Suppr超能文献

围产期因素与极低出生体重儿足月时脑区体积异常的队列研究。

Perinatal factors and regional brain volume abnormalities at term in a cohort of extremely low birth weight infants.

机构信息

Department of Pediatrics, University of Texas Medical School at Houston and Children's Memorial Hermann Hospital, Houston, Texas, USA.

出版信息

PLoS One. 2013 May 9;8(5):e62804. doi: 10.1371/journal.pone.0062804. Print 2013.

Abstract

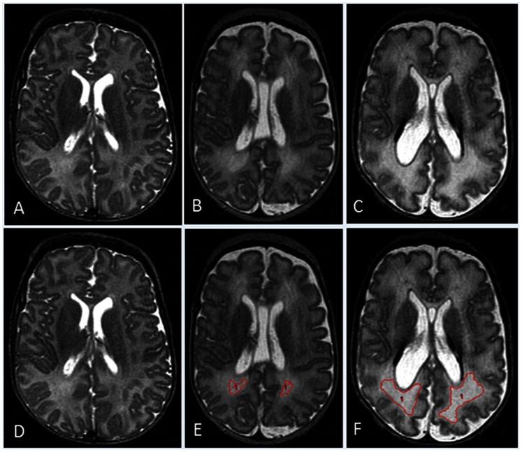
Our objective was to investigate diverse clinical antecedents of total and regional brain volume abnormalities and white matter hyperintensity volume on term MRI in extremely low birth weight (birth weight ≤1000 g) survivors. A consecutive cohort of extremely low birth weight infants who survived to 38 weeks postmenstrual age (n = 122) and a control group of 16 healthy term newborns underwent brain MRI at term-equivalent age. Brain volumes were measured using semi-automated and manual segmentation methods. Using multivariable linear regression, clinical antecedents were correlated with volumes of total brain tissue, white matter hyperintensities, and regional tissues/structures, adjusted for age at MRI, total cranial volume, and total tissue volume. Regional brain volumes were markedly reduced in extremely low birth weight infants as compared to term newborns (relative difference range: -11.0%, -35.9%). Significant adverse clinical associations for total brain tissue volume included: small for gestational age, seizures, caffeine therapy/apnea of prematurity, duration of parenteral nutrition, pulmonary hemorrhage, and white matter injury (p<0.01 for each; relative difference range: -1.4% to -15.0%). Surgery for retinopathy of prematurity and surgery for necrotizing enterocolitis or spontaneous intestinal perforation were significantly associated with increasing volume of white matter hyperintensities. Regional brain volumes are sensitive to multiple perinatal factors and neonatal morbidities or interventions. Brain growth measurements in extremely low birth weight infants can advance our understanding of perinatal brain injury and development.

摘要

我们的目的是研究极低出生体重(出生体重≤1000g)幸存者足月 MRI 上总脑体积和区域性脑体积异常及脑白质高信号体积的不同临床前因。连续纳入了 122 例极低出生体重且能存活至校正胎龄 38 周的婴儿和 16 名健康的足月儿作为对照组,两组均在校正胎龄时行脑部 MRI。使用半自动和手动分割方法测量脑容量。采用多元线性回归,校正 MRI 时的年龄、颅腔总容积和总组织容积后,将临床前因与总脑组织体积、脑白质高信号体积和区域性组织/结构体积相关联。与足月儿相比,极低出生体重儿的区域性脑容量明显减少(相对差异范围:-11.0%至-35.9%)。总脑组织体积的不良临床关联因素包括:小于胎龄儿、癫痫发作、咖啡因治疗/早产儿呼吸暂停、肠外营养时间、肺出血和脑白质损伤(每个因素的 p 值均<0.01;相对差异范围:-1.4%至-15.0%)。早产儿视网膜病变的手术和坏死性小肠结肠炎或自发性肠穿孔的手术与脑白质高信号体积增加显著相关。区域性脑容量对多种围产期因素、新生儿并发症或干预措施敏感。极低出生体重儿的脑生长测量可增进我们对围产期脑损伤和发育的认识。

https://cdn.ncbi.nlm.nih.gov/pmc/blobs/2cc3/3650008/edb3be21cf63/pone.0062804.g001.jpg

文献AI研究员

20分钟写一篇综述,助力文献阅读效率提升50倍。

立即体验

用中文搜PubMed

大模型驱动的PubMed中文搜索引擎

马上搜索

文档翻译

学术文献翻译模型,支持多种主流文档格式。

立即体验