20分钟写一篇综述,助力文献阅读效率提升50倍。
大模型驱动的PubMed中文搜索引擎
学术文献翻译模型,支持多种主流文档格式。
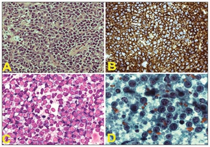
Madkhali Ibrahim, Bakshi Nasir, Akhtar Saad, Maghfoor Irfan
64 Oncology Center, King Faisal Specialist Hospital and Research Centre, Riyadh, Saudi Arabia.
Ann Saudi Med. 2013 May-Jun;33(3):310-1. doi: 10.5144/0256-4947.2013.310.