class of evidenceIVThe definiton of the different classes of evidence is available on page 63.

摘要

研究设计

对一系列接受了驼背矫正术以及使用鲁克棒和16号钢丝进行后路节段固定的脊髓脊膜膨出(MMC)患者进行回顾性病例分析。

目的

评估脊髓脊膜膨出患者后路驼背矫正术和节段固定治疗脊柱后凸的疗效。

方法

连续纳入13例接受后路驼背矫正术以进行与“翻转椎板”相邻的经椎间孔固定的患者。测量融合率、融合时间、Cobb角变化、并发症以及使用Katz评分评估的日常生活活动改善情况。

结果

手术时的平均年龄为9.2岁(范围4.5 - 17岁)。平均随访时间为120个月(范围20 - 310个月)。9例患者(69%)实现了牢固融合,平均融合时间为12个月。术后平均后凸曲线为22°,平均矫正度为90°。5例患者(38%)出现术后并发症。日常生活活动评分的平均改善为1.6分,所有患者均实现了独立坐位平衡。

结论

节段性脊柱骨盆固定是治疗先天性脊柱后凸的脊髓脊膜膨出患者的一种可靠固定方式。患者选择、适当的围手术期多学科评估以及外科医生的专业技能对这项复杂手术的成功至关重要。方法评估和证据等级(CoE)

研究设计

前瞻性队列 回顾性队列 病例对照 病例系列

方法

治疗过程中处于相似阶段的患者

随访率≥85%

患者组治疗方案的相似性

对患者进行足够长时间的随访以使结果出现

控制外部风险因素

总体证据等级

IV

不同证据等级的定义见第63页。

https://cdn.ncbi.nlm.nih.gov/pmc/blobs/56d7/3427965/53fdd09f8aaf/ebsj02017-8a.jpg
https://cdn.ncbi.nlm.nih.gov/pmc/blobs/56d7/3427965/05f7e84c236d/ebsj02017-1.jpg
https://cdn.ncbi.nlm.nih.gov/pmc/blobs/56d7/3427965/1ab37f5a3551/ebsj02017-2.jpg
https://cdn.ncbi.nlm.nih.gov/pmc/blobs/56d7/3427965/fa2a932fed6b/ebsj02017-3.jpg
https://cdn.ncbi.nlm.nih.gov/pmc/blobs/56d7/3427965/391b253cf206/ebsj02017-4.jpg
https://cdn.ncbi.nlm.nih.gov/pmc/blobs/56d7/3427965/d318abbb2b3d/ebsj02017-5.jpg
https://cdn.ncbi.nlm.nih.gov/pmc/blobs/56d7/3427965/d5ed3da570dd/ebsj02017-6.jpg
https://cdn.ncbi.nlm.nih.gov/pmc/blobs/56d7/3427965/544a6fd2af1f/ebsj02017-7.jpg
https://cdn.ncbi.nlm.nih.gov/pmc/blobs/56d7/3427965/53fdd09f8aaf/ebsj02017-8a.jpg
https://cdn.ncbi.nlm.nih.gov/pmc/blobs/56d7/3427965/05f7e84c236d/ebsj02017-1.jpg
https://cdn.ncbi.nlm.nih.gov/pmc/blobs/56d7/3427965/1ab37f5a3551/ebsj02017-2.jpg
https://cdn.ncbi.nlm.nih.gov/pmc/blobs/56d7/3427965/fa2a932fed6b/ebsj02017-3.jpg
https://cdn.ncbi.nlm.nih.gov/pmc/blobs/56d7/3427965/391b253cf206/ebsj02017-4.jpg
https://cdn.ncbi.nlm.nih.gov/pmc/blobs/56d7/3427965/d318abbb2b3d/ebsj02017-5.jpg
https://cdn.ncbi.nlm.nih.gov/pmc/blobs/56d7/3427965/d5ed3da570dd/ebsj02017-6.jpg
https://cdn.ncbi.nlm.nih.gov/pmc/blobs/56d7/3427965/544a6fd2af1f/ebsj02017-7.jpg
https://cdn.ncbi.nlm.nih.gov/pmc/blobs/56d7/3427965/53fdd09f8aaf/ebsj02017-8a.jpg

