• 文献检索
  • 文档翻译
  • 深度研究
  • 学术资讯
  • Suppr Zotero 插件Zotero 插件
  • 邀请有礼
  • 套餐&价格
  • 历史记录
应用&插件
Suppr Zotero 插件Zotero 插件浏览器插件Mac 客户端Windows 客户端微信小程序
定价
高级版会员购买积分包购买API积分包
服务
文献检索文档翻译深度研究API 文档MCP 服务
关于我们
关于 Suppr公司介绍联系我们用户协议隐私条款
关注我们

Suppr 超能文献

核心技术专利:CN118964589B侵权必究
粤ICP备2023148730 号-1Suppr @ 2026

文献检索

告别复杂PubMed语法,用中文像聊天一样搜索,搜遍4000万医学文献。AI智能推荐,让科研检索更轻松。

立即免费搜索

文件翻译

保留排版,准确专业,支持PDF/Word/PPT等文件格式,支持 12+语言互译。

免费翻译文档

深度研究

AI帮你快速写综述,25分钟生成高质量综述,智能提取关键信息,辅助科研写作。

立即免费体验

一名3岁男性的影像学阴性、无症状、前哨淋巴结阳性皮肤T细胞淋巴瘤:病例报告

Radiographically negative, asymptomatic, sentinel lymph node positive cutaneous T-cell lymphoma in a 3-year-old male: a case report.

作者信息

Carson Jeffrey, Bedrnicek Jiri, Abdessalam Shahab

机构信息

Department of General Surgery, University of Nebraska Medical Center, Omaha, NE 68198, USA.

出版信息

Case Rep Pediatr. 2012;2012:791602. doi: 10.1155/2012/791602. Epub 2012 Oct 23.

DOI:10.1155/2012/791602
PMID:23150841
原文链接:https://pmc.ncbi.nlm.nih.gov/articles/PMC3488386/
Abstract

We present a case of a 3-year-old male originally diagnosed with a CD30+ anaplastic cutaneous T-cell lymphoma with no evidence of systemic disease after CT scan, PET scan, and bone marrow aspiration. Sentinel lymph node biopsy (SLNB) was performed as an additional step in the workup and showed microscopic disease. Current management/recommendations for cutaneous T-cell lymphoma do not include SLNB. Medical and surgical management of cutaneous malignancies is dramatically different for local versus advanced disease. Therefore adequate evaluation is necessary to properly stage patients for specific treatment. Such distinction in extent of disease suggests more extensive therapy including locoregional radiation and systemic chemotherapy versus local excision only. Two international case reports have described SLNB in cutaneous T-cell lymphoma with one demonstrating evidence of node positive microscopic disease despite a negative metastatic disease workup. This case is being presented as a novel case in a child with implications including lymphoscintigraphy and SLNB as a routine procedure for evaluation and staging of cutaneous T-cell lymphoma if the patient does not demonstrate evidence of metastatic disease on routine workup.

摘要

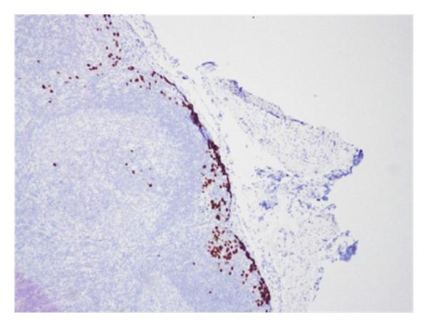
我们报告一例3岁男性病例,最初诊断为CD30+间变性皮肤T细胞淋巴瘤,经CT扫描、PET扫描和骨髓穿刺检查后未发现系统性疾病证据。前哨淋巴结活检(SLNB)作为进一步检查步骤进行,结果显示存在微小病变。目前皮肤T细胞淋巴瘤的管理/建议中不包括SLNB。皮肤恶性肿瘤的内科和外科治疗在局部疾病与晚期疾病方面有显著差异。因此,进行充分评估对于为患者进行适当的分期以制定特定治疗方案是必要的。疾病范围的这种差异表明,对于局限性疾病仅行局部切除,而对于更广泛的疾病则需要更广泛的治疗,包括局部区域放疗和全身化疗。两篇国际病例报告描述了皮肤T细胞淋巴瘤的SLNB,其中一篇显示尽管转移性疾病检查结果为阴性,但仍有淋巴结阳性微小病变的证据。本病例作为儿童中的一个新病例呈现,其意义包括,如果患者在常规检查中未显示转移性疾病证据,淋巴闪烁显像和SLNB可作为评估和分期皮肤T细胞淋巴瘤的常规程序。

