Suppr超能文献

一名患有先前未诊断出基因突变的患者,出现了分泌儿茶酚胺的颅底鼻窦副神经节瘤,并伴有不稳定型高血压。

A catecholamine-secreting skull base sinonasal paraganglioma presenting with labile hypertension in a patient with previously undiagnosed genetic mutation.

作者信息

Hahn Samuel, Palmer James N, Adappa Nithin D

机构信息

Department of Otorhinolaryngology-Head and Neck Surgery, Hospital of the University of Pennsylvania, Philadelphia, Pennsylvania.

出版信息

J Neurol Surg Rep. 2012 Oct;73(1):19-24. doi: 10.1055/s-0032-1301408. Epub 2012 Feb 17.

Abstract

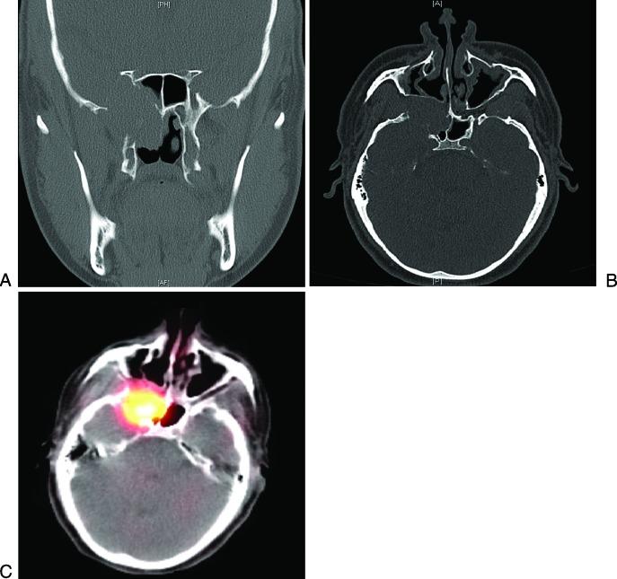
Sinonasal paragangliomas are very uncommon neuroendocrine tumors that can present as skull base lesions. Functional paragangliomas are exceedingly rare. They can be associated with genetic mutations that have been associated with increased risk of head and neck paragangliomas. We present a case of a rare functioning sinonasal paraganglioma of the skull base in a patient with distant history of prior abdominal paragangliomas. The patient underwent subtotal endoscopic resection of the skull base lesion limited by carotid encasement of the tumor. They were treated with postoperative adjuvant radiation and therapeutic metaiodobenzylguanidine (MIBG) therapy. Genetic testing revealed succinate dehydrogenase B (SDHB) mutation. Skull base paragangliomas are rare tumors that may preclude complete surgical resection. (131)Iodine-MIBG can be used as adjuvant therapy in postoperative external beam radiation and in MIBG avid tumors. Long-term follow-up is needed given locally aggressive nature of these tumors, especially for patients with history of genetic mutations such as SDHB mutations as recurrent paragangliomas may develop.

摘要

鼻窦副神经节瘤是非常罕见的神经内分泌肿瘤,可表现为颅底病变。功能性副神经节瘤极为罕见。它们可能与基因突变有关,而这些基因突变与头颈部副神经节瘤风险增加相关。我们报告一例罕见的功能性鼻窦颅底副神经节瘤病例,患者既往有腹部副神经节瘤病史。患者接受了因肿瘤包绕颈动脉而受限的颅底病变内镜下次全切除术。术后接受辅助放疗及治疗性间碘苄胍(MIBG)治疗。基因检测显示琥珀酸脱氢酶B(SDHB)突变。颅底副神经节瘤是罕见肿瘤,可能无法完全手术切除。碘-131 MIBG可作为术后外照射放疗及MIBG摄取阳性肿瘤的辅助治疗。鉴于这些肿瘤具有局部侵袭性,尤其是有SDHB突变等基因突变病史的患者可能发生复发性副神经节瘤,因此需要长期随访。

https://cdn.ncbi.nlm.nih.gov/pmc/blobs/5be9/3658654/47fb8fcf89c3/jnlsr73019-1.jpg

文献AI研究员

20分钟写一篇综述,助力文献阅读效率提升50倍。

立即体验

用中文搜PubMed

大模型驱动的PubMed中文搜索引擎

马上搜索

文档翻译

学术文献翻译模型,支持多种主流文档格式。

立即体验