Suppr超能文献

体外 sCD40L 刺激树突状细胞对卵巢癌细胞的抗肿瘤作用及其机制。

Antitumor effects and mechanisms of dendritic cells stimulated by sCD40L on ovarian cancer cells in vitro.

机构信息

Department of Gynecology and Obstetrics, Fourth Hospital of Hebei Medical University, Shijiazhuang, People's Republic of China.

出版信息

Onco Targets Ther. 2013 May 6;6:503-15. doi: 10.2147/OTT.S40504. Print 2013.

Abstract

OBJECTIVE

This study aimed to examine the expression of immune suppression factors and the mechanisms of antitumor effects of cord blood dendritic cells (DCs) stimulated by soluble cluster of differentiation 40 ligand (sCD40L) and cytokines in vitro in ovarian cancer patients.

METHODS

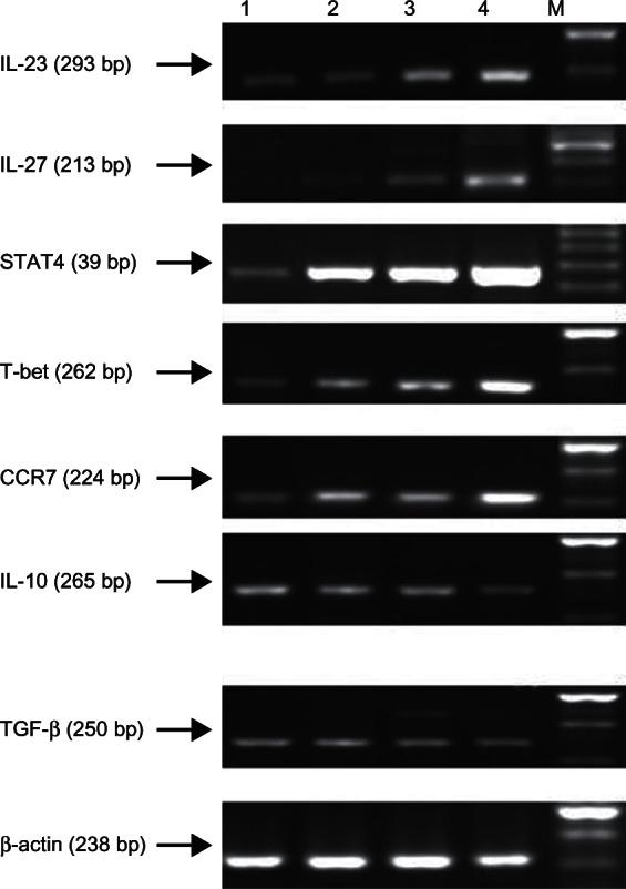
The expression levels of interleukin (IL)-10 and transforming growth factor (TGF)-β messenger RNA in peripheral blood were detected by reverse transcription polymerase chain reaction; expression levels of CD80 and CD86 in DCs stimulated by sCD40L were detected using flow cytometry and confocal laser scanning microscopy.

RESULTS

Expression levels of IL-10 and TGF-β genes in the peripheral blood of ovarian cancer patients were significantly increased compared with patients with benign ovarian tumors (P < 0.05). The expression levels of CD80 and CD86 in DCs cultured in the granulocyte-macrophage colony-stimulating factor + IL-4 + stem cell factor + Flt-3 ligand + sCD40L group were significantly increased compared with those in the control group, as assessed by flow cytometry and confocal laser scanning microscopy (P < 0.05).

CONCLUSION

A variety of cytokines in combination with sCD40L can promote the proliferation of cord blood-derived DCs and induce their maturation as well as stimulating a specific antitumor response.

