Suppr超能文献

限饲及再饲喂并添加莫能菌素对安哥拉-努比亚山羊胎盘结构和超微结构的影响。

Effect of feed restriction and realimentation with monensin supplementation on placental structure and ultrastructure in anglo-nubian goats.

作者信息

Cristofolini A L, Turiello M P, Sanchis E G, Cufré G, Merkis C I

机构信息

Área de Microscopía Electrónica, Facultad de Agronomía y Veterinaria, Universidad Nacional de Río Cuarto, Ruta Nac, 36-Km, 601, Córdoba, X5804BYA Río Cuarto, Argentina.

出版信息

ISRN Vet Sci. 2012 Sep 10;2012:490530. doi: 10.5402/2012/490530. Print 2012.

Abstract

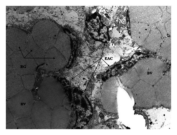
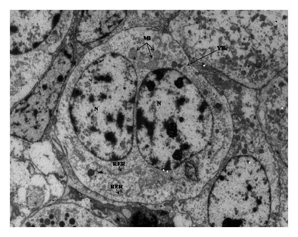
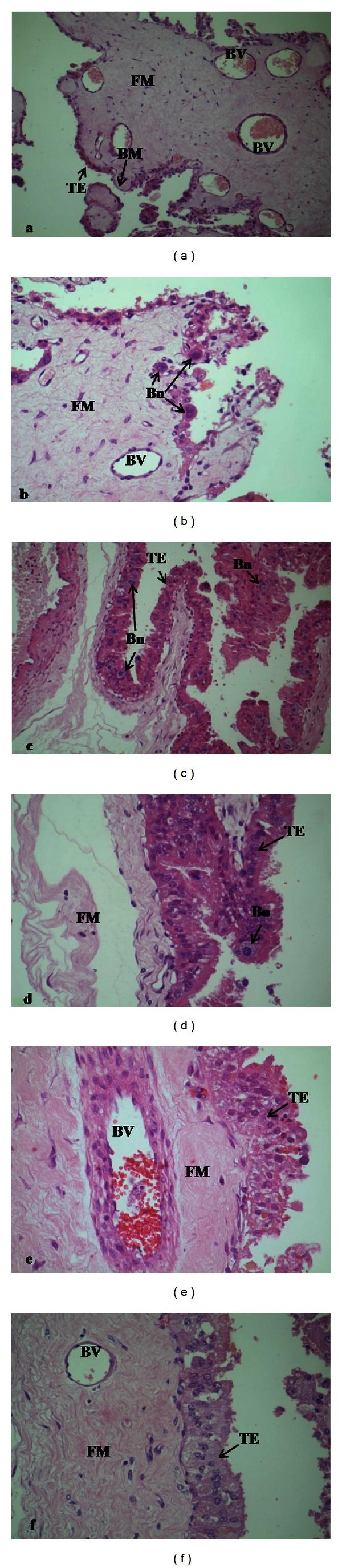
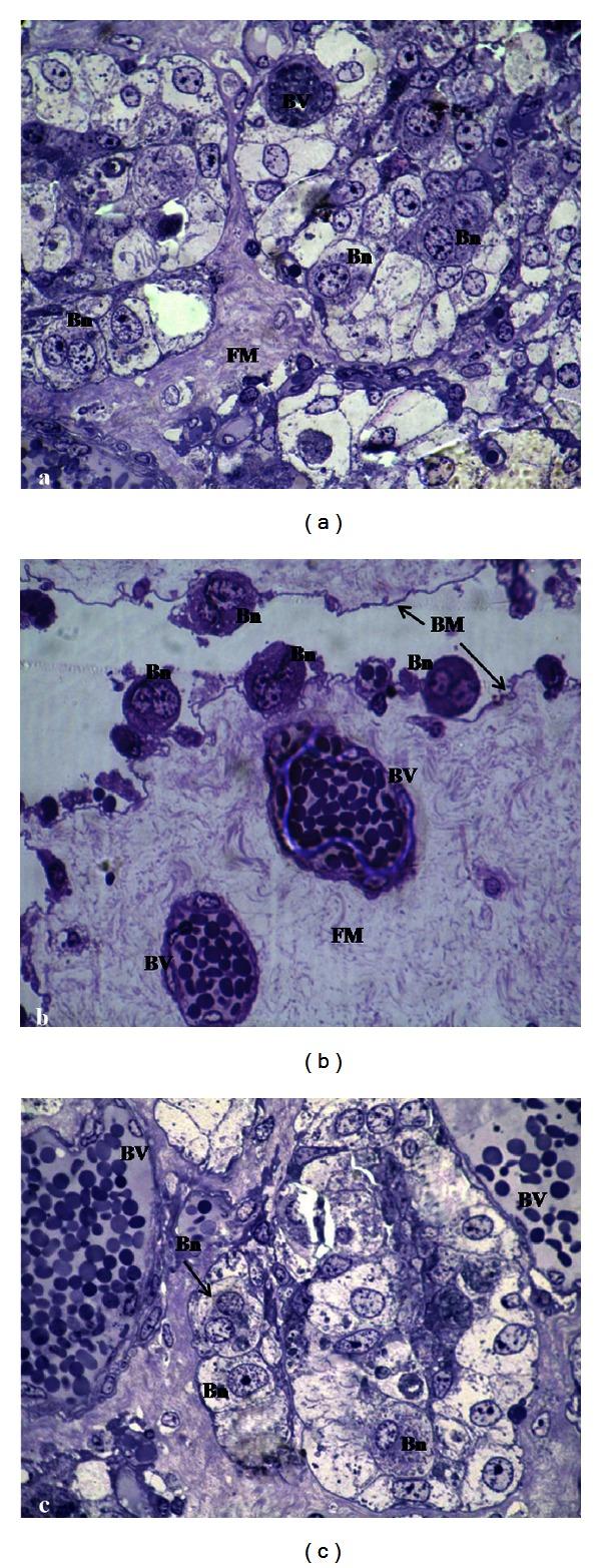
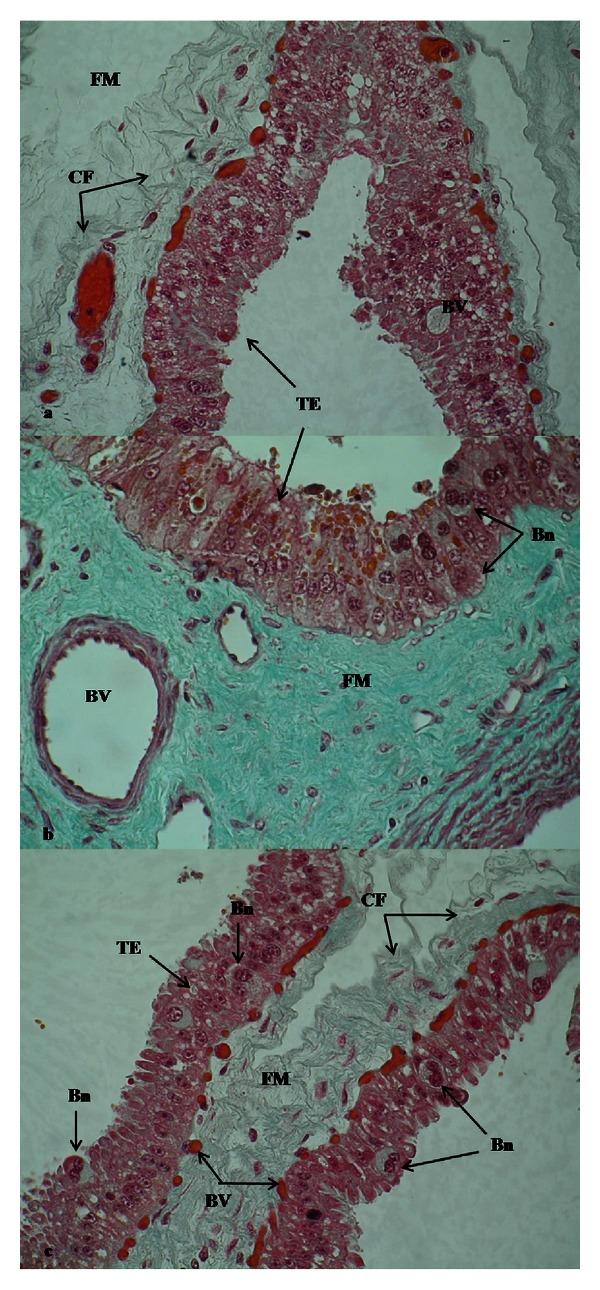
The aim of this study was to evaluate the effect of feed restriction followed by a realimentation with monensin supplementation on morphological, ultrastructural, and apoptotic characteristics in the term placenta of Anglo-Nubian does. Treatments were a control group (C = 5), a group fed at 0.70 of that consumed by controls (R = 7), and the same as R with monensin (M = 7). After parturition, 27 placentas were gathered, C: 