Department of Neurosurgery, The First Affiliated Hospital of Soochow University, 188 Shizi Street, Suzhou, Jiangsu Province, China.
World J Surg Oncol. 2013 Feb 21;11:41. doi: 10.1186/1477-7819-11-41.
Pituitary adenoma, craniopharyngioma and meningioma are common sellar lesions, accounting for more than 90% of sellar tumors. The aim of this study is to assess the reliability and safety of the lateral supraorbital (LSO) approach to remove sellar tumors.
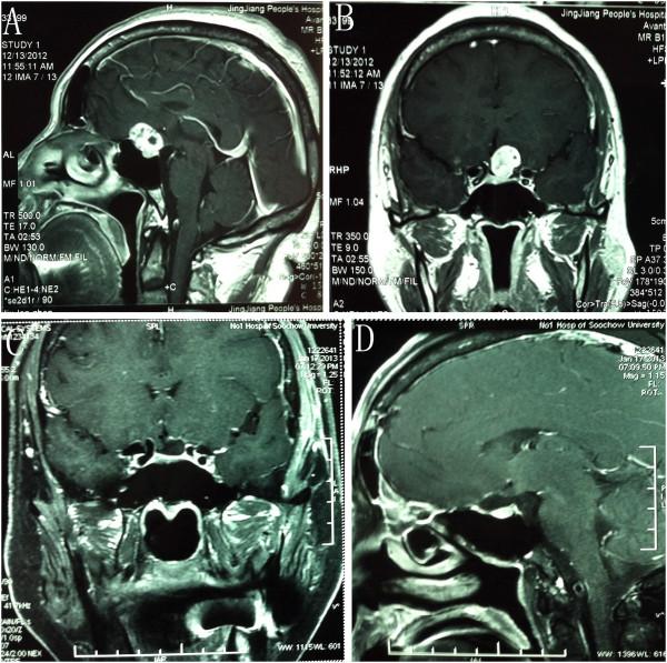
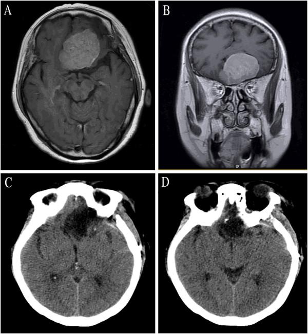
Between June 2011 and December 2011, 23 patients with neoplastic lesions underwent surgery by the corresponding author (ZW) via the LSO approach. The clinical presentations, neuroradiological findings, microsurgical techniques, and outcome at discharge of these patients were analyzed. In addition, the clinical series in the available literature written in English were also extensively reviewed. Eleven (48%) patients were treated for pituitary adenoma; six (26%) patients for tuberculum sellae meningioma; and six (26%) patients for craniopharyngioma.
Seemingly complete tumor removal was achieved in 21 patients (91%); surgical mortality was one patient (4.3%). Postoperatively, no patient had developed cerebrospinal fluid leakage or new visual deficits. One (4%) patient had intracranial infection, and one (4%) had a postoperative hematoma. The median Karnofsky score at discharge was 87.4 (range, 0 to 100). The Glasgow outcome scale at discharge was 4.6 (range, 1 to 5). Of all, 21 (91.3%) patients achieved favorable outcomes.
Sellar tumors can be removed via the LSO approach with relatively low morbidity and mortality. Surgical results with this fast and simple approach are similar to those obtained with more extensive, complex, and time-consuming approaches.
垂体腺瘤、颅咽管瘤和脑膜瘤是常见的鞍区病变,占鞍区肿瘤的 90%以上。本研究旨在评估外侧眶上(LSO)入路切除鞍区肿瘤的可靠性和安全性。
2011 年 6 月至 2011 年 12 月,作者(ZW)通过 LSO 入路对 23 例肿瘤病变患者进行了手术。分析了这些患者的临床表现、神经影像学发现、显微外科技术和出院时的结果。此外,还广泛回顾了英文文献中可用的临床系列。11 例(48%)患者接受垂体腺瘤治疗;6 例(26%)患者接受鞍结节脑膜瘤治疗;6 例(26%)患者接受颅咽管瘤治疗。
21 例(91%)患者似乎完全切除肿瘤;手术死亡率为 1 例(4.3%)。术后无患者发生脑脊液漏或新的视力障碍。1 例(4%)患者发生颅内感染,1 例(4%)患者发生术后血肿。出院时的中位 Karnofsky 评分为 87.4(范围 0 至 100)。出院时格拉斯哥预后评分(GOS)为 4.6(范围 1 至 5)。所有患者中,21 例(91.3%)患者获得良好结局。
通过 LSO 入路切除鞍区肿瘤,发病率和死亡率相对较低。与更广泛、复杂和耗时的入路相比,这种快速、简单的入路的手术结果相似。