• 文献检索
  • 文档翻译
  • 深度研究
  • 学术资讯
  • Suppr Zotero 插件Zotero 插件
  • 邀请有礼
  • 套餐&价格
  • 历史记录
应用&插件
Suppr Zotero 插件Zotero 插件浏览器插件Mac 客户端Windows 客户端微信小程序
定价
高级版会员购买积分包购买API积分包
服务
文献检索文档翻译深度研究API 文档MCP 服务
关于我们
关于 Suppr公司介绍联系我们用户协议隐私条款
关注我们

Suppr 超能文献

核心技术专利:CN118964589B侵权必究
粤ICP备2023148730 号-1Suppr @ 2026

文献检索

告别复杂PubMed语法,用中文像聊天一样搜索,搜遍4000万医学文献。AI智能推荐,让科研检索更轻松。

立即免费搜索

文件翻译

保留排版,准确专业,支持PDF/Word/PPT等文件格式,支持 12+语言互译。

免费翻译文档

深度研究

AI帮你快速写综述,25分钟生成高质量综述,智能提取关键信息,辅助科研写作。

立即免费体验

肾色素性血管周上皮样细胞瘤(PEComa):1例病例报告并文献复习

Pigmented perivascular epithelioid cell tumor (PEComa) of the kidney: a case report and review of the literature.

作者信息

Chang Hyeyoon, Jung Wonkyung, Kang Youngran, Jung Woon Yong

机构信息

Department of Pathology, Korea University Guro Hospital, Korea University College of Medicine, Seoul, Korea.

出版信息

Korean J Pathol. 2012 Oct;46(5):499-502. doi: 10.4132/KoreanJPathol.2012.46.5.499. Epub 2012 Oct 25.

DOI:10.4132/KoreanJPathol.2012.46.5.499
PMID:23136579
原文链接:https://pmc.ncbi.nlm.nih.gov/articles/PMC3490117/
Abstract

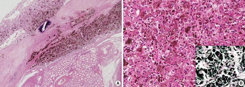
Heavily pigmented perivascular epithelioid cell tumors (PEComa) are rare, only eight cases of which have been reported. Unlike typical epithelioid angiomyolipoma, most of these tumors have been encountered in female patients without tuberous sclerosis. The long-term prognosis thereof is undetermined. Cytological similarity and heavy melanin pigment make it difficult for pigmented PEComa to be differentiated from pigmented clear cell renal cell carcinoma or malignant melanoma. The immunoprofile of tumor cells, such as human melanoma black-45 expression, as well as the absence or presence of other melanocytic or epithelial markers, are helpful in determining a differential diagnosis. Here we report a case of heavily pigmented PEComa of the right kidney and review the literature describing this tumor. In this case, the immunoprofile and clinical features corresponded well to those described in the literature. Since the prognosis of such disease has not yet been established, close follow-up of this patient was recommended.

摘要

重度色素沉着的血管周围上皮样细胞瘤(PEComa)很罕见,仅报道过8例。与典型的上皮样血管平滑肌脂肪瘤不同,这些肿瘤大多见于无结节性硬化症的女性患者。其长期预后尚不确定。细胞学上的相似性和大量黑色素沉着使得色素沉着的PEComa难以与色素沉着的透明细胞肾细胞癌或恶性黑色素瘤相鉴别。肿瘤细胞的免疫表型,如人黑色素瘤黑色45表达,以及其他黑素细胞或上皮标志物的有无,有助于进行鉴别诊断。在此,我们报告1例右肾重度色素沉着的PEComa病例,并复习描述该肿瘤的文献。在本病例中,免疫表型和临床特征与文献报道相符。由于此类疾病的预后尚未明确,建议对该患者进行密切随访。

https://cdn.ncbi.nlm.nih.gov/pmc/blobs/c00f/3490117/aa6036e61a27/kjpathol-46-499-g003.jpg
https://cdn.ncbi.nlm.nih.gov/pmc/blobs/c00f/3490117/efc1413a5f20/kjpathol-46-499-g001.jpg
https://cdn.ncbi.nlm.nih.gov/pmc/blobs/c00f/3490117/717b78f1ef40/kjpathol-46-499-g002.jpg
https://cdn.ncbi.nlm.nih.gov/pmc/blobs/c00f/3490117/aa6036e61a27/kjpathol-46-499-g003.jpg
https://cdn.ncbi.nlm.nih.gov/pmc/blobs/c00f/3490117/efc1413a5f20/kjpathol-46-499-g001.jpg
https://cdn.ncbi.nlm.nih.gov/pmc/blobs/c00f/3490117/717b78f1ef40/kjpathol-46-499-g002.jpg
https://cdn.ncbi.nlm.nih.gov/pmc/blobs/c00f/3490117/aa6036e61a27/kjpathol-46-499-g003.jpg

