Suppr超能文献

空腹与餐后甘油三酯和已有空洞性腔隙:柏林“奶油和糖”子研究。

Fasting versus post-challenge triglycerides and pre-existing cavitating lacunes: a berlin "cream & sugar" substudy.

机构信息

Center for Stroke Research Berlin (CSB), Charité - Universitätsmedizin , Berlin , Germany.

出版信息

Front Neurol. 2013 Jul 10;4:92. doi: 10.3389/fneur.2013.00092. eCollection 2013.

Abstract

BACKGROUND AND PURPOSE

Although the presence of cavitating lacunes on brain imaging may have prognostic implications, the modifiable risk factors underlying these frequently observed lesions are not completely understood. We sought to determine if fasting and post-challenge triglycerides associate with cavitating lacunes.

METHODS

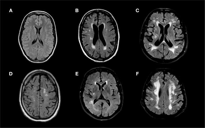
All first ischemic stroke patients who completed a novel combined oral triglyceride and glucose tolerance test and MRI between January 2009 and June 2012 were included. Fluid-attenuated inversion recovery or T2 MRI sequences were used to visualize cavitating lacunes and white matter hyperintensities, which were graded using the Wahlund visual scale.

RESULTS

One hundred and ninety patients were included (median age 66, IQR 52-73; 33% female; median National Institute of Health Stroke Scale 2, IQR 1-4). A forward stepwise binary logistical regression analysis applying the Hosmer-Lemeshow goodness of fit test adjusted for parameters significant in univariate analyses (at the p < 0.10 level) revealed that Wahlund scores (Wahlund 0-4: reference; Wahlund 5-10: adjusted odds ratio, 5.1; 95% confidence interval, 1.3-20.0, p = 0.019; Wahlund>10: adjusted odds ratio 9.6; 95% CI, 1.55-59.35; p = 0.015) and the highest quartile of post-challenge triglycerides (>295 mg/dL; adjusted odds ratio, 7.36; 95% confidence interval 1.24-43.70; p = 0.028) independently associated with the presence of cavitating lacunes.

CONCLUSION

Post-challenge serum triglycerides are independently associated with the presence of cavitating lacunes.

摘要

背景与目的

尽管脑影像学上存在囊性腔隙可能具有预后意义,但这些常见病变背后的可调节危险因素尚不完全清楚。我们旨在确定空腹和餐后甘油三酯是否与囊性腔隙有关。

方法

所有于 2009 年 1 月至 2012 年 6 月期间完成新型口服甘油三酯和葡萄糖耐量试验及 MRI 的首发缺血性卒中患者均被纳入研究。采用液体衰减反转恢复或 T2 MRI 序列来可视化囊性腔隙和脑白质高信号,采用 Wahlund 视觉量表对其进行分级。

结果

共纳入 190 例患者(中位数年龄 66 岁,IQR 52-73 岁;33%为女性;中位数国立卫生研究院卒中量表评分为 2 分,IQR 1-4 分)。采用向前逐步二项逻辑回归分析,对单变量分析中具有统计学意义的参数(p<0.10 水平)进行调整,应用 Hosmer-Lemeshow 拟合优度检验,结果显示 Wahlund 评分(Wahlund 0-4:参考;Wahlund 5-10:调整后的优势比为 5.1,95%置信区间为 1.3-20.0,p=0.019;Wahlund>10:调整后的优势比为 9.6,95%置信区间为 1.55-59.35,p=0.015)和餐后甘油三酯最高四分位数(>295mg/dL;调整后的优势比为 7.36,95%置信区间为 1.24-43.70,p=0.028)与囊性腔隙的存在独立相关。

结论

餐后血清甘油三酯与囊性腔隙的存在独立相关。

https://cdn.ncbi.nlm.nih.gov/pmc/blobs/b339/3706746/75ee1887fbe8/fneur-04-00092-g001.jpg

文献AI研究员

20分钟写一篇综述,助力文献阅读效率提升50倍。

立即体验

用中文搜PubMed

大模型驱动的PubMed中文搜索引擎

马上搜索

文档翻译

学术文献翻译模型,支持多种主流文档格式。

立即体验