Suppr超能文献

软骨细胞中 TNFα 转化酶的条件性失活导致生长板延长和长骨变短。

Conditional inactivation of TNFα-converting enzyme in chondrocytes results in an elongated growth plate and shorter long bones.

机构信息

Department of Orthopedic Surgery, School of Medicine, Keio University, Tokyo, Japan.

出版信息

PLoS One. 2013;8(1):e54853. doi: 10.1371/journal.pone.0054853. Epub 2013 Jan 18.

Abstract

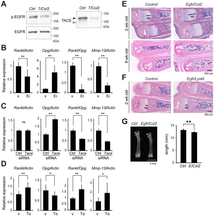
TNFα-converting enzyme (TACE) is a membrane-bound proteolytic enzyme with essential roles in the functional regulation of TNFα and epidermal growth factor receptor (EGFR) ligands. Previous studies have demonstrated critical roles for TACE in vivo, including epidermal development, immune response, and pathological neoangiogenesis, among others. However, the potential contribution of TACE to skeletal development is still unclear. In the present study, we generated a Tace mutant mouse in which Tace is conditionally disrupted in chondrocytes under the control of the Col2a1 promoter. These mutant mice were fertile and viable but all exhibited long bones that were approximately 10% shorter compared to those of wild-type animals. Histological analyses revealed that Tace mutant mice exhibited a longer hypertrophic zone in the growth plate, and there were fewer osteoclasts at the chondro-osseous junction in the Tace mutant mice than in their wild-type littermates. Of note, we found an increase in osteoprotegerin transcripts and a reduction in Rankl and Mmp-13 transcripts in the TACE-deficient cartilage, indicating that dysregulation of these genes is causally related to the skeletal defects in the Tace mutant mice. Furthermore, we also found that phosphorylation of EGFR was significantly reduced in the cartilage tissue lacking TACE, and that suppression of EGFR signaling increases osteoprotegerin transcripts and reduces Rankl and Mmp-13 transcripts in primary chondrocytes. In accordance, chondrocyte-specific abrogation of Egfr in vivo resulted in skeletal defects nearly identical to those observed in the Tace mutant mice. Taken together, these data suggest that TACE-EGFR signaling in chondrocytes is involved in the turnover of the growth plate during postnatal development via the transcriptional regulation of osteoprotegerin, Rankl, and Mmp-13.

摘要

肿瘤坏死因子α 转化酶(TACE)是一种膜结合的蛋白水解酶,在 TNFα 和表皮生长因子受体(EGFR)配体的功能调节中具有重要作用。先前的研究表明 TACE 在体内具有重要作用,包括表皮发育、免疫反应和病理性新血管生成等。然而,TACE 对骨骼发育的潜在贡献尚不清楚。在本研究中,我们生成了一种 Tace 条件性敲除软骨细胞的突变小鼠,该突变小鼠在 Col2a1 启动子的控制下。这些突变小鼠具有生育能力和活力,但所有的长骨都比野生型动物短约 10%。组织学分析显示,Tace 突变小鼠的生长板中肥大区更长,软骨-骨交界处的破骨细胞数量也少于其野生型同窝仔鼠。值得注意的是,我们发现 TACE 缺失的软骨中骨保护素转录本增加,而 Rankl 和 Mmp-13 转录本减少,表明这些基因的失调与 Tace 突变小鼠的骨骼缺陷有因果关系。此外,我们还发现 TACE 缺失的软骨组织中 EGFR 的磷酸化明显减少,而抑制 EGFR 信号通路会增加骨保护素转录本,减少 Rankl 和 Mmp-13 转录本在原代软骨细胞中的表达。相应地,体内特异性敲除软骨细胞中的 Egfr 会导致骨骼缺陷,几乎与 Tace 突变小鼠观察到的相同。综上所述,这些数据表明,软骨细胞中的 TACE-EGFR 信号通路通过对骨保护素、Rankl 和 Mmp-13 的转录调控,参与了出生后发育过程中生长板的更替。

https://cdn.ncbi.nlm.nih.gov/pmc/blobs/d26d/3548805/1ede74487dd4/pone.0054853.g001.jpg

文献AI研究员

20分钟写一篇综述,助力文献阅读效率提升50倍。

立即体验

用中文搜PubMed

大模型驱动的PubMed中文搜索引擎

马上搜索

文档翻译

学术文献翻译模型,支持多种主流文档格式。

立即体验