https://cdn.ncbi.nlm.nih.gov/pmc/blobs/0ba0/3488386/edcf1caf2fdf/CRIM.PEDIATRICS2012-791602.004.jpg
https://cdn.ncbi.nlm.nih.gov/pmc/blobs/0ba0/3488386/d81934ea3da4/CRIM.PEDIATRICS2012-791602.001.jpg
https://cdn.ncbi.nlm.nih.gov/pmc/blobs/0ba0/3488386/3494a3f8beca/CRIM.PEDIATRICS2012-791602.002.jpg
https://cdn.ncbi.nlm.nih.gov/pmc/blobs/0ba0/3488386/0f12154e805c/CRIM.PEDIATRICS2012-791602.003.jpg
https://cdn.ncbi.nlm.nih.gov/pmc/blobs/0ba0/3488386/edcf1caf2fdf/CRIM.PEDIATRICS2012-791602.004.jpg
https://cdn.ncbi.nlm.nih.gov/pmc/blobs/0ba0/3488386/d81934ea3da4/CRIM.PEDIATRICS2012-791602.001.jpg
https://cdn.ncbi.nlm.nih.gov/pmc/blobs/0ba0/3488386/3494a3f8beca/CRIM.PEDIATRICS2012-791602.002.jpg
https://cdn.ncbi.nlm.nih.gov/pmc/blobs/0ba0/3488386/0f12154e805c/CRIM.PEDIATRICS2012-791602.003.jpg
https://cdn.ncbi.nlm.nih.gov/pmc/blobs/0ba0/3488386/edcf1caf2fdf/CRIM.PEDIATRICS2012-791602.004.jpg

相似文献

1
Radiographically negative, asymptomatic, sentinel lymph node positive cutaneous T-cell lymphoma in a 3-year-old male: a case report.一名3岁男性的影像学阴性、无症状、前哨淋巴结阳性皮肤T细胞淋巴瘤:病例报告
Case Rep Pediatr. 2012;2012:791602. doi: 10.1155/2012/791602. Epub 2012 Oct 23.
2
Sentinel lymphadenectomy for circumscribed cutaneous T-cell lymphoma.局限性皮肤T细胞淋巴瘤的前哨淋巴结切除术
Dermatol Surg. 2004 Jun;30(6):952-6. doi: 10.1111/j.1524-4725.2004.30270.x.
3
Cervical sentinel lymph node biopsy for melanomas of the head and neck and upper thorax.头颈部及上胸部黑色素瘤的颈部前哨淋巴结活检
Arch Otolaryngol Head Neck Surg. 2000 Mar;126(3):313-21. doi: 10.1001/archotol.126.3.313.
4
Sentinel node detection by lymphoscintigraphy and sentinel lymph node biopsy in vulvar melanoma.前哨淋巴结检测的淋巴闪烁显像和前哨淋巴结活检在外阴黑色素瘤。
Eur J Nucl Med Mol Imaging. 2010 Apr;37(4):736-41. doi: 10.1007/s00259-009-1358-8. Epub 2010 Jan 27.
5
Lymphatic mapping and sentinel lymphadenectomy for 106 head and neck lesions: contrasts between oral cavity and cutaneous malignancy.106例头颈部病变的淋巴绘图与前哨淋巴结切除术:口腔癌与皮肤恶性肿瘤的对比
Laryngoscope. 2006 Mar;112(3 Pt 2 Suppl 109):1-15. doi: 10.1097/01.mlg.0000200750.74249.79.
6
Missing sentinel lymph node in cutaneous melanoma.皮肤黑色素瘤中前哨淋巴结缺失
Indian J Nucl Med. 2015 Apr-Jun;30(2):158-61. doi: 10.4103/0972-3919.152982.
7
Sentinel Lymph Node Biopsy Provides Prognostic Value in Thick Head and Neck Melanoma.前哨淋巴结活检对头颈部厚黑色素瘤具有预后价值。
Otolaryngol Head Neck Surg. 2015 Sep;153(3):372-8. doi: 10.1177/0194599815589948. Epub 2015 Jun 12.
8
Lack of clinical impact of F-fluorodeoxyglucose positron emission tomography with simultaneous computed tomography for stage I and II Merkel cell carcinoma with concurrent sentinel lymph node biopsy staging: A single institutional experience from Westmead Hospital, Sydney.对于Ⅰ期和Ⅱ期默克尔细胞癌,在同时进行前哨淋巴结活检分期时,¹⁸F-氟脱氧葡萄糖正电子发射断层扫描联合计算机断层扫描缺乏临床影响:悉尼韦斯特米德医院的单机构经验。
Australas J Dermatol. 2017 May;58(2):99-105. doi: 10.1111/ajd.12400. Epub 2015 Oct 13.
9
Sentinel lymph node biopsy for high risk cutaneous squamous cell carcinoma: case series and review of the literature.高危皮肤鳞状细胞癌的前哨淋巴结活检:病例系列及文献综述
Eur J Surg Oncol. 2007 Apr;33(3):364-9. doi: 10.1016/j.ejso.2006.10.017. Epub 2006 Nov 28.
10
Detection of lymph node metastases in pediatric and adolescent/young adult sarcoma: Sentinel lymph node biopsy versus fludeoxyglucose positron emission tomography imaging-A prospective trial.小儿及青少年/青年肉瘤中淋巴结转移的检测:前哨淋巴结活检与氟脱氧葡萄糖正电子发射断层扫描成像——一项前瞻性试验
Cancer. 2017 Jan 1;123(1):155-160. doi: 10.1002/cncr.30282. Epub 2016 Aug 26.