摘要

目的

本研究旨在探讨体外刺激脐血树突状细胞(DC)表达免疫抑制因子及其可溶性 CD40 配体(sCD40L)和细胞因子抗肿瘤作用的机制在卵巢癌患者中的作用。

方法

采用逆转录聚合酶链反应检测外周血白细胞介素(IL)-10 和转化生长因子(TGF)-β信使 RNA 的表达水平;采用流式细胞术和共聚焦激光扫描显微镜检测 sCD40L 刺激后 DC 中 CD80 和 CD86 的表达。

结果

与良性卵巢肿瘤患者相比,卵巢癌患者外周血中 IL-10 和 TGF-β基因的表达水平显著升高(P<0.05)。与对照组相比,在粒细胞巨噬细胞集落刺激因子+白细胞介素-4+干细胞因子+Flt-3 配体+sCD40L 组培养的 DC 中 CD80 和 CD86 的表达水平显著增加,通过流式细胞术和共聚焦激光扫描显微镜评估(P<0.05)。

结论

多种细胞因子与 sCD40L 联合可促进脐血来源的 DC 增殖,并诱导其成熟和刺激特异性抗肿瘤反应。

https://cdn.ncbi.nlm.nih.gov/pmc/blobs/8970/3649858/2c312855528f/ott-6-503Fig1.jpg

相似文献

1
Antitumor effects and mechanisms of dendritic cells stimulated by sCD40L on ovarian cancer cells in vitro.
Onco Targets Ther. 2013 May 6;6:503-15. doi: 10.2147/OTT.S40504. Print 2013.
2
Costimulatory function of umbilical cord blood CD14+ and CD34+ derived dendritic cells.
Exp Mol Pathol. 2003 Aug;75(1):18-33. doi: 10.1016/s0014-4800(03)00034-0.
3
Function of CD80 and CD86 on monocyte- and stem cell-derived dendritic cells.
Exp Mol Pathol. 2003 Dec;75(3):217-27. doi: 10.1016/s0014-4800(03)00072-8.
5
Regulating the expression of CD80/CD86 on dendritic cells to induce immune tolerance after xeno-islet transplantation.
Immunobiology. 2016 Jul;221(7):803-12. doi: 10.1016/j.imbio.2016.02.002. Epub 2016 Feb 3.

引用本文的文献

1
Immune-checkpoint inhibitors for combating T-cell dysfunction in cancer.
Onco Targets Ther. 2018 Oct 4;11:6505-6524. doi: 10.2147/OTT.S150817. eCollection 2018.

本文引用的文献

1
Imbalance in serum soluble CD30/CD30L and CD40/CD40L systems are associated with ovarian tumors.
Hum Immunol. 2013 Jan;74(1):70-4. doi: 10.1016/j.humimm.2012.10.004. Epub 2012 Oct 13.
2
Immune response is an important aspect of the antitumor effect produced by a CD40L-encoding oncolytic adenovirus.
Cancer Res. 2012 May 1;72(9):2327-38. doi: 10.1158/0008-5472.CAN-11-2975. Epub 2012 Mar 6.
3
Evolution of the Gynecologic Oncology Group protocols in the treatment of epithelial ovarian cancer.
Clin Obstet Gynecol. 2012 Mar;55(1):131-55. doi: 10.1097/GRF.0b013e318248050d.
4
A universal strategy for adoptive immunotherapy of cancer through use of a novel T-cell antigen receptor.
Cancer Res. 2012 Apr 1;72(7):1844-52. doi: 10.1158/0008-5472.CAN-11-3890. Epub 2012 Feb 7.
5
Cytokine analysis as a tool to understand tumour-host interaction in ovarian cancer.
Eur J Cancer. 2011 Aug;47(12):1883-9. doi: 10.1016/j.ejca.2011.03.026. Epub 2011 Apr 20.
9
Sequential polarization and imprinting of type 1 T helper lymphocytes by interferon-gamma and interleukin-12.
Immunity. 2009 May;30(5):673-83. doi: 10.1016/j.immuni.2009.03.013. Epub 2009 Apr 30.

文献AI研究员

20分钟写一篇综述,助力文献阅读效率提升50倍。

立即体验

用中文搜PubMed

大模型驱动的PubMed中文搜索引擎

马上搜索

文档翻译

学术文献翻译模型,支持多种主流文档格式。

立即体验