Suppr超能文献

重组肌球蛋白依赖碳酸氢盐的分泌和蛋白水解加工。

Bicarbonate-dependent secretion and proteolytic processing of recombinant myocilin.

机构信息

Laboratorio de Genética Molecular Humana, Facultad de Medicina/Instituto de Investigación en Discapacidades Neurológicas-IDINE, Universidad de Castilla-La Mancha, Albacete, Spain.

出版信息

PLoS One. 2013;8(1):e54385. doi: 10.1371/journal.pone.0054385. Epub 2013 Jan 16.

Abstract

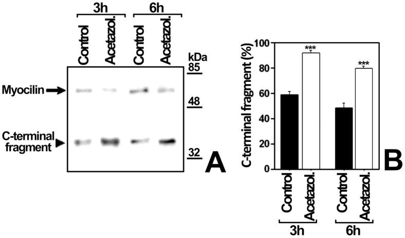
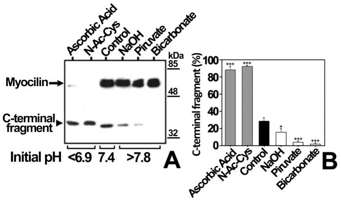
Myocilin is an extracellular glycoprotein of poorly understood function. Mutations of this protein are involved in glaucoma, an optic neuropathy characterized by a progressive and irreversible visual loss and frequently associated with elevated intraocular pressure. We previously showed that recombinant myocilin undergoes an intracellular proteolytic processing by calpain II which cleaves the central region of the protein, releasing one N- and one C-terminal fragment. Myocilin cleavage is reduced by glaucoma mutations and it has been proposed to participate in intraocular pressure modulation. To identify possible factors regulating the proteolytic processing of recombinant myocilin, we used a cellular model in which we analyzed how different culture medium parameters (i.e., culture time, cell density, pH, bicarbonate concentration, etc.) affect the presence of the extracellular C-terminal fragment. Extracellular bicarbonate depletion associated with culture medium acidification produced a reversible intracellular accumulation of full-length recombinant myocilin and incremented its intracellular proteolytic processing, raising the extracellular C-terminal fragment percentage. It was also determined that myocilin intracellular accumulation depends on its N-terminal region. These data suggest that aqueous humor bicarbonate variations could also modulate the secretion and cleavage of myocilin present in ocular tissues.

摘要

肌球蛋白是一种功能尚不清楚的细胞外糖蛋白。该蛋白的突变与青光眼有关,青光眼是一种视神经病变,其特征是进行性和不可逆转的视力丧失,常伴有眼内压升高。我们之前的研究表明,重组肌球蛋白可被钙蛋白酶 II 进行细胞内蛋白水解处理,从而切割蛋白的中心区域,释放一个 N 端和一个 C 端片段。青光眼突变会减少肌球蛋白的切割,并提出其可能参与眼压调节。为了鉴定可能调节重组肌球蛋白蛋白水解处理的因素,我们使用细胞模型来分析不同的培养条件参数(如培养时间、细胞密度、pH 值、碳酸氢盐浓度等)如何影响细胞外 C 端片段的存在。细胞外碳酸氢盐的耗竭与培养基酸化相关,导致全长重组肌球蛋白在细胞内的可逆积累,并增加其细胞内蛋白水解处理,使细胞外 C 端片段的百分比增加。还确定了肌球蛋白的细胞内积累依赖于其 N 端区域。这些数据表明,房水碳酸氢盐的变化也可能调节眼组织中存在的肌球蛋白的分泌和切割。

https://cdn.ncbi.nlm.nih.gov/pmc/blobs/2335/3547000/66ea7f316091/pone.0054385.g001.jpg

文献AI研究员

20分钟写一篇综述,助力文献阅读效率提升50倍。

立即体验

用中文搜PubMed

大模型驱动的PubMed中文搜索引擎

马上搜索

文档翻译

学术文献翻译模型,支持多种主流文档格式。

立即体验