相似文献

1
Long-term outcome of surgical correction of congenital kyphosis in patients with myelomeningocele (MMC) with segmental spino-pelvic fixation.采用节段性脊柱骨盆固定术对脊髓脊膜膨出(MMC)患者先天性脊柱后凸进行手术矫正的长期疗效。
Evid Based Spine Care J. 2011 Feb;2(1):17-22. doi: 10.1055/s-0030-1267082.
2
Clinical and radiological results of kyphectomy and sliding growing rod surgery technique performed in children with myelomeningocele.脑脊膜膨出患儿行 Kyphectomy 与滑动生长棒手术技术的临床和影像学结果。
J Orthop Surg Res. 2020 Dec 1;15(1):576. doi: 10.1186/s13018-020-02099-2.
3
Modified luque instrumentation after myelomeningocele kyphectomy.脊髓脊膜膨出后凸矫正术后改良的鲁凯器械固定术。
Spine (Phila Pa 1976). 1998 Jun 15;23(12):1406-11. doi: 10.1097/00007632-199806150-00020.
4
A kyphectomy technique with reduced perioperative morbidity for myelomeningocele kyphosis.一种降低脊髓脊膜膨出后凸畸形围手术期发病率的后凸切除术技术。
Spine (Phila Pa 1976). 2002 Aug 15;27(16):1807-13. doi: 10.1097/00007632-200208150-00022.
5
Posterior kyphectomy for myelomeningocele with anterior placement of fixation: a retrospective review.后路半椎体切除术治疗伴前方固定的脊髓脊膜膨出:回顾性研究。
Clin Orthop Relat Res. 2011 May;469(5):1265-71. doi: 10.1007/s11999-010-1611-2.
6
Kyphectomy and Pedicular Screw Fixation with Posterior-Only Approach in Pediatric Patients with Myelomeningocele.小儿脊髓脊膜膨出患者采用单纯后路入路的椎板切除术和椎弓根螺钉固定术
Pediatr Neurosurg. 2015;50(3):133-44. doi: 10.1159/000430467. Epub 2015 Jun 6.
7
Posterior corrective surgery with a multilevel transforaminal lumbar interbody fusion and a rod rotation maneuver for patients with degenerative lumbar kyphoscoliosis.采用多级经椎间孔腰椎椎间融合术及棒旋转操作对退变性腰椎后凸侧弯患者进行后路矫正手术。
J Neurosurg Spine. 2017 Feb;26(2):150-157. doi: 10.3171/2016.7.SPINE16172. Epub 2016 Oct 7.
8
Kyphectomy in Myelomeningocele for Severe Early-Onset Kyphosis Using Distal Intravertebral Fixation and Thoracic Growing Rods.采用远端椎体内固定和胸椎生长棒治疗脊髓脊膜膨出所致严重早发性脊柱后凸的脊柱后凸切除术
J Am Acad Orthop Surg Glob Res Rev. 2019 Sep 23;3(9):e006. doi: 10.5435/JAAOSGlobal-D-19-00006. eCollection 2019 Sep.
9
Posterior thoracolumbar hemivertebra resection and short-segment fusion in congenital scoliosis: surgical outcomes and complications with more than 5-year follow-up.后路胸腰椎半椎体切除短节段融合治疗先天性脊柱侧凸:5 年以上随访的手术结果和并发症。
BMC Surg. 2021 Mar 25;21(1):165. doi: 10.1186/s12893-021-01165-8.
10
Kyphectomy in Children With Severe Myelomeningocele-Related Kyphosis.重度脊髓脊膜膨出相关脊柱后凸患儿的脊柱后凸切除术
Spine Deform. 2016 May;4(3):230-236. doi: 10.1016/j.jspd.2015.11.006. Epub 2016 Apr 16.

引用本文的文献

1
Surgical limits, pitfalls, and potential solutions in kyphectomy in myelomeningocele: three cases and systematic review of the literature.脊髓脊膜膨出患者行后凸切除术的手术限制、陷阱及潜在解决方案:三例病例及文献系统综述
Childs Nerv Syst. 2024 May;40(5):1541-1569. doi: 10.1007/s00381-024-06341-8. Epub 2024 Mar 9.
2
A Review of Chronic Lateral Ankle Instability and Emerging Alternative Outcome Monitoring Tools in Patients following Ankle Ligament Reconstruction Surgery.踝关节韧带重建术后慢性外侧踝关节不稳及新型替代结局监测工具综述
J Clin Med. 2024 Jan 13;13(2):442. doi: 10.3390/jcm13020442.
3
Four-Year Outcomes of Corrective Surgery With Anterior and Posterior Instrumentation Combined With Kyphectomy for a Patient With Congenital Kyphoscoliosis and Underlying Myelomeningocele.

