Suppr超能文献

伴有胸腔内肾的博赫dalek疝。

Bochdalek hernia with intrathoracic kidney.

作者信息

Shah Arti D, Ajay Stani, Adalia Mayur, Rathi Amar

机构信息

Department of Pulmonary Medicine, Smt. B. K. Shah Medical Institute and Research Centre, Piparia, Waghodia, Vadodara, Gujarat, India.

出版信息

Lung India. 2012 Oct;29(4):373-5. doi: 10.4103/0970-2113.102837.

Abstract

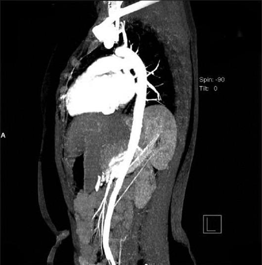
Bochdalek hernia is a congenital diaphragmatic defect that allows abdominal viscera to herniate into the thorax. Intrathoracic kidney is a very rare finding representing less than 5% of all renal ectopias. A 20 year old female presented with complaints of dry cough since 15 days and intermittent fever of 4 days duration. As part of routine investigation chest X-ray was done which showed a left retro-cardiac homogenous opacity, rest of the lung field appeared normal. Abdominal ultrasound showed the right kidney to be normal, left kidney was not visualized. Computed tomography scan demonstrated left-sided Bochdalek hernia with the left kidney within the thorax. An IVP was done to confirm the diagnosis. Many a times intrathoracic kidney is confused with a thoracic mass and the patient undergoes a battery of unnecessary investigations, surgical interventions and image guided biopsies for the same, hence to avoid this we are reporting this case.

摘要

博赫dalek疝是一种先天性膈缺陷,可使腹腔脏器疝入胸腔。胸腔内肾是一种非常罕见的发现,占所有肾异位的比例不到5%。一名20岁女性自15天前开始出现干咳,持续4天间歇性发热。作为常规检查的一部分,进行了胸部X线检查,显示左心后均匀性致密影,其余肺野正常。腹部超声显示右肾正常,左肾未显示。计算机断层扫描显示左侧博赫dalek疝,左肾位于胸腔内。进行了静脉肾盂造影以确诊。很多时候,胸腔内肾会与胸部肿块混淆,患者为此接受了一系列不必要的检查、手术干预和影像引导下活检,因此为避免这种情况,我们报告此病例。

https://cdn.ncbi.nlm.nih.gov/pmc/blobs/a76a/3519026/dc97248f816a/LI-29-373-g001.jpg

文献AI研究员

20分钟写一篇综述,助力文献阅读效率提升50倍。

立即体验

用中文搜PubMed

大模型驱动的PubMed中文搜索引擎

马上搜索

文档翻译

学术文献翻译模型,支持多种主流文档格式。

立即体验