相似文献

1
Pigmented perivascular epithelioid cell tumor (PEComa) of the kidney: a case report and review of the literature.肾色素性血管周上皮样细胞瘤(PEComa):1例病例报告并文献复习
Korean J Pathol. 2012 Oct;46(5):499-502. doi: 10.4132/KoreanJPathol.2012.46.5.499. Epub 2012 Oct 25.
2
Malignant pigmented clear cell epithelioid cell tumor (PEComa) in an adolescent boy with widespread metastases: a rare entity in this age group.青少年男性广泛转移的恶性色素透明细胞上皮样细胞瘤(PEComa):该年龄段罕见病例。
Pediatr Radiol. 2011 Dec;41(12):1587-90. doi: 10.1007/s00247-011-2125-0. Epub 2011 May 20.
3
Perivascular epithelioid cell tumor ('PEComa') of the uterus: a subset of HMB-45-positive epithelioid mesenchymal neoplasms with an uncertain relationship to pure smooth muscle tumors.子宫血管周上皮样细胞瘤(“PEComa”):一组HMB-45阳性上皮样间叶肿瘤,与纯平滑肌肿瘤的关系尚不明确。
Am J Surg Pathol. 2002 Jan;26(1):1-13. doi: 10.1097/00000478-200201000-00001.
4
Pigmented perivascular epithelioid cell tumor of the skin: first case report.皮肤色素性血管周上皮样细胞瘤:首例病例报告。
Am J Dermatopathol. 2015 Nov;37(11):866-9. doi: 10.1097/DAD.0000000000000320.
5
Bladder perivascular epithelioid cell neoplasm: Review on clinical features of this rare tumor.膀胱血管周上皮样细胞瘤:关于这种罕见肿瘤临床特征的综述
Urol Ann. 2024 Jan-Mar;16(1):28-35. doi: 10.4103/ua.ua_40_23. Epub 2024 Jan 25.
6
Pigmented perivascular epithelioid cell tumor (PEComa) arising from kidney: A case report.起源于肾脏的色素性血管周上皮样细胞瘤(PEComa):一例报告。
Medicine (Baltimore). 2016 Nov;95(44):e5248. doi: 10.1097/MD.0000000000005248.
7
Improving recognition of hepatic perivascular epithelioid cell tumor: Case report and literature review.提高肝脏血管周上皮样细胞肿瘤的认识:病例报告及文献复习
World J Gastroenterol. 2015 May 7;21(17):5432-41. doi: 10.3748/wjg.v21.i17.5432.
8
Perivascular epithelioid cell tumor of the orbit: a case report and review of the literature.眼眶血管周上皮样细胞瘤:一例报告并文献复习
Pediatr Dev Pathol. 2005 Jan-Feb;8(1):98-104. doi: 10.1007/s10024-004-5055-0. Epub 2004 Dec 6.
9
Dia-gnostic Challenges and Extraordinary Treatment Response in Rare Malignant PEComa Tumor of the Kidney.肾罕见恶性PEComa肿瘤的诊断挑战与非凡治疗反应
Klin Onkol. 2018 Fall;31(6):448-452. doi: 10.14735/amko2018448.
10
First description of a PEComa (perivascular epithelioid cell tumor) of the colon: report of a case and review of the literature.结肠PEComa(血管周上皮样细胞瘤)的首例描述:病例报告及文献复习
Dis Colon Rectum. 2004 Oct;47(10):1734-7. doi: 10.1007/s10350-004-0637-5.

引用本文的文献

1
Recurrence of Pigmented Epithelioid Angiomyolipoma of the Kidney With Xp11 Translocation: A Case Report.伴Xp11易位的肾色素性上皮样血管平滑肌脂肪瘤复发:一例报告
Cureus. 2023 Oct 19;15(10):e47305. doi: 10.7759/cureus.47305. eCollection 2023 Oct.
2
Metastatic Perivascular Epithelioid Cell Tumor Of The Kidney: A Case Report With Emphasis On Response To The Tyrosine-Kinase Inhibitor Sunitinib.肾转移性血管周上皮样细胞瘤:一例报告并着重探讨对酪氨酸激酶抑制剂舒尼替尼的反应
Res Rep Urol. 2019 Nov 13;11:311-317. doi: 10.2147/RRU.S226005. eCollection 2019.
3
Pigmented perivascular epithelioid cell tumor (PEComa) arising from kidney: A case report.

