Suppr超能文献

第一代药物洗脱支架置入术后晚期及极晚期支架血栓形成的病理病因

Pathologic Etiologies of Late and Very Late Stent Thrombosis following First-Generation Drug-Eluting Stent Placement.

作者信息

Otsuka Fumiyuki, Nakano Masataka, Ladich Elena, Kolodgie Frank D, Virmani Renu

机构信息

Department of Cardiovascular Pathology, CVPath Institute Inc., 19 Firstfield Road, Gaithersburg, MD 20878, USA.

出版信息

Thrombosis. 2012;2012:608593. doi: 10.1155/2012/608593. Epub 2012 Nov 21.

Abstract

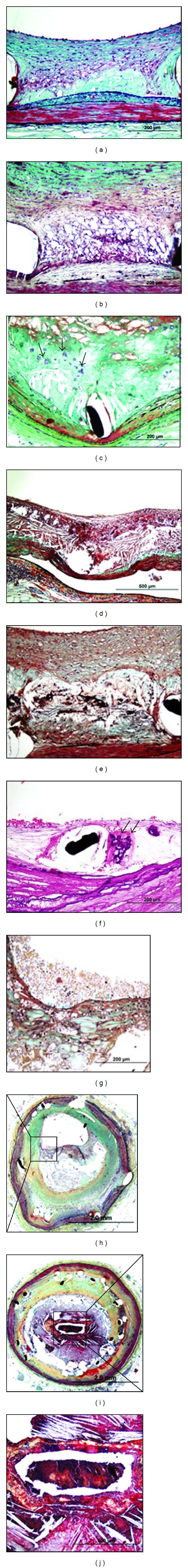
Several randomized and observational studies have reported steady increase in cumulative incidence of late and very late ST (LST/VLST) following first-generation drug-eluting stents (DES: sirolimus-(SES) and paclitaxel-(PES)) up to 5 years. Pathologic studies have identified uncovered struts as the primary substrate responsible for LST/VLST following DES, where delayed arterial healing is associated with stent struts penetrating into the necrotic core, long/overlapping stents, and bifurcation stenting especially in flow divider region. Grade V stent fracture also induces LST/VLST and restenosis. Hypersensitivity reaction is exclusive to SES as an etiology of LST/VLST, whereas malapposition secondary to excessive fibrin deposition is associated with PES. Uncovered struts can be identified in SES and PES with duration of implant beyond 12 months, particularly in stents placed for "off-label" indications. Neoatherosclerosis is another important contributing factor for VLST in DES and bare metal stents (BMS); however, DES shows rapid and more frequent development of neoatherosclerosis than BMS. Future pathologic studies should address the long-term safety of newer generation DES including zotarolimus- and everolimus-eluting stents in terms of the improvement in reendothelialization, decreased inflammation and fibrin deposition as well as a lower incidence of stent fracture-related adverse events, and reduced neoatherosclerosis, which likely contribute to the decreased risk of LST/VLST and better patient outcomes.

摘要

多项随机和观察性研究报告称,在长达5年的时间里,第一代药物洗脱支架(DES:西罗莫司洗脱支架(SES)和紫杉醇洗脱支架(PES))植入后,晚期和极晚期支架内血栓形成(LST/VLST)的累积发生率稳步上升。病理研究已确定,未覆盖的支架小梁是DES植入后LST/VLST的主要成因,其中延迟的动脉愈合与支架小梁穿透坏死核心、长支架/重叠支架以及分叉处支架植入(尤其是在血流分流区域)有关。V级支架断裂也会诱发LST/VLST和再狭窄。超敏反应是SES特有的LST/VLST病因,而过量纤维蛋白沉积继发的贴壁不良与PES有关。在植入时间超过12个月的SES和PES中可发现未覆盖的支架小梁,特别是在用于“非适应证”的支架中。新生动脉粥样硬化是DES和裸金属支架(BMS)中VLST的另一个重要促成因素;然而,DES比BMS显示出更快且更频繁的新生动脉粥样硬化发展。未来的病理研究应探讨新一代DES(包括佐他莫司洗脱支架和依维莫司洗脱支架)在改善再内皮化、减少炎症和纤维蛋白沉积以及降低支架断裂相关不良事件发生率、减少新生动脉粥样硬化方面的长期安全性,这些因素可能有助于降低LST/VLST风险并改善患者预后。

https://cdn.ncbi.nlm.nih.gov/pmc/blobs/640b/3512327/9875eecce0a8/THROMB2012-608593.001.jpg

文献检索

告别复杂PubMed语法,用中文像聊天一样搜索,搜遍4000万医学文献。AI智能推荐,让科研检索更轻松。

立即免费搜索

文件翻译

保留排版,准确专业,支持PDF/Word/PPT等文件格式,支持 12+语言互译。

免费翻译文档

深度研究

AI帮你快速写综述,25分钟生成高质量综述,智能提取关键信息,辅助科研写作。

立即免费体验