• 文献检索
  • 文档翻译
  • 深度研究
  • 学术资讯
  • Suppr Zotero 插件Zotero 插件
  • 邀请有礼
  • 套餐&价格
  • 历史记录
应用&插件
Suppr Zotero 插件Zotero 插件浏览器插件Mac 客户端Windows 客户端微信小程序
定价
高级版会员购买积分包购买API积分包
服务
文献检索文档翻译深度研究API 文档MCP 服务
关于我们
关于 Suppr公司介绍联系我们用户协议隐私条款
关注我们

Suppr 超能文献

核心技术专利:CN118964589B侵权必究
粤ICP备2023148730 号-1Suppr @ 2026

文献检索

告别复杂PubMed语法,用中文像聊天一样搜索,搜遍4000万医学文献。AI智能推荐,让科研检索更轻松。

立即免费搜索

文件翻译

保留排版,准确专业,支持PDF/Word/PPT等文件格式,支持 12+语言互译。

免费翻译文档

深度研究

AI帮你快速写综述,25分钟生成高质量综述,智能提取关键信息,辅助科研写作。

立即免费体验

鉴定和迁移大西洋鲑鱼的原始生殖细胞:vasa、dead end 和淋巴细胞抗原 75 基因的特征。

Identification and migration of primordial germ cells in Atlantic salmon, Salmo salar: characterization of vasa, dead end, and lymphocyte antigen 75 genes.

机构信息

Faculty of Biosciences and Aquaculture, University of Nordland, Bodø, Norway.

出版信息

Mol Reprod Dev. 2013 Feb;80(2):118-31. doi: 10.1002/mrd.22142. Epub 2013 Feb 5.

DOI:10.1002/mrd.22142
PMID:23239145
原文链接:https://pmc.ncbi.nlm.nih.gov/articles/PMC3664433/
Abstract

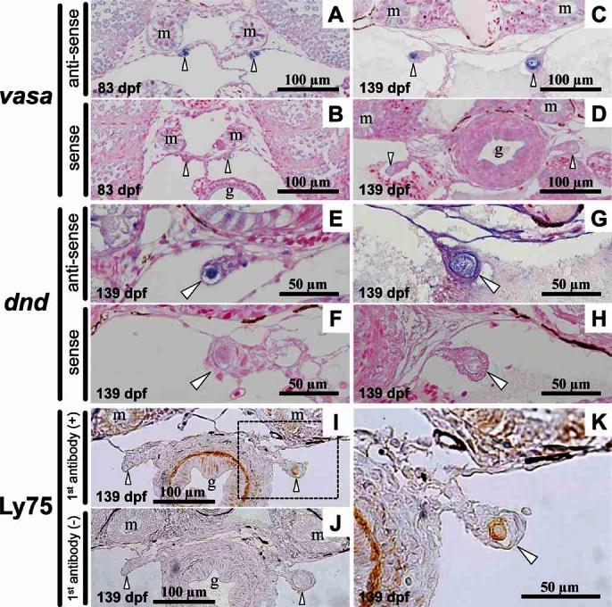
No information exists on the identification of primordial germ cells (PGCs) in the super-order Protacanthopterygii, which includes the Salmonidae family and Atlantic salmon (Salmo salar L.), one of the most commercially important aquatic animals worldwide. In order to identify salmon PGCs, we cloned the full-length cDNA of vasa, dead end (dnd), and lymphocyte antigen 75 (ly75/CD205) genes as germ cell marker candidates, and analyzed their expression patterns in both adult and embryonic stages of Atlantic salmon. Semi-quantitative RT-PCR results showed that salmon vasa and dnd were specifically expressed in testis and ovary, and vasa, dnd, and ly75 mRNA were maternally deposited in the egg. vasa mRNA was consistently detected throughout embryogenesis while dnd and ly75 mRNA were gradually degraded during cleavages. In situ analysis revealed the localization of vasa and dnd mRNA and Ly75 protein in PGCs of hatched larvae. Whole-mount in situ hybridization detected vasa mRNA during embryogenesis, showing a distribution pattern somewhat different to that of zebrafish; specifically, at mid-blastula stage, vasa-expressing cells were randomly distributed at the central part of blastodisc, and then they migrated to the presumptive region of embryonic shield. Therefore, the typical vasa localization pattern of four clusters during blastulation, as found in zebrafish, was not present in Atlantic salmon. In addition, salmon PGCs could be specifically labeled with a green fluorescence protein (GFP) using gfp-rt-vasa 3'-UTR RNA microinjection for further applications. These findings may assist in understanding PGC development not only in Atlantic salmon but also in other salmonids.

