Suppr超能文献

Y型支架辅助弹簧圈栓塞治疗视交叉下奇静脉型大脑前动脉动脉瘤破裂伴对侧颈内动脉缺如

A Ruptured Aneurysm at the Infraoptic Azygous Anterior Cerebral Artery with the Contralateral Internal Carotid Artery Agenesis Treated by Y-stent Assisted Coil Embolization.

作者信息

Kang Ho-Jun, Lee Yoon-Soo, Suh Sang-Jun, Lee Jeong-Ho, Ryu Kee-Young, Kang Dong-Gee

机构信息

Department of Neurosurgery, Daegu Fatima Hospital, Daegu, Korea.

出版信息

J Cerebrovasc Endovasc Neurosurg. 2012 Sep;14(3):237-42. doi: 10.7461/jcen.2012.14.3.237. Epub 2012 Sep 28.

Abstract

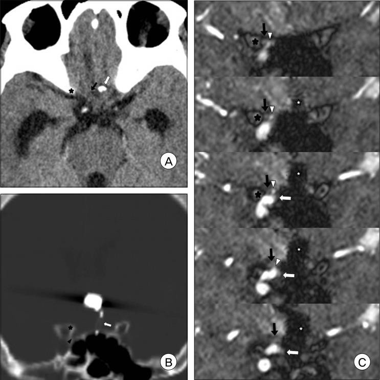
Infraoptic anterior cerebral artery (ACA) is an extremely rare congenital anomaly. This anomalous artery usually arises from the intradural internal carotid artery (ICA) near the level of the ophthalmic artery (OA) or rarely from the extradural ICA. This anomaly frequently harbors a cerebral aneurysm, and may involve other coexisting vascular anomalies. In the case of this anomaly, surgical treatment of the aneurysm at the proximal ACA or anterior communicating artery (ACoA) may sometimes be difficult, because the veiled proximal ACA by the optic nerve would make proximal control inconvenient and the vertical midline segment of the proximal ACA would frequently form a superiorly directing aneurysm with a relatively high position. We report on an extremely rare case of a ruptured aneurysm at the infraoptic azygous ACA, possibly having an extradural origin, accompanied by contralateral ICA agenesis, and also introduce a feasible method for treatment by Y-stent assisted coil embolization.

摘要

视交叉下大脑前动脉(ACA)是一种极其罕见的先天性异常。这种异常动脉通常起源于硬脑膜内颈内动脉(ICA)靠近眼动脉(OA)水平处,或很少起源于硬脑膜外ICA。这种异常常伴有脑动脉瘤,且可能合并其他并存的血管异常。对于这种异常情况,在ACA近端或前交通动脉(ACoA)处进行动脉瘤的手术治疗有时可能会很困难,因为视神经遮挡了ACA近端会使近端控制不便,且ACA近端的垂直中线段常形成位置相对较高的向上指向的动脉瘤。我们报告了一例极其罕见的视交叉下奇异性ACA动脉瘤破裂病例,可能起源于硬脑膜外,伴有对侧ICA缺如,并介绍了一种通过Y型支架辅助弹簧圈栓塞进行治疗的可行方法。

https://cdn.ncbi.nlm.nih.gov/pmc/blobs/6e93/3491221/11510bb9f9ef/jcen-14-237-g001.jpg

文献AI研究员

20分钟写一篇综述,助力文献阅读效率提升50倍。

立即体验

用中文搜PubMed

大模型驱动的PubMed中文搜索引擎

马上搜索

文档翻译

学术文献翻译模型,支持多种主流文档格式。

立即体验