Department of Pathology & Laboratory Medicine, David Geffen UCLA School of Medicine, Los Angeles, CA, 90095, USA.
Department of Ecology and Evolutionary Biology, UCLA, Los Angeles, CA, 90095, USA.
Exp Hematol Oncol. 2012 Aug 20;1(1):21. doi: 10.1186/2162-3619-1-21.
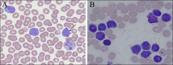
T-cell prolymphocytic leukemia (T-PLL) is a rare form of leukemia composed of mature T-cells that usually presents in older people with a median age of 65. Most cases of T-PLL will harbor chromosomal abnormalities involving 14q11.2 (TCR alpha/delta), 14q32 (TCL1) or Xq28 (MTCP-1), abnormalities of chromosome 8, 12p and deletions of the long arm of chromosomes 5, 6, 11 and 13. Cytogenetics, FISH, comparative genomic hybridization (CGH) , SNP arrays with high resolution analysis have provided more precisely frequent submicroscopic gene and genomic lesions as well as breakpoints involved in the pathogenesis of this disease. One of the cornerstones to diagnose T-PLL are cytogenetic analysis. Here we summarize the current cytogenetic findings and we also describe two distinct cases of T-PLL where cytogenetics, FISH , morphologic analysis and flow cytometry helped to diagnose them accurately.
T 细胞前淋巴细胞白血病(T-PLL)是一种罕见的白血病,由成熟的 T 细胞组成,通常发生在年龄较大的人群中,中位年龄为 65 岁。大多数 T-PLL 病例会存在涉及 14q11.2(TCRα/δ)、14q32(TCL1)或 Xq28(MTCP-1)、染色体 8 异常、12p 异常和染色体 5、6、11 和 13 长臂缺失的染色体异常。细胞遗传学、FISH、比较基因组杂交(CGH)、具有高分辨率分析的 SNP 阵列为该疾病的发病机制提供了更精确的频繁亚微观基因和基因组病变以及涉及的断裂点。诊断 T-PLL 的基石之一是细胞遗传学分析。在这里,我们总结了目前的细胞遗传学发现,我们还描述了两例不同的 T-PLL 病例,其中细胞遗传学、FISH、形态学分析和流式细胞术有助于准确诊断它们。