本文引用的文献

1
Malignant pigmented clear cell epithelioid cell tumor (PEComa) in an adolescent boy with widespread metastases: a rare entity in this age group.青少年男性广泛转移的恶性色素透明细胞上皮样细胞瘤(PEComa):该年龄段罕见病例。
Pediatr Radiol. 2011 Dec;41(12):1587-90. doi: 10.1007/s00247-011-2125-0. Epub 2011 May 20.
2
Pure epithelioid PEComas (so-called epithelioid angiomyolipoma) of the kidney: A clinicopathologic study of 41 cases: detailed assessment of morphology and risk stratification.肾脏的纯上皮样上皮样血管平滑肌脂肪瘤(所谓的上皮样血管平滑肌脂肪瘤):41 例临床病理研究:形态学的详细评估和危险分层。
Am J Surg Pathol. 2011 Feb;35(2):161-76. doi: 10.1097/PAS.0b013e318206f2a9.
3
起源于肾脏的色素性血管周上皮样细胞瘤(PEComa):一例报告。
Medicine (Baltimore). 2016 Nov;95(44):e5248. doi: 10.1097/MD.0000000000005248.
4
Primary perivascular epithelioid cell tumor of the liver: new case report and literature review.肝脏原发性血管周上皮样细胞瘤:新病例报告及文献复习。
Diagn Pathol. 2014 Jul 17;9:149. doi: 10.1186/1746-1596-9-149.
5
Extrapulmonary lymphangioleiomyoma: clinicopathological analysis of 4 cases.肺外淋巴管平滑肌瘤病:4例临床病理分析
Korean J Pathol. 2014 Jun;48(3):188-92. doi: 10.4132/KoreanJPathol.2014.48.3.188. Epub 2014 Jun 26.
Renal epithelioid angiomyolipoma with atypia: a series of 40 cases with emphasis on clinicopathologic prognostic indicators of malignancy.
具有非典型性的肾上皮样血管平滑肌脂肪瘤:40 例系列病例,重点在于恶性肿瘤的临床病理预后指标。
Am J Surg Pathol. 2010 May;34(5):715-22. doi: 10.1097/PAS.0b013e3181d90370.
4
Pigmented perivascular epithelioid cell tumor of the kidney.肾脏的色素性血管周上皮样细胞瘤。
Arch Pathol Lab Med. 2009 Dec;133(12):1981-4. doi: 10.5858/133.12.1981.
5
Epithelioid angiomyolipoma of the kidney.肾脏上皮样血管平滑肌脂肪瘤
Pathol Int. 2009 Jan;59(1):38-43. doi: 10.1111/j.1440-1827.2008.02322.x.
6
Renal metastasis of malignant melanoma with unknown primary.原发性不明的恶性黑色素瘤肾转移
Urology. 2007 Feb;69(2):384.e9-10. doi: 10.1016/j.urology.2006.11.013.
7
Melanotic clear cell epithelioid angiomyolipoma: a rare entity and a mimic of clear cell renal carcinoma.黑色素性透明细胞上皮样血管平滑肌脂肪瘤:一种罕见实体且易被误诊为透明细胞肾细胞癌。
Histopathology. 2007 Feb;50(3):393-4. doi: 10.1111/j.1365-2559.2007.02586.x.
8
PEComa: what do we know so far?血管周上皮样细胞瘤:我们目前了解多少?
Histopathology. 2006 Jan;48(1):75-82. doi: 10.1111/j.1365-2559.2005.02316.x.
9
C-Kit-positive metastatic malignant pigmented clear-cell epithelioid tumor arising from the kidney in a child without tuberous sclerosis.一名无结节性硬化症的儿童肾脏来源的C-Kit阳性转移性恶性色素沉着性透明细胞上皮样肿瘤
Ann Diagn Pathol. 2005 Dec;9(6):330-4. doi: 10.1016/j.anndiagpath.2005.04.003.
10
Heavily melanotic perivascular epithelioid clear cell tumor of the kidney.肾脏重度黑色素沉着性血管周上皮样透明细胞肿瘤
Pathol Int. 2004 Apr;54(4):261-5. doi: 10.1111/j.1440-1827.2004.01617.x.