Suppr超能文献

腹膜鼠在(18)F-FDG PET-CT 上的表现。

Peritoneal Mouse as Detected on (18)F-FDG PET-CT.

机构信息

Department of Radiology, Saint Louis University Saint Louis, MO, USA.

出版信息

Front Oncol. 2013 Apr 10;3:83. doi: 10.3389/fonc.2013.00083. eCollection 2013.

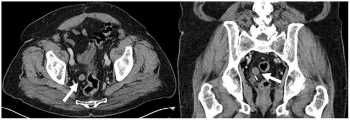
Abstract

We present the case of a 77-year-old male with a history of prostate cancer. Follow up PET-CT and contrast-enhanced CT demonstrated a small peritoneal loose body or "mouse" in the pelvis. This is an uncommon, benign, asymptomatic finding which is usually incidentally discovered. The significance of being aware of this entity is to distinguish it from metastasis, especially in patients with known abdominal and pelvic malignancies.

摘要

我们报告了一例 77 岁男性前列腺癌病史。随访 PET-CT 和增强 CT 显示骨盆内有一个小的腹膜游离体或“鼠标”。这是一种不常见的良性、无症状的发现,通常是偶然发现的。认识到这种实体的意义在于将其与转移区分开来,特别是在已知有腹部和盆腔恶性肿瘤的患者中。

https://cdn.ncbi.nlm.nih.gov/pmc/blobs/286f/3622073/ffa469e9a90f/fonc-03-00083-g001.jpg

文献AI研究员

20分钟写一篇综述,助力文献阅读效率提升50倍。

立即体验

用中文搜PubMed

大模型驱动的PubMed中文搜索引擎

马上搜索

文档翻译

学术文献翻译模型,支持多种主流文档格式。

立即体验