• 文献检索
  • 文档翻译
  • 深度研究
  • 学术资讯
  • Suppr Zotero 插件Zotero 插件
  • 邀请有礼
  • 套餐&价格
  • 历史记录
应用&插件
Suppr Zotero 插件Zotero 插件浏览器插件Mac 客户端Windows 客户端微信小程序
定价
高级版会员购买积分包购买API积分包
服务
文献检索文档翻译深度研究API 文档MCP 服务
关于我们
关于 Suppr公司介绍联系我们用户协议隐私条款
关注我们

Suppr 超能文献

核心技术专利:CN118964589B侵权必究
粤ICP备2023148730 号-1Suppr @ 2026

文献检索

告别复杂PubMed语法,用中文像聊天一样搜索,搜遍4000万医学文献。AI智能推荐,让科研检索更轻松。

立即免费搜索

文件翻译

保留排版,准确专业,支持PDF/Word/PPT等文件格式,支持 12+语言互译。

免费翻译文档

深度研究

AI帮你快速写综述,25分钟生成高质量综述,智能提取关键信息,辅助科研写作。

立即免费体验

一名年轻女性的大肠梗阻酷似恶性肿瘤:放线菌感染病例报告

Large bowel obstruction in a young woman simulating a malignant neoplasm: a case report of actinomyces infection.

作者信息

Nissi R, Blanco Sequeiros R B, Lappi-Blanco E, Karjula H, Talvensaari-Mattila A

机构信息

Department of Obstetrics and Gynecology, Oulu University Hospital, University of Oulu, P.O. Box 24, 90029 Oulu, Finland.

出版信息

Case Rep Obstet Gynecol. 2013;2013:756768. doi: 10.1155/2013/756768. Epub 2013 Jun 27.

DOI:10.1155/2013/756768
PMID:23936699
原文链接:https://pmc.ncbi.nlm.nih.gov/articles/PMC3712202/
Abstract

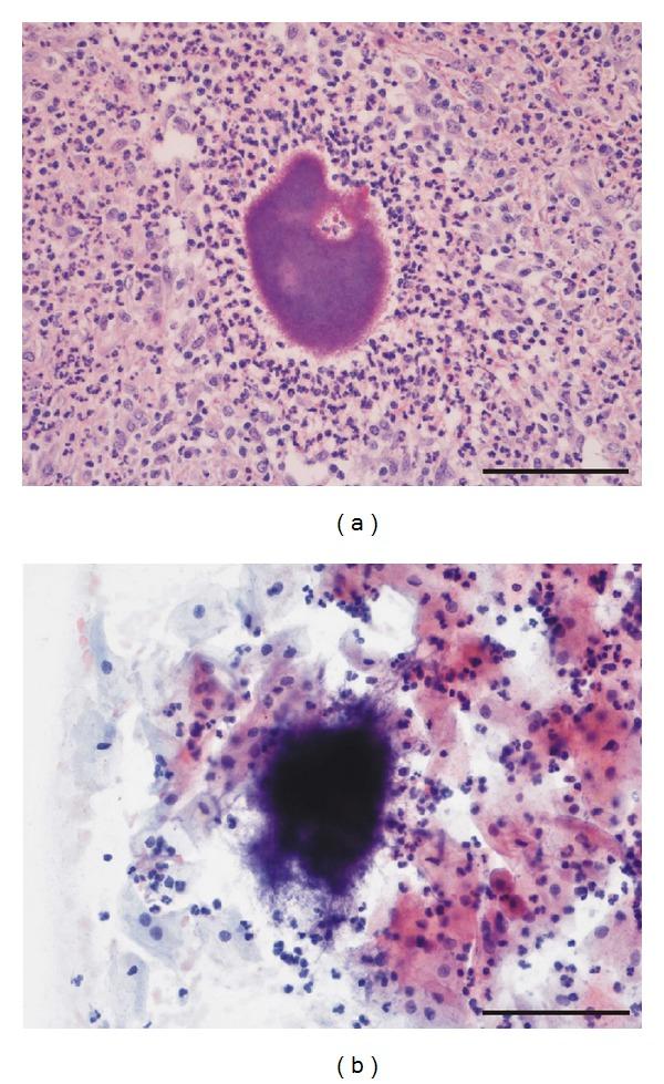
Pelvic and intra-abdominal Actinomycosis can be difficult to diagnose preoperatively and it may also mimic many other diseases, including malignancies. We present a patient with pelvic Actinomycosis probably caused by a long-standing intrauterine device (IUD). We emphasize the challenges in diagnostic process and stress that though a rare disease, intra-abdominal Actinomycosis should be suspected in cases with intra-abdominal mass of uncertain etiology. The early recognition may spare the patient from extensive surgical operation.

摘要

盆腔和腹腔放线菌病术前可能难以诊断,它还可能类似许多其他疾病,包括恶性肿瘤。我们报告一名可能由长期宫内节育器(IUD)引起的盆腔放线菌病患者。我们强调诊断过程中的挑战,并强调尽管腹腔放线菌病是一种罕见疾病,但对于病因不明的腹腔肿块病例应怀疑此病。早期识别可使患者避免接受广泛的外科手术。

https://cdn.ncbi.nlm.nih.gov/pmc/blobs/af89/3712202/8c922bd25c45/CRIM.OBGYN2013-756768.002.jpg
https://cdn.ncbi.nlm.nih.gov/pmc/blobs/af89/3712202/081e32b38a70/CRIM.OBGYN2013-756768.001.jpg
https://cdn.ncbi.nlm.nih.gov/pmc/blobs/af89/3712202/8c922bd25c45/CRIM.OBGYN2013-756768.002.jpg
https://cdn.ncbi.nlm.nih.gov/pmc/blobs/af89/3712202/081e32b38a70/CRIM.OBGYN2013-756768.001.jpg
https://cdn.ncbi.nlm.nih.gov/pmc/blobs/af89/3712202/8c922bd25c45/CRIM.OBGYN2013-756768.002.jpg

