Suppr超能文献

神经致病性大肠杆菌K1不表现出蛋白水解活性来发挥其致病性。

Neuropathogenic Escherichia coli K1 does not exhibit proteolytic activities to exert its pathogenicity.

作者信息

Iqbal Junaid, Rajani Mehak, Siddiqui Ruqaiyyah, Khan Naveed Ahmed

机构信息

Department of Biological and Biomedical Sciences, Aga Khan University, Karachi, Pakistan.

出版信息

J Negat Results Biomed. 2013 May 1;12:8. doi: 10.1186/1477-5751-12-8.

Abstract

BACKGROUND

Proteases are well-known virulence factors that promote survival, pathogenesis and immune evasion of many pathogens. Several lines of evidence suggest that the blood-brain barrier permeability is a prerequisite in microbial invasion of the central nervous system. Because proteases are frequently associated with vascular permeability by targeting junctional proteins, here it is hypothesized that neuropathogenic Escherichia coli K1 exhibit proteolytic activities to exert its pathogenicity.

METHODS

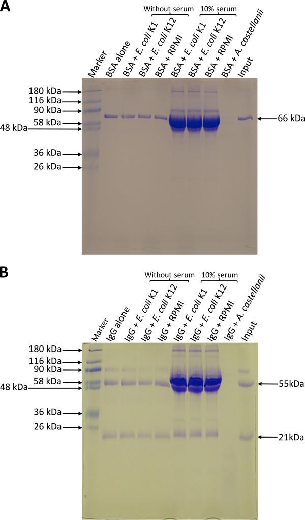
Zymographic assays were performed using collagen and gelatin as substrates. The lysates of whole E. coli K1 strain E44, or E. coli K-12 strain HB101 were tested for proteolytic activities. The conditioned media were prepared by incubating bacteria in RPMI-1640 in the presence or absence of serum. The cell-free supernatants were collected and tested for proteases in zymography as mentioned above. Additionally, proteolytic degradation of host immune factors was determined by co-incubating conditioned media with albumin/immunoglobulins using protease assays.

RESULTS

When collagen or gelatin were used as substrates in zymographic assays, neither whole bacteria nor conditioned media exhibited proteolytic activities. The conditioned media of neuropathogenic E. coli K1 strain E44, or E. coli K-12 strain HB101 did not affect degradation of albumin and immunoglobulins using protease assays.

CONCLUSIONS

Neither zymographic assays nor protease assays detected proteolytic activities in either the whole bacteria or conditioned media of E. coli K1 strain E44 and E. coli K-12 strain HB101. These findings suggest that host cell monolayer disruptions and immune evasion strategies are likely independent of proteolytic activities of neuropathogenic E. coli K1.

摘要

背景

蛋白酶是众所周知的毒力因子,可促进多种病原体的存活、发病机制和免疫逃逸。多项证据表明,血脑屏障通透性是微生物侵入中枢神经系统的先决条件。由于蛋白酶常通过靶向连接蛋白与血管通透性相关,因此推测神经致病性大肠杆菌K1具有蛋白水解活性以发挥其致病性。

方法

使用胶原蛋白和明胶作为底物进行酶谱分析。对整个大肠杆菌K1菌株E44或大肠杆菌K-12菌株HB101的裂解物进行蛋白水解活性测试。通过在有或无血清的情况下将细菌在RPMI-1640中孵育来制备条件培养基。收集无细胞上清液,并如上所述在酶谱分析中检测蛋白酶。此外,通过使用蛋白酶测定法将条件培养基与白蛋白/免疫球蛋白共同孵育来确定宿主免疫因子的蛋白水解降解。

结果

当在酶谱分析中使用胶原蛋白或明胶作为底物时,整个细菌和条件培养基均未表现出蛋白水解活性。使用蛋白酶测定法,神经致病性大肠杆菌K1菌株E44或大肠杆菌K-12菌株HB101的条件培养基不影响白蛋白和免疫球蛋白的降解。

结论

酶谱分析和蛋白酶测定均未检测到大肠杆菌K1菌株E44和大肠杆菌K-12菌株HB101的整个细菌或条件培养基中的蛋白水解活性。这些发现表明,宿主细胞单层破坏和免疫逃逸策略可能与神经致病性大肠杆菌K1的蛋白水解活性无关。

https://cdn.ncbi.nlm.nih.gov/pmc/blobs/76b2/3654900/181d98746e8a/1477-5751-12-8-1.jpg

文献检索

告别复杂PubMed语法,用中文像聊天一样搜索,搜遍4000万医学文献。AI智能推荐,让科研检索更轻松。

立即免费搜索

文件翻译

保留排版,准确专业,支持PDF/Word/PPT等文件格式,支持 12+语言互译。

免费翻译文档

深度研究

AI帮你快速写综述,25分钟生成高质量综述,智能提取关键信息,辅助科研写作。

立即免费体验