Suppr超能文献

在尸体肝移植后,由于供体移植物的一条副右肝动脉被结扎,发生了肝脓肿。

Liver abscess developed after cadaveric liver transplantation due to ligation of an accessory right hepatic artery of the donor graft.

作者信息

Yu Young-Dong, Kim Dong-Sik, Byun Geon-Young, Suh Sung-Ock

机构信息

Division of Hepato-bilio-pancreas Surgery & Liver Transplantation, Department of Surgery, Korea University College of Medicine, Seoul, Korea.

出版信息

J Korean Surg Soc. 2012 Oct;83(4):246-9. doi: 10.4174/jkss.2012.83.4.246. Epub 2012 Sep 25.

Abstract

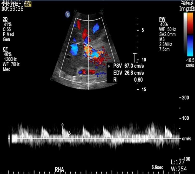
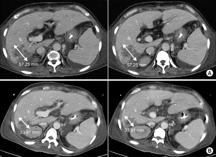
It is important that extrahepatic arteries are identified precisely at the time of graft procurement. We present a case where the accessory right hepatic artery of the liver was ligated leading to postoperative liver abscess formation in the liver graft. A forty-seven-year-old female patient diagnosed with liver cirrhosis underwent orthotopic cadaveric liver transplantation due to altered mentality. The donor graft showed a variant of the hepatic artery anatomy where an accessory right hepatic artery arose from the superior mesenteric artery. This artery was accidentally transected during procurement. Since the back bleeding test using perfusion fluid was good, the artery was ligated. Postoperative abdominal computed tomography scan revealed a 6 cm low attenuating lesion in the liver. The patient underwent conservative treatment. We believe that even small accessory arteries (1 to 2 mm) should be reconstructed whenever possible to avoid postoperative complications such as liver abscess.

摘要

在获取移植物时精确识别肝外动脉非常重要。我们报告一例病例,肝脏的副右肝动脉被结扎,导致肝移植术后肝脓肿形成。一名47岁诊断为肝硬化的女性患者因意识改变接受了原位尸体肝移植。供体移植物显示肝动脉解剖结构变异,一条副右肝动脉发自肠系膜上动脉。在获取过程中该动脉意外被切断。由于使用灌注液进行的回血试验良好,该动脉被结扎。术后腹部计算机断层扫描显示肝脏有一个6厘米的低密度病变。患者接受了保守治疗。我们认为,只要有可能,即使是小的副动脉(1至2毫米)也应进行重建,以避免术后并发症如肝脓肿。

https://cdn.ncbi.nlm.nih.gov/pmc/blobs/fc1e/3467392/d6a22bdc137e/jkss-83-246-g001.jpg

文献AI研究员

20分钟写一篇综述,助力文献阅读效率提升50倍。

立即体验

用中文搜PubMed

大模型驱动的PubMed中文搜索引擎

马上搜索

文档翻译

学术文献翻译模型,支持多种主流文档格式。

立即体验