Suppr超能文献

妊娠期动脉瘤性蛛网膜下腔出血:病例系列

Aneurysmal subarachnoid haemorrhage in pregnancy: a case series.

作者信息

Guida Maurizio, Altieri Roberto, Palatucci Valeria, Visconti Federica, Pascale Renato, Marra Marialuisa, Locatelli Giampiero, Saponiero Renato, Tufano Rosalba, Bifulco Francesca, Piazza Ornella

机构信息

Department of Obstetrics & Gynecology, University of Salerno, Italy.

出版信息

Transl Med UniSa. 2012 Jan 18;2:59-63. Print 2012 Jan.

Abstract

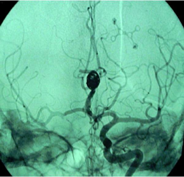
Pregnancy is a recognized risk factor for aneurysmal subarachnoid hemorrhage (SAH). Headache is very frequent in normal pregnancy and it is a common sign shared between several intracranial diseases. We present a case series of 10 women in the third trimester of pregnancy admitted to our intensive care unit (ICU) with neurological signs and symptoms. 4 of these patients were diagnosed with SAH. Data in this study suggest that a timely diagnosis and an appropriate treatment is crucial for mother and baby.

摘要

妊娠是动脉瘤性蛛网膜下腔出血(SAH)的一个公认危险因素。头痛在正常妊娠中非常常见,并且是几种颅内疾病共有的常见症状。我们报告了一组病例,10名妊娠晚期妇女因神经体征和症状入住我们的重症监护病房(ICU)。其中4名患者被诊断为SAH。本研究中的数据表明,及时诊断和适当治疗对母婴至关重要。

https://cdn.ncbi.nlm.nih.gov/pmc/blobs/fe72/3728774/4340070f0098/tm-02-59-e001.jpg

文献AI研究员

20分钟写一篇综述,助力文献阅读效率提升50倍。

立即体验

用中文搜PubMed

大模型驱动的PubMed中文搜索引擎

马上搜索

文档翻译

学术文献翻译模型,支持多种主流文档格式。

立即体验