本文引用的文献

1
Bone mineral density in children with myelomeningocele.脊髓脊膜膨出患儿的骨密度
Dev Med Child Neurol. 2009 Jan;51(1):63-7. doi: 10.1111/j.1469-8749.2008.03102.x. Epub 2008 Sep 20.
2
Rate of complications in scoliosis surgery - a systematic review of the Pub Med literature.脊柱侧弯手术并发症发生率——对PubMed文献的系统评价
Scoliosis. 2008 Aug 5;3:9. doi: 10.1186/1748-7161-3-9.
3
Combination of luque instrumentation with polyaxial screws in the treatment of myelomeningocele kyphosis.鲁克器械联合多轴螺钉治疗脊髓脊膜膨出型脊柱后凸
先天性脊柱侧凸合并脊髓脊膜膨出患者行前后路内固定联合椎体切除矫正手术的四年随访结果
Cureus. 2023 Aug 10;15(8):e43259. doi: 10.7759/cureus.43259. eCollection 2023 Aug.
4
Clinical and radiological results of kyphectomy and sliding growing rod surgery technique performed in children with myelomeningocele.脑脊膜膨出患儿行 Kyphectomy 与滑动生长棒手术技术的临床和影像学结果。
J Orthop Surg Res. 2020 Dec 1;15(1):576. doi: 10.1186/s13018-020-02099-2.
5
Does Kyphectomy Improve the Quality of Life of Patients With Myelomeningocele?棘突切除术能否提高脊膜膨出患者的生活质量?
Clin Orthop Relat Res. 2020 Jan;478(1):104-111. doi: 10.1097/CORR.0000000000000976.
6
Kyphectomy in meningomyelocele children: surgical technique, risk analysis, and improvement of kyphosis.脊髓脊膜膨出患儿的后凸切除术:手术技术、风险分析及后凸畸形改善
Childs Nerv Syst. 2013 Jul;29(7):1137-41. doi: 10.1007/s00381-013-2035-6. Epub 2013 Jan 31.
J Spinal Disord Tech. 2008 May;21(3):199-204. doi: 10.1097/BSD.0b013e318074e4c6.
4
Retrospective review of multilevel spinal fusion combined with spinal cord transection for treatment of kyphoscoliosis in pediatric myelomeningocele patients.回顾性分析多级脊柱融合术联合脊髓横断术治疗小儿脊髓脊膜膨出患者脊柱侧弯的疗效。
Spine (Phila Pa 1976). 2007 Oct 15;32(22):2493-501. doi: 10.1097/BRS.0b013e3181573b11.
5
Long-term follow-up of functioning after spinal surgery in patients with neuromuscular scoliosis.
Spine (Phila Pa 1976). 2005 Oct 1;30(19):2145-52. doi: 10.1097/01.brs.0000180403.11757.6a.
6
Kyphectomy in myelomeningocele with a modified Dunn-McCarthy technique followed by an anterior inlayed strut graft.采用改良的邓恩-麦卡锡技术对脊髓脊膜膨出患者进行椎板切除术,随后植入前路支撑移植物。
Eur Spine J. 2004 May;13(3):206-12. doi: 10.1007/s00586-003-0662-4. Epub 2004 Jan 9.
7
Kyphectomy in children with myelomeningocele: a long-term outcome study.脊髓脊膜膨出患儿的椎板切除术:一项长期预后研究。
J Pediatr Orthop. 2004 Jan-Feb;24(1):37-44. doi: 10.1097/00004694-200401000-00008.
8
Anterior-posterior surgery versus posterior closing wedge osteotomy in posttraumatic kyphosis with neurologic compromised osteoporotic fracture.前路手术与后路闭合楔形截骨术治疗合并神经损伤的骨质疏松性创伤后脊柱后凸畸形的比较
Spine (Phila Pa 1976). 2003 Sep 15;28(18):2170-5. doi: 10.1097/01.BRS.0000090889.45158.5A.
9
STUDIES OF ILLNESS IN THE AGED. THE INDEX OF ADL: A STANDARDIZED MEASURE OF BIOLOGICAL AND PSYCHOSOCIAL FUNCTION.老年人疾病研究。日常生活活动能力指数:生物和心理社会功能的标准化测量方法。
JAMA. 1963 Sep 21;185:914-9. doi: 10.1001/jama.1963.03060120024016.
10
A kyphectomy technique with reduced perioperative morbidity for myelomeningocele kyphosis.一种降低脊髓脊膜膨出后凸畸形围手术期发病率的后凸切除术技术。
Spine (Phila Pa 1976). 2002 Aug 15;27(16):1807-13. doi: 10.1097/00007632-200208150-00022.