Suppr超能文献

脑血管疾病患者气管切开术后气管无名动脉瘘的成功治疗。

Successful treatment of tracheoinnominate artery fistula following tracheostomy in a patient with cerebrovascular disease.

作者信息

Seung Won Bae, Lee Hae Young, Park Yong Seok

机构信息

Department of Neurosurgery, Gospel Hospital, Kosin University College of Medicine, Busan, Korea.

出版信息

J Korean Neurosurg Soc. 2012 Dec;52(6):547-50. doi: 10.3340/jkns.2012.52.6.547. Epub 2012 Dec 31.

Abstract

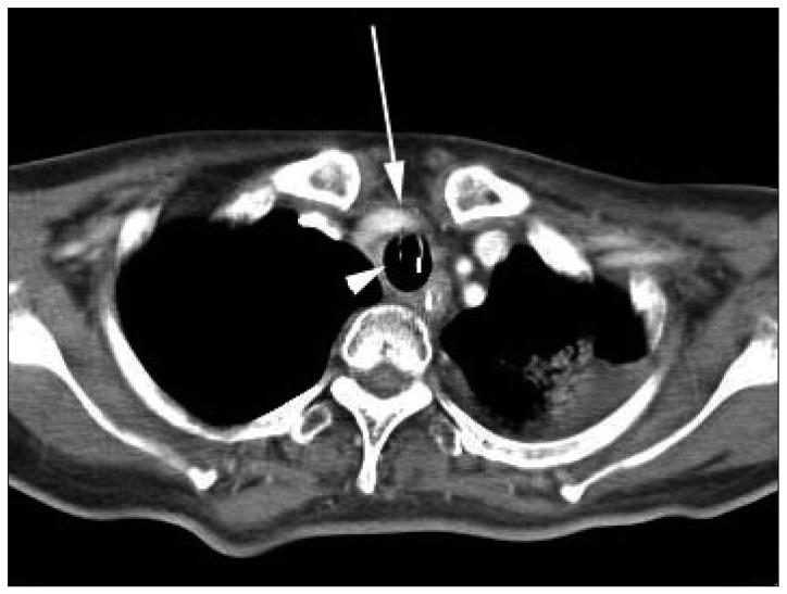
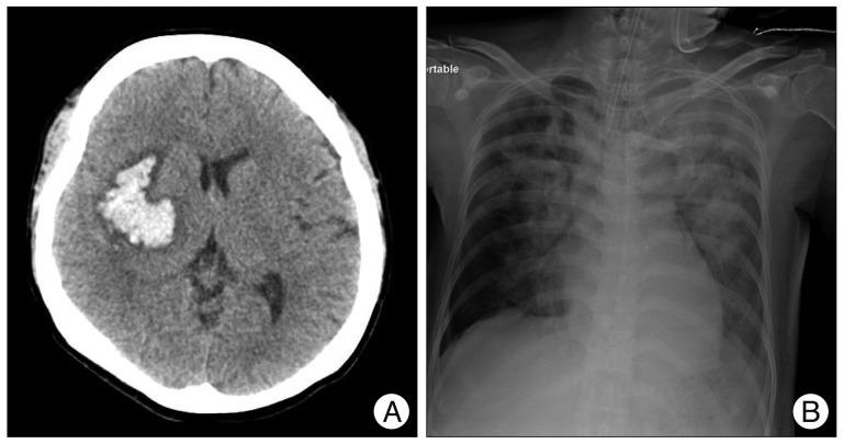
Tracheoinnominate artery fistula is a critical complication of tracheostomy. The most important factors influencing patient outcome are prompt diagnosis, immediate control of bleeding with a patent airway, and emergency operation with or without interruption of the innominate artery. Here, we report a case of tracheoinnominate artery fistula in a 40-year-old woman with cerebrovascular accident who was successfully managed with an aorta-axillary artery bypass.

摘要

气管无名动脉瘘是气管切开术的一种严重并发症。影响患者预后的最重要因素是及时诊断、在气道通畅的情况下立即控制出血以及对无名动脉进行或不进行阻断的急诊手术。在此,我们报告一例40岁脑血管意外女性患者发生气管无名动脉瘘的病例,该患者通过主动脉-腋动脉旁路移植术成功得到治疗。

https://cdn.ncbi.nlm.nih.gov/pmc/blobs/1456/3550423/0196909d18f2/jkns-52-547-g001.jpg

文献AI研究员

20分钟写一篇综述,助力文献阅读效率提升50倍。

立即体验

用中文搜PubMed

大模型驱动的PubMed中文搜索引擎

马上搜索

文档翻译

学术文献翻译模型,支持多种主流文档格式。

立即体验