7, M: 10, and R: 10. No differences were detected between treatments in relation to morphological and ultrastructural analysis. The greatest values of binucleate cells were detected in placentas from R, and it could be due to the need to compensate and satisfy nutritional differences of restriction. We detected the highest apoptotic index in R as a consequence of nutritional treatment. We describe for the first time the structural and ultrastructural morphology and remodeling by apoptosis of Anglo-Nubian placenta at term of goats subjected to nutritional restriction during peripubertal period and the use of monensin as a growth promoter.

摘要

本研究的目的是评估限饲后补充莫能菌素再饲喂对英努比山羊足月胎盘的形态、超微结构和凋亡特征的影响。处理组包括对照组(C = 5只)、按对照组采食量的0.70饲喂的组(R = 7只),以及与R组相同但添加莫能菌素的组(M = 7只)。分娩后,收集了27个胎盘,C组7个,M组10个,R组10个。在形态和超微结构分析方面,各处理组之间未检测到差异。在R组的胎盘样本中检测到双核细胞的最高值,这可能是由于需要补偿和满足限饲造成的营养差异。由于营养处理,我们在R组中检测到最高的凋亡指数。我们首次描述了在青春期前后受到营养限制的山羊足月时英努比胎盘的结构和超微结构形态以及凋亡重塑情况,以及使用莫能菌素作为生长促进剂的情况。

https://cdn.ncbi.nlm.nih.gov/pmc/blobs/b575/3671730/381faf995899/ISRN.VS2012-490530.001.jpg

文献AI研究员

20分钟写一篇综述,助力文献阅读效率提升50倍。

立即体验

用中文搜PubMed

大模型驱动的PubMed中文搜索引擎

马上搜索

文档翻译

学术文献翻译模型,支持多种主流文档格式。

立即体验