Suppr超能文献

登革病毒肌炎合并横纹肌溶解及耐甲氧西林金黄色葡萄球菌二重感染

Dengue Viral Myositis Complicated with Rhabdomyolysis and Superinfection of Methicillin-Resistant Staphylococcus aureus.

作者信息

Sunderalingam Vinothan, Kanapathipillai Thirumavalavan, Edirisinghe P A S, Dassanayake K M M P, Premawansa I H G S

机构信息

Postgraduate Institute of Medicine, University of Colombo, Sri Lanka.

出版信息

Case Rep Infect Dis. 2013;2013:194205. doi: 10.1155/2013/194205. Epub 2013 Feb 17.

Abstract

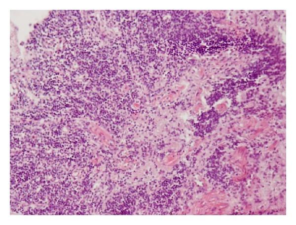
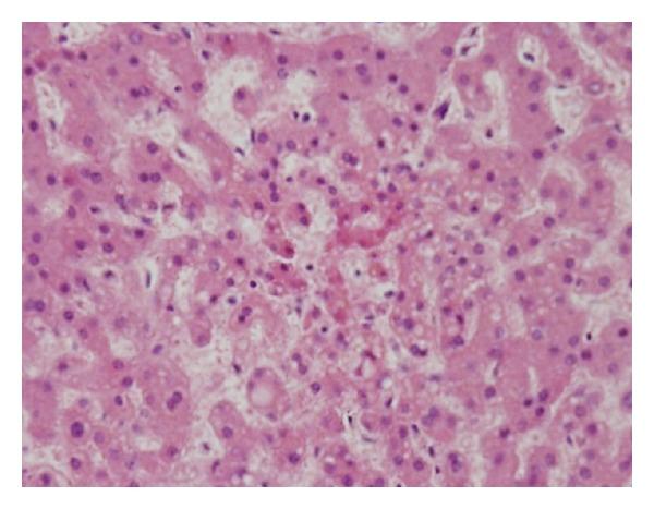
Dengue is endemic in Sri Lanka and the physician should be aware of different and unusual presentation of the illness. Rhabdomyolysis is a well-known complication following many viral and bacterial infections; however, only a few cases have been reported with dengue viral infections. Further occurrence of coinfection by dengue and bacteria such as methicillin-resistant Staphylococcus aureus (MRSA) has been underestimated, and few reports have been published so far. This case describes a 17-year-old boy who presented with prolonged severe myalgia, dark red urine, and a febrile illness that was diagnosed as having dengue viral myositis, dark red urine, and a febrile illness that was diagnosed as having dengue viral myositis complicated with rhabdomyolysis and superinfection of MRSA. Despite intensive care management, he died due to multiorgan failure. Autopsy and serological studies confirmed the diagnosis. This case stresses that red-coloured urine in dengue patients is not always due to haematuria, and if a patient's vital signs do not respond to appropriate fluid management in DHF, sepsis from a secondary pathogen including MRSA should be suspected.

摘要

登革热在斯里兰卡呈地方性流行,医生应了解该疾病不同寻常的临床表现。横纹肌溶解是许多病毒和细菌感染后一种广为人知的并发症;然而,登革病毒感染引发横纹肌溶解的病例仅有少数报道。登革热与耐甲氧西林金黄色葡萄球菌(MRSA)等细菌合并感染的情况一直未得到充分重视,目前相关报道较少。本病例描述了一名17岁男孩,他出现了持续的严重肌痛、暗红色尿液及发热性疾病,被诊断为登革病毒肌炎、并发横纹肌溶解及MRSA二重感染。尽管接受了重症监护治疗,他仍因多器官衰竭死亡。尸检和血清学研究证实了诊断。该病例强调,登革热患者尿液呈红色并不总是由于血尿,如果登革出血热患者的生命体征对适当的液体管理无反应,应怀疑继发病原体(包括MRSA)引起的败血症。

https://cdn.ncbi.nlm.nih.gov/pmc/blobs/ac71/3588203/a711cf5fb60d/CRIM.ID2013-194205.001.jpg

文献AI研究员

20分钟写一篇综述,助力文献阅读效率提升50倍。

立即体验

用中文搜PubMed

大模型驱动的PubMed中文搜索引擎

马上搜索

文档翻译

学术文献翻译模型,支持多种主流文档格式。

立即体验