摘要

在包括鲑科鱼类和大西洋鲑(Salmo salar L.)在内的超纲硬骨鱼中,尚未发现原始生殖细胞(PGC)的鉴定信息。大西洋鲑是世界上最重要的商业水产动物之一。为了鉴定鲑鱼的 PGC,我们克隆了全长 cDNA 的 vasa、dead end (dnd) 和淋巴细胞抗原 75 (ly75/CD205) 基因作为候选的生殖细胞标记物,并分析了它们在大西洋鲑成鱼和胚胎发育阶段的表达模式。半定量 RT-PCR 结果表明,鲑鱼 vasa 和 dnd 特异性表达于睾丸和卵巢,vasa、dnd 和 ly75 mRNA 呈母源性沉积于卵中。vasa mRNA 在整个胚胎发生过程中持续检测到,而 dnd 和 ly75 mRNA 在卵裂过程中逐渐降解。原位分析揭示了孵化幼虫 PGC 中 vasa 和 dnd mRNA 和 Ly75 蛋白的定位。胚胎发生过程中的整体原位杂交检测到 vasa mRNA,其分布模式与斑马鱼略有不同;具体而言,在中囊胚期,vasa 表达细胞随机分布于胚盘中央部分,然后迁移到胚胎盾的假定区域。因此,在大西洋鲑中,没有发现如在斑马鱼中那样在囊胚期存在的典型的 vasa 四个簇的定位模式。此外,使用 gfp-rt-vasa 3'-UTR RNA 显微注射可以特异性标记鲑鱼 PGC,并用绿色荧光蛋白(GFP)标记,以便进一步应用。这些发现可能有助于不仅在大西洋鲑中,而且在其他鲑科鱼类中理解 PGC 发育。

https://cdn.ncbi.nlm.nih.gov/pmc/blobs/554e/3664433/d46dc035dc1c/mrd0080-0118-f5.jpg
https://cdn.ncbi.nlm.nih.gov/pmc/blobs/554e/3664433/50064e1ef0a2/mrd0080-0118-f1.jpg
https://cdn.ncbi.nlm.nih.gov/pmc/blobs/554e/3664433/7933703cd670/mrd0080-0118-f2.jpg
https://cdn.ncbi.nlm.nih.gov/pmc/blobs/554e/3664433/5276ef107f63/mrd0080-0118-f3.jpg
https://cdn.ncbi.nlm.nih.gov/pmc/blobs/554e/3664433/2f3f85d17b9b/mrd0080-0118-f4.jpg
https://cdn.ncbi.nlm.nih.gov/pmc/blobs/554e/3664433/d46dc035dc1c/mrd0080-0118-f5.jpg
https://cdn.ncbi.nlm.nih.gov/pmc/blobs/554e/3664433/50064e1ef0a2/mrd0080-0118-f1.jpg
https://cdn.ncbi.nlm.nih.gov/pmc/blobs/554e/3664433/7933703cd670/mrd0080-0118-f2.jpg
https://cdn.ncbi.nlm.nih.gov/pmc/blobs/554e/3664433/5276ef107f63/mrd0080-0118-f3.jpg
https://cdn.ncbi.nlm.nih.gov/pmc/blobs/554e/3664433/2f3f85d17b9b/mrd0080-0118-f4.jpg
https://cdn.ncbi.nlm.nih.gov/pmc/blobs/554e/3664433/d46dc035dc1c/mrd0080-0118-f5.jpg

