Ferreira Florbela, Martins João Martin, do Vale Sónia, Esteves Rui, Nunes Garção, Carmo Isabel do
Endocrine and Metabolic Department, Santa Maria Hospital and Lisbon Medical School, Lisbon, Portugal.
J Med Case Rep. 2013 Feb 6;7:39. doi: 10.1186/1752-1947-7-39.
We report the case of a patient with classical congenital adrenal hyperplasia due to 21-hydroxylase deficiency who presented with unusual anatomical and biochemical features, namely massively enlarged adrenal glands, adrenogenital rest tissue and an unexpected endocrine profile. The contribution of the adrenocortical cells in the adrenals and testicles was determined by a cosyntropin stimulation test before and after adrenalectomy. To the best of our knowledge this is the first report of such a case in the literature.
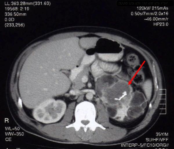
A 35-year-old Caucasian man was admitted to the emergency room with an Addisonian crisis. He had been diagnosed with congenital adrenal hyperplasia in the neonatal period. He acknowledged poor adherence to treatment and irregular medical assistance. Physical examination revealed marked cutaneous and gingival hyperpigmentation, hypotension, and hard nodules in the upper pole of both testicles. Blood analysis showed mild anemia and hyponatremia and no evidence of acute infection. Endocrine evaluation showed very low cortisol levels, low dehydroepiandrosterone-sulfate and elevated corticotropin, 11-deoxycortisol and delta-4-androstenedione. The concentration of 17-hydroxyprogesterone was 20,400ng/dL. After the cosyntropin stimulation test the pattern was similar and there was no significant increase in cortisol or 17-hydroxyprogesterone. The abdominal computed tomography scan revealed grossly enlarged and heterogeneous adrenal glands (left, 12cm; and right, six cm). A bilateral adrenalectomy was performed and pathologic examination revealed adrenal myelolipomas with nodular cortical hyperplasia. The sonogram showed bilateral heterogeneous masses on the upper pole of both testes which corresponded to the nodular hyperplasia of adrenal rest tissues. The genetic study revealed compound heterozigoty (mutations R124H and R356W), suggestive of a phenotypically moderate disease. We performed a cosyntropin stimulation test after adrenalectomy. The steroidogenic profile displayed the same unusual features, indicating an important contribution from the adrenogenital cells.
This case illustrates that congenital adrenal hyperplasia due to 21-hydroxylase deficiency can progress to severe acute and chronic complications. The masses in the patient's adrenal glands and testicles resulted from chronically elevated adrenocorticotropic hormone and growth of adrenocortical cells. The basal and stimulated steroid profile, before and after adrenalectomy, revealed an unexpected pattern, suggesting significant contribution of the testicular adrenal cells to the steroidogenesis.
我们报告了一例因21-羟化酶缺乏导致经典型先天性肾上腺皮质增生症的患者,其呈现出不寻常的解剖学和生化特征,即肾上腺显著增大、肾上腺生殖嵴残余组织以及意外的内分泌谱。通过肾上腺切除术前和术后的促肾上腺皮质激素刺激试验,确定了肾上腺和睾丸中肾上腺皮质细胞的作用。据我们所知,这是文献中首例此类病例的报告。
一名35岁的白人男性因艾迪生病危象入住急诊室。他在新生儿期被诊断为先天性肾上腺皮质增生症。他承认治疗依从性差且医疗救助不规律。体格检查发现明显的皮肤和牙龈色素沉着、低血压以及双侧睾丸上极有硬结节。血液分析显示轻度贫血和低钠血症,无急性感染迹象。内分泌评估显示皮质醇水平极低、硫酸脱氢表雄酮水平低以及促肾上腺皮质激素、11-脱氧皮质醇和δ-4-雄烯二酮水平升高。17-羟孕酮浓度为20,400ng/dL。促肾上腺皮质激素刺激试验后模式相似,皮质醇或17-羟孕酮无显著升高。腹部计算机断层扫描显示肾上腺明显增大且不均匀(左侧12cm;右侧6cm)。进行了双侧肾上腺切除术,病理检查显示肾上腺髓质脂肪瘤伴结节性皮质增生。超声检查显示双侧睾丸上极有不均匀肿块,对应于肾上腺残余组织的结节性增生。基因研究显示复合杂合子(R124H和R356W突变),提示为表型中度疾病。肾上腺切除术后我们进行了促肾上腺皮质激素刺激试验。类固醇生成谱显示出相同的异常特征,表明肾上腺生殖细胞有重要作用。
该病例表明,因21-羟化酶缺乏导致的先天性肾上腺皮质增生症可进展为严重的急性和慢性并发症。患者肾上腺和睾丸中的肿块是由于促肾上腺皮质激素长期升高和肾上腺皮质细胞生长所致。肾上腺切除术前和术后的基础及刺激后的类固醇谱显示出意外模式,提示睾丸肾上腺细胞对类固醇生成有显著贡献。