Suppr超能文献

婴儿全身性透明变性:一例病例报告及文献综述。

Infantile systemic hyalinosis: A case report and review of literature.

作者信息

Madke Bhushan, Kharkar Vidya, Mahajan Sunanda, Chikhalkar Siddhi, Khopkar Uday

机构信息

Department of Dermatology, Seth GS Medical College and KEM Hospital, Parel, Mumbai, India.

出版信息

Indian Dermatol Online J. 2010 Jul;1(1):10-3. doi: 10.4103/2229-5178.73250.

Abstract

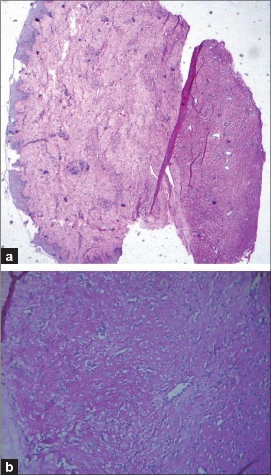
We report a case of infantile systemic hyalinosis in a 3.5-month-old male child born out of consanguineous marriage. He presented with multiple brownish raised lesions over bony prominences. He had also developed difficulty in movement of limbs and as a result developed severe flexion joint contractures. There was history of similar complaints in elder sibling who died at the age of 5 months due to repeated episodes of pneumonia. Skin biopsy from one of the papulonodular lesions showed increased amount of amorphous hyaline matrix, which was Periodic Acid Schiff positive with scattered fibroblasts. Though classical, we report this case for its rarity in western India.

摘要

我们报告了一例患婴儿系统性透明变性的3.5个月大男童,该患儿为近亲结婚所生。他在骨突出部位出现多个褐色隆起病变。他还出现了肢体活动困难,结果发展为严重的关节屈曲挛缩。其年长同胞有类似症状史,该同胞在5个月大时因反复肺炎发作而死亡。对其中一个丘疹结节性病变进行皮肤活检,结果显示无定形透明基质增多,呈过碘酸希夫染色阳性,有成纤维细胞散在分布。尽管该病例典型,但鉴于其在印度西部的罕见性,我们仍予以报告。

https://cdn.ncbi.nlm.nih.gov/pmc/blobs/ea30/3481416/a874c610eef5/IDOJ-1-10-g001.jpg

文献AI研究员

20分钟写一篇综述,助力文献阅读效率提升50倍。

立即体验

用中文搜PubMed

大模型驱动的PubMed中文搜索引擎

马上搜索

文档翻译

学术文献翻译模型,支持多种主流文档格式。

立即体验