相似文献

1
Identification and migration of primordial germ cells in Atlantic salmon, Salmo salar: characterization of vasa, dead end, and lymphocyte antigen 75 genes.鉴定和迁移大西洋鲑鱼的原始生殖细胞:vasa、dead end 和淋巴细胞抗原 75 基因的特征。
Mol Reprod Dev. 2013 Feb;80(2):118-31. doi: 10.1002/mrd.22142. Epub 2013 Feb 5.
2
Characterization of vasa homolog in a neotropical catfish, Jundiá (Rhamdia quelen): Molecular cloning and expression analysis during embryonic and larval development.新热带鲶鱼裘氏滑鲇(Rhamdia quelen)中瓦萨同源物的特性:胚胎和幼体发育过程中的分子克隆与表达分析
Gene. 2018 May 15;654:116-126. doi: 10.1016/j.gene.2018.02.029. Epub 2018 Feb 14.
3
Expression of vasa and nanos3 during primordial germ cell formation and migration in Atlantic cod (Gadus morhua L.).在大西洋鳕鱼(Gadus morhua L.)原始生殖细胞形成和迁移过程中 vasa 和 nanos3 的表达。
Theriogenology. 2012 Oct 1;78(6):1262-77. doi: 10.1016/j.theriogenology.2012.05.022. Epub 2012 Aug 13.
4
Visualizing primordial germ cell migration in embryos of rice field eel (Monopterus albus) using fluorescent protein tagged 3' untranslated regions of nanos3, dead end and vasa.利用荧光蛋白标记的nanos3、dead end和vasa的3'非翻译区可视化黄鳝胚胎中原始生殖细胞的迁移。
Comp Biochem Physiol B Biochem Mol Biol. 2019 Sep;235:62-69. doi: 10.1016/j.cbpb.2019.06.002. Epub 2019 Jun 6.
5
Characterization of a vasa homolog in the brown-marbled grouper (Epinephelus fuscoguttatus) and its expression in gonad and germ cells during larval development.棕点石斑鱼(Epinephelus fuscoguttatus)中一种瓦萨同源物的特性及其在幼体发育过程中性腺和生殖细胞中的表达。
Fish Physiol Biochem. 2016 Dec;42(6):1621-1636. doi: 10.1007/s10695-016-0245-z. Epub 2016 Jul 12.
6
Characterization of zebrafish primordial germ cells: morphology and early distribution of vasa RNA.斑马鱼原始生殖细胞的特征:vasa RNA的形态及早期分布
Dev Dyn. 1999 Oct;216(2):153-67. doi: 10.1002/(SICI)1097-0177(199910)216:2<153::AID-DVDY6>3.0.CO;2-1.
7
Lymphocyte antigen 75 (Ly75/CD205) is a surface marker on mitotic germ cells in rainbow trout.淋巴细胞抗原 75(Ly75/CD205)是虹鳟鱼有丝分裂生殖细胞表面的标志物。
Biol Reprod. 2010 Oct;83(4):597-606. doi: 10.1095/biolreprod.109.082081. Epub 2010 Jun 10.
8
Identification and sexually dimorphic expression of vasa isoforms in Dabry's sturgeon (Acipenser dabryanus), and functional analysis of vasa 3'-untranslated region.达氏鲟(Acipenser dabryanus)中瓦萨异构体的鉴定及性别二态性表达,以及瓦萨3'-非翻译区的功能分析。
Cell Tissue Res. 2016 Oct;366(1):203-18. doi: 10.1007/s00441-016-2418-6. Epub 2016 May 17.
9
Germ cell-specific expression of dead end (dnd) in rare minnow (Gobiocypris rarus).稀有鮈鲫(Gobiocypris rarus)中死端基因(dnd)的生殖细胞特异性表达
Fish Physiol Biochem. 2015 Apr;41(2):561-71. doi: 10.1007/s10695-015-0029-x. Epub 2015 Feb 7.
10
Vasa identifies germ cells in embryos and gonads of Oryzias celebensis.Vasa 鉴定出红腹鱵胚胎和性腺中的生殖细胞。
Gene. 2022 May 20;823:146369. doi: 10.1016/j.gene.2022.146369. Epub 2022 Mar 1.