相似文献

1
Large bowel obstruction in a young woman simulating a malignant neoplasm: a case report of actinomyces infection.一名年轻女性的大肠梗阻酷似恶性肿瘤:放线菌感染病例报告
Case Rep Obstet Gynecol. 2013;2013:756768. doi: 10.1155/2013/756768. Epub 2013 Jun 27.
2
Intrauterine device-associated actinomycosis simulating pelvic malignancy.模拟盆腔恶性肿瘤的宫内节育器相关放线菌病
Am J Gastroenterol. 1981 Feb;75(2):144-7.
3
Pelvic actinomycosis associated with use of intrauterine device: a new challenge for the surgeon.与宫内节育器使用相关的盆腔放线菌病:对外科医生的新挑战。
Am Surg. 1982 Jan;48(1):25-7.
4
Actinomyces naeslundii as an agent of pelvic actinomycosis in the presence of an intrauterine device.在宫内节育器存在的情况下,内氏放线菌作为盆腔放线菌病的病原体。
J Clin Microbiol. 1985 Feb;21(2):273-5. doi: 10.1128/jcm.21.2.273-275.1985.
5
Large bowel obstruction due to intrauterine device: associated pelvic inflammatory disease.宫内节育器导致的大肠梗阻:合并盆腔炎症性疾病。
Am Surg. 1999 Dec;65(12):1165-6.
6
Ureteral and sigmoid obstruction caused by pelvic actinomycosis in an intrauterine contraceptive device user.一名宫内节育器使用者因盆腔放线菌病导致输尿管和乙状结肠梗阻。
Gynecol Obstet Invest. 2002;54(4):228-31. doi: 10.1159/000068379.
7
[Pelvic actinomycosis: just think of it].[盆腔放线菌病:只需想到它]
Gynecol Obstet Fertil. 2010 May;38(5):307-12. doi: 10.1016/j.gyobfe.2010.03.006. Epub 2010 Apr 28.
8
Pelvic actinomycosis with retained intrauterine fetal bone: a case report.伴有宫内胎儿骨骼残留的盆腔放线菌病:一例报告
J Reprod Med. 2007 Mar;52(3):220-2.
9
[Abdominal wall actinomycosis. A report of a case].[腹壁放线菌病。一例报告]
Cir Cir. 2015 Mar-Apr;83(2):141-5. doi: 10.1016/j.circir.2015.04.010. Epub 2015 May 16.
10
Pelvic actinomycosis in association with an intrauterine device.盆腔放线菌病与宫内节育器相关
Aust N Z J Obstet Gynaecol. 1993 Feb;33(1):96-8. doi: 10.1111/j.1479-828x.1993.tb02069.x.

引用本文的文献

1
Pseudo tumor pelvic actinomycosis revealed by colonic obstruction with hydronephrosis: Can extensive surgery be avoided? A case report.影像学表现为假性肿瘤的盆腔放线菌病致结肠梗阻并肾积水:能否避免广泛手术?病例报告。
Womens Health (Lond). 2023 Jan-Dec;19:17455057231181009. doi: 10.1177/17455057231181009.
2
A Clinicopathological Diagnostic and Therapeutic Approach to Cytolytic Vaginosis: An Extremely Rare Entity that may Mimic Vulvovaginal Candidiasis.细胞溶解性阴道病的临床病理诊断与治疗方法:一种可能酷似外阴阴道念珠菌病的极为罕见的病症。
J Cytol. 2021 Apr-Jun;38(2):88-93. doi: 10.4103/JOC.JOC_169_20. Epub 2021 May 8.
3

本文引用的文献

1
Abdominal wall actinomycosis simulating a malignant neoplasm: Case report and review of the literature.腹壁放线菌病模拟恶性肿瘤:病例报告及文献复习。
World J Gastrointest Surg. 2010 Jul 27;2(7):247-50. doi: 10.4240/wjgs.v2.i7.247.
2
Actinomycosis of the appendix mimicking appendiceal tumor: a case report.阑尾放线菌病酷似阑尾肿瘤:一例报告。
World J Gastroenterol. 2010 Jan 21;16(3):395-7. doi: 10.3748/wjg.v16.i3.395.
3
Intrauterine contraceptive device appendicitis: a case report.宫内节育器相关性阑尾炎:一例报告
Small bowel obstruction caused by intrauterine device infection.
宫内节育器感染导致的小肠梗阻。
Clin J Gastroenterol. 2021 Oct;14(5):1419-1425. doi: 10.1007/s12328-021-01476-6. Epub 2021 Jul 13.
World J Gastroenterol. 2005 Sep 14;11(34):5414-5. doi: 10.3748/wjg.v11.i34.5414.
4
Treatment strategy for pelvic actinomycosis: case report and review of the literature.盆腔放线菌病的治疗策略:病例报告及文献综述
Eur J Obstet Gynecol Reprod Biol. 2000 Apr;89(2):197-200. doi: 10.1016/s0301-2115(99)00173-6.
5
Abdominal actinomycosis associated with intrauterine device: CT features.
Eur Radiol. 1996;6(5):670-3. doi: 10.1007/BF00187670.
6
A longitudinal study of Actinomyces israelii in the female genital tract.
Acta Obstet Gynecol Scand. 1984;63(3):207-16. doi: 10.3109/00016348409155498.