Suppr超能文献

ATM/ATR 基因 DNA 损伤检查点失活促进雄激素诱导的前列腺上皮细胞染色体不稳定性。

Inactivation of ATM/ATR DNA damage checkpoint promotes androgen induced chromosomal instability in prostate epithelial cells.

机构信息

Department of Anatomy, The University of Hong Kong, Hong Kong, Special Administrative Region, China.

出版信息

PLoS One. 2012;7(12):e51108. doi: 10.1371/journal.pone.0051108. Epub 2012 Dec 18.

Abstract

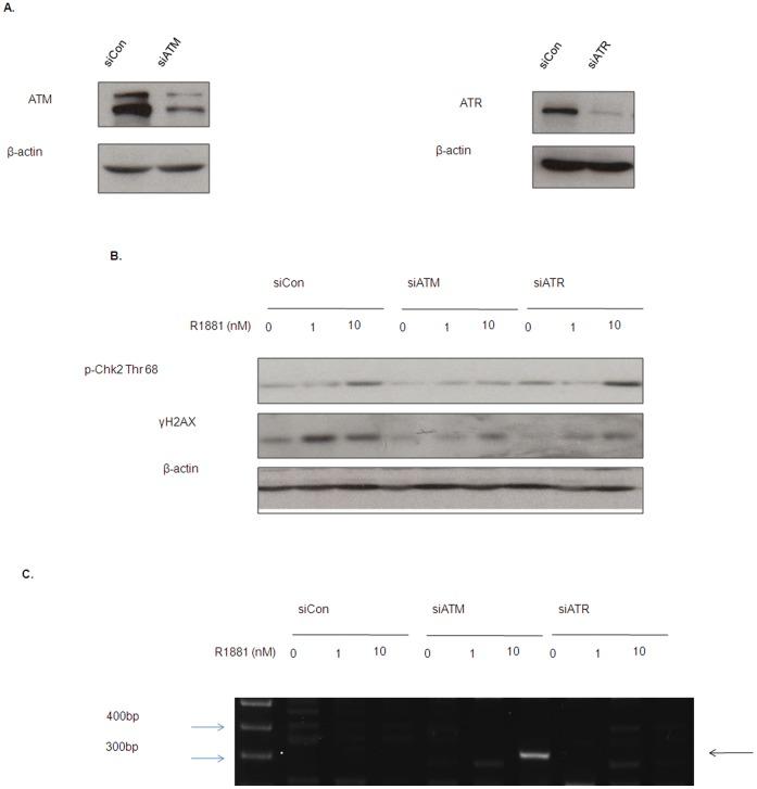
The ATM/ATR DNA damage checkpoint functions in the maintenance of genetic stability and some missense variants of the ATM gene have been shown to confer a moderate increased risk of prostate cancer. However, whether inactivation of this checkpoint contributes directly to prostate specific cancer predisposition is still unknown. Here, we show that exposure of non-malignant prostate epithelial cells (HPr-1AR) to androgen led to activation of the ATM/ATR DNA damage response and induction of cellular senescence. Notably, knockdown of the ATM gene expression in HPr-1AR cells can promote androgen-induced TMPRSS2: ERG rearrangement, a prostate-specific chromosome translocation frequently found in prostate cancer cells. Intriguingly, unlike the non-malignant prostate epithelial cells, the ATM/ATR DNA damage checkpoint appears to be defective in prostate cancer cells, since androgen treatment only induced a partial activation of the DNA damage response. This mechanism appears to preserve androgen induced autophosphorylation of ATM and phosphorylation of H2AX, lesion processing and repair pathway yet restrain ATM/CHK1/CHK2 and p53 signaling pathway. Our findings demonstrate that ATM/ATR inactivation is a crucial step in promoting androgen-induced genomic instability and prostate carcinogenesis.

摘要

ATM/ATR 损伤检查点在维持遗传稳定性方面发挥作用,一些 ATM 基因的错义变体已被证明会导致前列腺癌的风险适度增加。然而,该检查点的失活是否直接导致前列腺特异性癌症易感性仍然未知。在这里,我们表明,雄激素暴露于非恶性前列腺上皮细胞(HPr-1AR)中会导致 ATM/ATR 损伤反应的激活和细胞衰老的诱导。值得注意的是,在 HPr-1AR 细胞中敲低 ATM 基因表达可以促进雄激素诱导的 TMPRSS2:ERG 重排,这是前列腺癌细胞中常见的一种前列腺特异性染色体易位。有趣的是,与非恶性前列腺上皮细胞不同,前列腺癌细胞中的 ATM/ATR 损伤检查点似乎存在缺陷,因为雄激素处理仅诱导部分 DNA 损伤反应的激活。该机制似乎保留了雄激素诱导的 ATM 自身磷酸化和 H2AX 的磷酸化、损伤处理和修复途径,同时抑制 ATM/CHK1/CHK2 和 p53 信号通路。我们的研究结果表明,ATM/ATR 的失活是促进雄激素诱导的基因组不稳定性和前列腺癌发生的关键步骤。

https://cdn.ncbi.nlm.nih.gov/pmc/blobs/8fa5/3525593/e511e4f7f91a/pone.0051108.g001.jpg

文献AI研究员

20分钟写一篇综述,助力文献阅读效率提升50倍。

立即体验

用中文搜PubMed

大模型驱动的PubMed中文搜索引擎

马上搜索

文档翻译

学术文献翻译模型,支持多种主流文档格式。

立即体验