引用本文的文献

1
Migration of primordial germ cells and their relationship of PGCs with sex development in transgenic germline-specific fluorescent freshwater angelfish (Pterophyllum scalare).转基因种系特异性荧光淡水神仙鱼(Pterophyllum scalare)中原始生殖细胞的迁移及其与性发育的关系。
Sci Rep. 2025 Jan 8;15(1):1308. doi: 10.1038/s41598-025-85480-7.
2
Characterization of potential spermatogonia biomarker genes in the European eel (Anguilla anguilla).鉴定欧洲鳗鲡(Anguilla anguilla)潜在精原细胞生物标志物基因。
Fish Physiol Biochem. 2024 Oct;50(5):2099-2115. doi: 10.1007/s10695-024-01338-1. Epub 2024 Apr 19.
3
Traceability of primordial germ cells in three neotropical fish species aiming genetic conservation actions.

本文引用的文献

1
Germ line specific expression of a vasa homologue gene in turbot (Scophthalmus maximus): evidence for vasa localization at cleavage furrows in euteleostei.在大菱鲆(Scophthalmus maximus)中,生殖系特异性表达一种 vasa 同源基因:在真骨鱼类中 vasa 定位在卵裂沟的证据。
Mol Reprod Dev. 2012 Nov;79(11):803-13. doi: 10.1002/mrd.22120. Epub 2012 Nov 1.
2
Expression of vasa and nanos3 during primordial germ cell formation and migration in Atlantic cod (Gadus morhua L.).在大西洋鳕鱼(Gadus morhua L.)原始生殖细胞形成和迁移过程中 vasa 和 nanos3 的表达。
Theriogenology. 2012 Oct 1;78(6):1262-77. doi: 10.1016/j.theriogenology.2012.05.022. Epub 2012 Aug 13.
3
追踪具有遗传保护行动的三种新热带鱼类的原始生殖细胞。
Fish Physiol Biochem. 2024 Oct;50(5):2025-2042. doi: 10.1007/s10695-023-01279-1. Epub 2023 Dec 7.
4
Insights into Early Ontogenesis of : RNA Extraction, Housekeeping Gene Validation and Transcriptional Expression of Important Primordial Germ Cell and Sex-Determination Genes.对……早期个体发育的见解:RNA提取、管家基因验证以及重要原始生殖细胞和性别决定基因的转录表达
Animals (Basel). 2023 Mar 19;13(6):1094. doi: 10.3390/ani13061094.
5
Infertility control of transgenic fluorescent zebrafish with targeted mutagenesis of the gene by CRISPR/Cas9 genome editing.通过CRISPR/Cas9基因组编辑对基因进行靶向诱变来控制转基因荧光斑马鱼的不育性。
Front Genet. 2023 Jan 13;14:1029200. doi: 10.3389/fgene.2023.1029200. eCollection 2023.
6
Characterization of and Homologs in Snakeskin Gourami () and Their Expression Levels during Larval Development and in Gonads of Males and Females.蛇皮斗鱼中[具体基因名称]及其同源基因的特征分析以及它们在幼体发育过程中以及雄性和雌性性腺中的表达水平
Animals (Basel). 2022 Dec 4;12(23):3415. doi: 10.3390/ani12233415.
7
Spinyhead Croaker Germ Cells Gene Visualizes Primordial Germ Cells in Medaka.棘头黄姑鱼生殖细胞基因可使青鳉中的原始生殖细胞可视化。
Life (Basel). 2022 Aug 12;12(8):1226. doi: 10.3390/life12081226.
8
Primordial germ cell identification and traceability during the initial development of the Siluriformes fish Pseudopimelodus mangurus.在 Siluriformes 鱼类 P. mangurus 的初始发育过程中鉴定和追踪原始生殖细胞。
