Suppr超能文献

内镜辅助经蝶窦入路治疗斯特恩伯格管病变

Endoscope-Assisted Trans-Sphenoidal Approach for Treatment of Sternberg's Canal.

作者信息

Maselli Giuliano, Ricci Alessandro, Galzio Renato J

机构信息

Health Sciences Department and Operative Unit of Neurosurgery, University of L'Aquila, San Salvatore Hospital, L'Aquila, Italy.

出版信息

J Korean Neurosurg Soc. 2012 Dec;52(6):555-7. doi: 10.3340/jkns.2012.52.6.555. Epub 2012 Dec 31.

Abstract

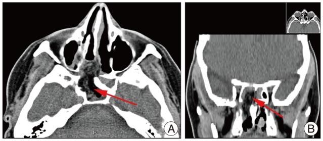
We report an uncommon case of a 45-year-old woman who presented with spontaneous rhinorrhea. A computed tomography (CT) scan of the head revealed an abnormally large sphenoid sinus associated with a parasellar bony defect (Sternberg's canal) through which magnetic resonance imaging could detect an encephalocele of the right temporal lobe. An endoscope-assisted trans-sphenoidal approach was performed and, with the aid of image guided surgery, reduction of the encephalocele was obtained and followed by surgical repair of the dural and bony defects. The postoperative course was uneventful and the cerebrospinal fluid fistula was closed as confirmed by the postoperative CT scan and by the absence of rhinorrhea. After three years of monitoring the patient remained asymptomatic.

摘要

我们报告了一例罕见病例,一名45岁女性出现自发性鼻漏。头部计算机断层扫描(CT)显示蝶窦异常增大,并伴有鞍旁骨质缺损(施特恩贝格管),通过该缺损磁共振成像可检测到右侧颞叶脑膨出。采用内镜辅助经蝶窦入路,并在图像引导手术的辅助下,成功将脑膨出复位,随后对硬脑膜和骨质缺损进行了手术修复。术后过程顺利,术后CT扫描及无鼻漏证实脑脊液瘘已闭合。经过三年的随访,患者仍无症状。

https://cdn.ncbi.nlm.nih.gov/pmc/blobs/161f/3550425/40eb7150831f/jkns-52-555-g001.jpg

文献AI研究员

20分钟写一篇综述,助力文献阅读效率提升50倍。

立即体验

用中文搜PubMed

大模型驱动的PubMed中文搜索引擎

马上搜索

文档翻译

学术文献翻译模型,支持多种主流文档格式。

立即体验