Suppr超能文献

伴有眼眶并发症的额窦黏液囊肿:多种手术入路的治疗

Frontal sinus mucocele with orbital complications: Management by varied surgical approaches.

作者信息

Aggarwal Sushil Kumar, Bhavana Kranti, Keshri Amit, Kumar Raj, Srivastava Arun

机构信息

Department of Neurosurgery, Sanjay Gandhi Postgraduate Institute of Medical Sciences (SGPGIMS), Lucknow, Uttar Pradesh, India.

出版信息

Asian J Neurosurg. 2012 Jul;7(3):135-40. doi: 10.4103/1793-5482.103718.

Abstract

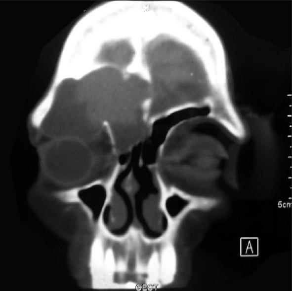
A mucocele of a para-nasal sinus is an accumulation of mucoid secretion and desqua-mated epithelium within the sinus with distension of its walls and is regarded as a cyst like expansile and destructive lesion. If the cyst invades the adjacent orbit and continues to expand within the orbital cavity, the mass may mimic the behavior of many benign growths primary in the orbit. The frontal sinus is most commonly involved, whereas sphenoid, ethmoid, and maxillary mucoceles are rare. Floor of frontal sinus is shared with the superior orbital wall which explains the early displacement of orbit in enlarging frontal mucoceles. Frontal sinus mucoceles are prone to recurrences if not managed adequately. Here, we are evaluating different approaches used to manage various stages of frontal mucoceles which presented to us with orbital complications. Three cases of frontal sinus mucocele are discussed which presented to our OPD with different clinical symptoms and all cases were managed by different surgical approaches according to their severity. We also concluded that it is prudent to collaborate with the neurosurgeons for adequate management of such complex mucoceles by a craniotomy approach.

摘要

鼻窦黏液囊肿是鼻窦内黏液样分泌物和脱落上皮的积聚,伴有鼻窦壁扩张,被视为一种类似囊肿的膨胀性破坏性病变。如果囊肿侵犯相邻眼眶并在眶腔内持续扩大,肿块可能类似许多眼眶原发性良性肿瘤的表现。额窦最常受累,而蝶窦、筛窦和上颌窦黏液囊肿罕见。额窦底部与眶上壁相邻,这解释了额窦黏液囊肿增大时眼眶早期移位的原因。如果处理不当,额窦黏液囊肿容易复发。在此,我们评估了用于处理出现眼眶并发症的不同阶段额窦黏液囊肿的不同方法。讨论了3例因不同临床症状就诊于我们门诊的额窦黏液囊肿病例,所有病例均根据其严重程度采用不同的手术方法进行处理。我们还得出结论,对于此类复杂黏液囊肿,通过开颅手术方法进行充分处理时,与神经外科医生合作是明智的。

https://cdn.ncbi.nlm.nih.gov/pmc/blobs/8dda/3532760/27b0adf39f6a/AJNS-7-135-g001.jpg

文献AI研究员

20分钟写一篇综述,助力文献阅读效率提升50倍。

立即体验

用中文搜PubMed

大模型驱动的PubMed中文搜索引擎

马上搜索

文档翻译

学术文献翻译模型,支持多种主流文档格式。

立即体验