Suppr超能文献

Rb、Brca1 和 p53 在恶性乳腺癌演进中的协同作用。

Cooperativity of Rb, Brca1, and p53 in malignant breast cancer evolution.

机构信息

Department of Cancer Biology, University of Massachusetts Medical School, Worcester, Massachusetts, USA.

出版信息

PLoS Genet. 2012;8(11):e1003027. doi: 10.1371/journal.pgen.1003027. Epub 2012 Nov 15.

Abstract

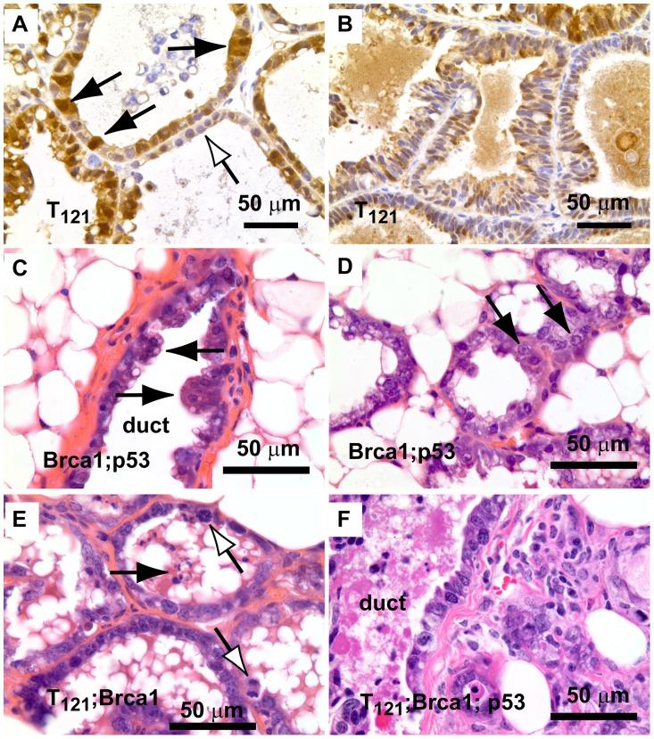
Breast cancers that are "triple-negative" for the clinical markers ESR1, PGR, and HER2 typically belong to the Basal-like molecular subtype. Defective Rb, p53, and Brca1 pathways are each associated with triple-negative and Basal-like subtypes. Our mouse genetic studies demonstrate that the combined inactivation of Rb and p53 pathways is sufficient to suppress the physiological cell death of mammary involution. Furthermore, concomitant inactivation of all three pathways in mammary epithelium has an additive effect on tumor latency and predisposes highly penetrant, metastatic adenocarcinomas. The tumors are poorly differentiated and have histologic features that are common among human Brca1-mutated tumors, including heterogeneous morphology, metaplasia, and necrosis. Gene expression analyses demonstrate that the tumors share attributes of both Basal-like and Claudin-low signatures, two molecular subtypes encompassed by the broader, triple-negative class defined by clinical markers.

摘要

乳腺癌在临床标志物 ESR1、PGR 和 HER2 上呈“三阴性”,通常属于基底样分子亚型。Rb、p53 和 Brca1 通路的缺陷均与三阴性和基底样亚型相关。我们的小鼠遗传研究表明,Rb 和 p53 通路的联合失活足以抑制乳腺退化的生理性细胞死亡。此外,乳腺上皮中所有三种途径的同时失活对肿瘤潜伏期有累加效应,并使高穿透性、转移性腺癌易感。肿瘤分化不良,具有组织学特征,在人类 Brca1 突变肿瘤中很常见,包括形态异质性、化生和坏死。基因表达分析表明,这些肿瘤具有基底样和 Claudin-low 特征的共同属性,这两种分子亚型均包含在临床标志物定义的更广泛的三阴性类别中。

https://cdn.ncbi.nlm.nih.gov/pmc/blobs/bdd8/3500050/f1f3477f4a66/pgen.1003027.g001.jpg

相似文献

1
Cooperativity of Rb, Brca1, and p53 in malignant breast cancer evolution.
PLoS Genet. 2012;8(11):e1003027. doi: 10.1371/journal.pgen.1003027. Epub 2012 Nov 15.
2
RB1 and p53 at the crossroad of EMT and triple-negative breast cancer.
Cell Cycle. 2011 May 15;10(10):1563-70. doi: 10.4161/cc.10.10.15703.
6
Rb deletion in mouse mammary progenitors induces luminal-B or basal-like/EMT tumor subtypes depending on p53 status.
J Clin Invest. 2010 Sep;120(9):3296-309. doi: 10.1172/JCI41490. Epub 2010 Aug 2.

引用本文的文献

2
Durable Disease-free Survival in a Patient with Metastatic Triple-negative Breast Cancer Treated with Olaparib Monotherapy.
Curr Cancer Drug Targets. 2022;22(6):530-536. doi: 10.2174/1568009622666220214092207.
3
GATA3 functions downstream of BRCA1 to suppress EMT in breast cancer.
Theranostics. 2021 Jul 13;11(17):8218-8233. doi: 10.7150/thno.59280. eCollection 2021.
4
Ribosomal RNA Transcription Regulation in Breast Cancer.
Genes (Basel). 2021 Mar 29;12(4):502. doi: 10.3390/genes12040502.
5
Myricetin Exerts its Apoptotic Effects on MCF-7 Breast Cancer Cells through Evoking the BRCA1-GADD45 Pathway.
Asian Pac J Cancer Prev. 2020 Dec 1;21(12):3461-3468. doi: 10.31557/APJCP.2020.21.12.3461.
6
Metabolic Reprogramming in Breast Cancer and Its Therapeutic Implications.
Cells. 2019 Jan 26;8(2):89. doi: 10.3390/cells8020089.

本文引用的文献

1
The genomic and transcriptomic architecture of 2,000 breast tumours reveals novel subgroups.
Nature. 2012 Apr 18;486(7403):346-52. doi: 10.1038/nature10983.
2
The clonal and mutational evolution spectrum of primary triple-negative breast cancers.
Nature. 2012 Apr 4;486(7403):395-9. doi: 10.1038/nature10933.
4
Hallmarks of cancer: the next generation.
Cell. 2011 Mar 4;144(5):646-74. doi: 10.1016/j.cell.2011.02.013.
5
Genetic predisposition directs breast cancer phenotype by dictating progenitor cell fate.
Cell Stem Cell. 2011 Feb 4;8(2):149-63. doi: 10.1016/j.stem.2010.12.007.
7
Triple-negative breast cancer: disease entity or title of convenience?
Nat Rev Clin Oncol. 2010 Dec;7(12):683-92. doi: 10.1038/nrclinonc.2010.154. Epub 2010 Sep 28.
8
Phenotypic and molecular characterization of the claudin-low intrinsic subtype of breast cancer.
Breast Cancer Res. 2010;12(5):R68. doi: 10.1186/bcr2635. Epub 2010 Sep 2.
10
Core epithelial-to-mesenchymal transition interactome gene-expression signature is associated with claudin-low and metaplastic breast cancer subtypes.
Proc Natl Acad Sci U S A. 2010 Aug 31;107(35):15449-54. doi: 10.1073/pnas.1004900107. Epub 2010 Aug 16.

文献AI研究员

20分钟写一篇综述,助力文献阅读效率提升50倍。

立即体验

用中文搜PubMed

大模型驱动的PubMed中文搜索引擎

马上搜索

文档翻译

学术文献翻译模型,支持多种主流文档格式。

立即体验