Ghaderian Mehdi
Department of Paediatric Cardiology, Golestan Medical, Educational and Research Center, Ahvaz Jundishapur University of Medical Sciences, Ahvaz, Iran.
Heart Views. 2012 Jul;13(3):103-6. doi: 10.4103/1995-705X.102153.
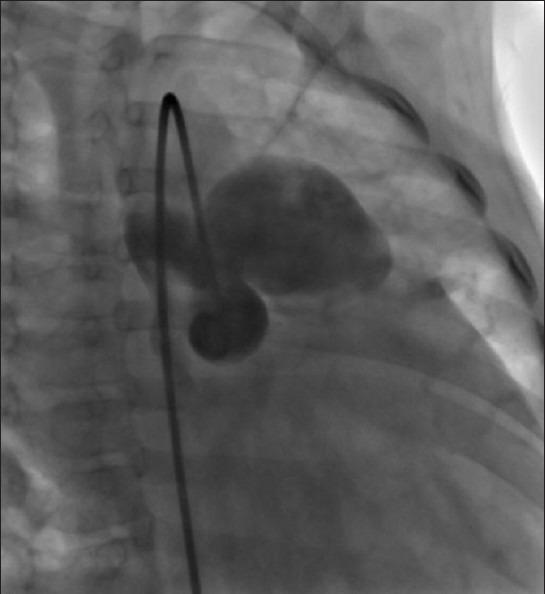
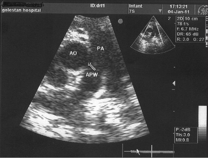
One of the rarest congenital heart diseases that results from a defect between the main pulmonary artery and the proximal aorta is named aortopulmonary window (APW). Such abnormality could be isolated, but in fifty percent of patients may be associated with other cardiac abnormalities, including arch abnormalities, specifically coarctation of the aorta, interrupted aortic arch, tetralogy of fallot, and atrial septal defect (ASD). Surgical closure or catheter-delivered devices is recommended in all patients with APW and should be performed after diagnosis as soon as possible to prevent irreversible pulmonary vascular disease. In the current era, early mortality following repair of simple APW is low and depends on the presence of associated lesions, especially interrupted aortic arch. We report an 8-month-old boy with APW who was referred to our center by respiratory symptoms and heart murmurs.
主肺动脉与近端主动脉之间存在缺陷导致的最罕见先天性心脏病之一称为主肺动脉窗(APW)。这种异常可能是孤立的,但在50%的患者中可能与其他心脏异常有关,包括主动脉弓异常,特别是主动脉缩窄、主动脉弓中断、法洛四联症和房间隔缺损(ASD)。建议所有APW患者进行手术闭合或经导管输送装置治疗,应在诊断后尽快进行,以预防不可逆的肺血管疾病。在当前时代,单纯APW修复后的早期死亡率较低,且取决于是否存在相关病变,尤其是主动脉弓中断。我们报告一名8个月大患有APW的男孩,因呼吸道症状和心脏杂音转诊至我们中心。