Fish Physiol Biochem. 2022 Oct;48(5):1137-1153. doi: 10.1007/s10695-022-01106-z. Epub 2022 Aug 4.
9
Primordial Germ Cell Development in the Poeciliid, , Reveals Shared Features Between Lecithotrophs and Matrotrophs.食蚊鱼科的原始生殖细胞发育揭示了卵黄营养型和母性营养型之间的共同特征。
Front Cell Dev Biol. 2022 Mar 1;10:793498. doi: 10.3389/fcell.2022.793498. eCollection 2022.
10
Isolation and Characterization of Highly Pure Type A Spermatogonia From Sterlet () Using Flow-Cytometric Cell Sorting.使用流式细胞术细胞分选从西伯利亚鲟()中分离和鉴定高纯度A型精原细胞
Front Cell Dev Biol. 2021 Dec 10;9:772625. doi: 10.3389/fcell.2021.772625. eCollection 2021.
Germ cells are not the primary factor for sexual fate determination in goldfish.
生殖细胞不是金鱼性别的决定因素。
Dev Biol. 2012 Oct 1;370(1):98-109. doi: 10.1016/j.ydbio.2012.07.010. Epub 2012 Jul 21.
4
Transient and stable GFP expression in germ cells by the vasa regulatory sequences from the red seabream (Pagrus major).通过红鳍东方鲀(Pagrus major)的 vasa 调控序列,在生殖细胞中实现瞬时和稳定的 GFP 表达。
Int J Biol Sci. 2012;8(6):882-90. doi: 10.7150/ijbs.4421. Epub 2012 Jun 16.
5
Photoperiod influences growth and mll (mixed-lineage leukaemia) expression in Atlantic cod.光周期影响大西洋鳕鱼的生长和 mll(混合谱系白血病)的表达。
PLoS One. 2012;7(5):e36908. doi: 10.1371/journal.pone.0036908. Epub 2012 May 9.
6
Germ cell specific expression of Vasa in rare minnow, Gobiocypris rarus.稀有鮈鲫 Vasa 基因的精巢特异表达。
Comp Biochem Physiol A Mol Integr Physiol. 2012 Jul;162(3):163-70. doi: 10.1016/j.cbpa.2012.02.007. Epub 2012 Feb 14.
7
The mechanism for primordial germ-cell migration is conserved between Japanese eel and zebrafish.原始生殖细胞迁移的机制在日本鳗鲡和斑马鱼之间是保守的。
PLoS One. 2011;6(9):e24460. doi: 10.1371/journal.pone.0024460. Epub 2011 Sep 12.
8
Regulation of hub mRNA stability and translation by miR430 and the dead end protein promotes preferential expression in zebrafish primordial germ cells.miR430 和无终止蛋白调控枢纽 mRNA 的稳定性和翻译,促进其在斑马鱼原始生殖细胞中的优先表达。
Dev Dyn. 2011 Mar;240(3):695-703. doi: 10.1002/dvdy.22571.
9
Non-sex specific genes associated with the secondary mitotic period of primordial germ cell proliferation in the gonads of embryonic rainbow trout (Oncorhynchus mykiss).与胚胎虹鳟鱼(Oncorhynchus mykiss)性腺原生殖细胞增殖的次级有丝分裂期相关的非性别特异性基因。
Mol Reprod Dev. 2011 Mar;78(3):181-7. doi: 10.1002/mrd.21277. Epub 2011 Feb 17.
10
Cloning and sequence analysis of a vasa homolog in the European sea bass (Dicentrarchus labrax): tissue distribution and mRNA expression levels during early development and sex differentiation.克隆和序列分析鲈鱼(Dicentrarchus labrax)中的一个 vasa 同源物:在早期发育和性别分化过程中的组织分布和 mRNA 表达水平。
Gen Comp Endocrinol. 2011 Jan 15;170(2):322-33. doi: 10.1016/j.ygcen.2010.10.007. Epub 2010 Oct 16.