本文引用的文献

1
Prognostic implication of sentinel lymph node biopsy in cutaneous head and neck melanoma.前哨淋巴结活检在头颈部皮肤黑色素瘤中的预后意义。
Head Neck. 2010 Dec;32(12):1686-92. doi: 10.1002/hed.21390.
2
Current and emerging treatment strategies for cutaneous T-cell lymphoma.皮肤 T 细胞淋巴瘤的当前和新兴治疗策略。
Drugs. 2010 Feb 12;70(3):273-86. doi: 10.2165/11532190-000000000-00000.
3
Current management of primary cutaneous CD30+ T-cell lymphoproliferative disorders.原发性皮肤 CD30+T 细胞淋巴增生性疾病的现行治疗方法。
Oncology (Williston Park). 2009 Nov 30;23(13):1158-64.
4
Controversies in the management of the cutaneous T cell lymphomas.
Dermatol Ther. 2009 Sep-Oct;22(5):407-17. doi: 10.1111/j.1529-8019.2009.01257.x.
5
Sentinel lymph node mapping for primary breast cancer.原发性乳腺癌的前哨淋巴结定位
Curr Oncol Rep. 2005 Jan;7(1):12-7. doi: 10.1007/s11912-005-0020-2.
6
Sentinel lymphadenectomy for circumscribed cutaneous T-cell lymphoma.局限性皮肤T细胞淋巴瘤的前哨淋巴结切除术
Dermatol Surg. 2004 Jun;30(6):952-6. doi: 10.1111/j.1524-4725.2004.30270.x.
7
Primary cutaneous CD30-positive large T-cell lymphoma with secondary lymph node involvement detected by sentinel lymphonodectomy.通过前哨淋巴结切除术检测到伴有继发性淋巴结受累的原发性皮肤CD30阳性大T细胞淋巴瘤。
Acta Derm Venereol. 2002;82(1):73-4. doi: 10.1080/000155502753601028.
8
History of sentinel node and validation of the technique.前哨淋巴结的历史及该技术的验证
Breast Cancer Res. 2001;3(2):109-12. doi: 10.1186/bcr281. Epub 2001 Jan 23.
9
The Augsburg Consensus. Techniques of lymphatic mapping, sentinel lymphadenectomy, and completion lymphadenectomy in cutaneous malignancies.奥格斯堡共识。皮肤恶性肿瘤的淋巴绘图、前哨淋巴结切除术及根治性淋巴结切除术技术。
Cancer. 2000 Jul 15;89(2):236-41.
10
Primary and secondary cutaneous CD30(+) lymphoproliferative disorders: a report from the Dutch Cutaneous Lymphoma Group on the long-term follow-up data of 219 patients and guidelines for diagnosis and treatment.原发性和继发性皮肤CD30(+)淋巴增殖性疾病:荷兰皮肤淋巴瘤研究组关于219例患者长期随访数据及诊断和治疗指南的报告
Blood. 2000 Jun 15;95(12):3653-61.