Ortega Veronica, Mendiola Christina, Williamson Eric, Higby Kenneth, Velagaleti Gopalrao V N
Department of Pathology, University of Texas Health Science Center, San Antonio, TX 78229, USA.
Case Rep Genet. 2013;2013:951710. doi: 10.1155/2013/951710. Epub 2013 Jun 13.
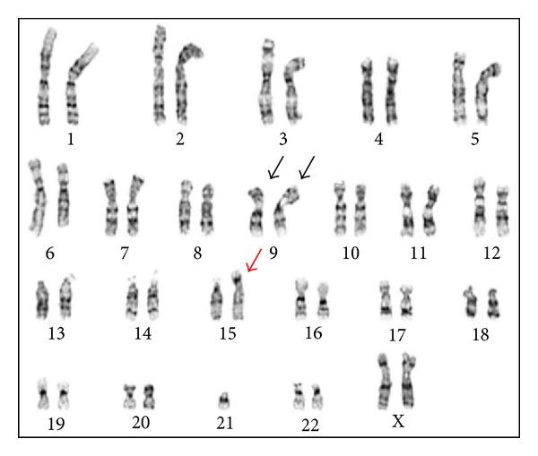
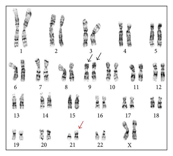
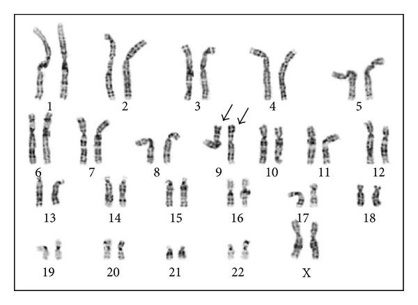
We present a case of fetoplacental discrepancy in a second-trimester fetus with normal karyotype in amniotic fluid and two different Robertsonian translocations in placenta. A 41-year-old woman of Middle-Eastern origin, gravida 2, para 1, underwent amniocentesis at 16-week gestation because of advanced maternal age. Amniotic fluid karyotype showed a normal 46,XX karyotype with a homozygous inv(9). Parental chromosome analysis showed both parents to be carriers of inv(9) and the parents are not consanguineous. Fetal ultrasound was normal. The mother presented to the clinic 4 weeks later with intrauterine fetal demise. Chromosome analysis from the placenta showed two different cell lines: a balanced (15;21) Roberstonian translocation in 11 cells and an unbalanced (21;21) Robertsonian translocation in 9 cells. The karyotype was interpreted as mos 45,XX,inv(9)(p11q13)x2,der(15;21)(q10;q10)[11]/46,XX,inv(9)(p11q13)x2,+21,der(21;21)(q10;q10). Mother was a carrier for the Cystic Fibrosis (delta F508), Factor V Leiden mutations, HbD-Los Angeles and HbQ-India variants. She also had a sibling with term stillbirth. Her husband's history was unremarkable. Our case appears to be another example of confined placental mosaicism (CPM) with normal fetal karyotype. However, we could not confirm the possibility that CPM contributed to the IUFD in our case given the complex medical history of the mother.
我们报告一例孕中期胎儿的胎盘胎儿核型不一致的病例,羊水核型正常,但胎盘存在两种不同的罗伯逊易位。一名41岁中东裔女性,孕2产1,因母亲年龄偏大,在妊娠16周时接受了羊膜腔穿刺术。羊水核型显示为正常的46,XX核型,伴有纯合性9号染色体倒位。父母染色体分析显示父母均为9号染色体倒位携带者,且父母非近亲结婚。胎儿超声检查正常。4周后母亲因宫内胎儿死亡就诊。胎盘染色体分析显示有两种不同的细胞系:11个细胞中存在平衡的(15;21)罗伯逊易位,9个细胞中存在不平衡的(21;21)罗伯逊易位。核型解释为嵌合体45,XX,inv(9)(p11q13)x2,der(15;21)(q10;q10)[11]/46,XX,inv(9)(p11q13)x2,+21,der(21;21)(q10;q10)。母亲是囊性纤维化(ΔF508)、凝血因子V莱顿突变、血红蛋白D - 洛杉矶和血红蛋白Q - 印度变异体的携带者。她还有一个足月死产的兄弟姐妹。她丈夫的病史无异常。我们的病例似乎是胎儿核型正常的局限性胎盘嵌合体(CPM)的又一个例子。然而,鉴于母亲复杂的病史,我们无法证实CPM导致我们病例中宫内胎儿死亡的可能性。