Suppr超能文献

一名年轻患者出现全身性冠状动脉痉挛。

Global coronary arteries spasm in a young patient.

作者信息

Falsoleiman Homa, Bayani Baktash, Dehghani Mashalla, Moohebati Mohsen, Rohani Atoosheh

机构信息

Associate Professor, Mashhad Cardiovascular Research Center, School of Medicine, Mashhad University of Medical Sciences, Mashhad, Iran.

出版信息

ARYA Atheroscler. 2013 Jun;9(4):260-2.

Abstract

BACKGROUND

Coronary artery spasm is a transient narrowing of coronary arteries that slows or stops blood flow through the artery.

CASE REPORT

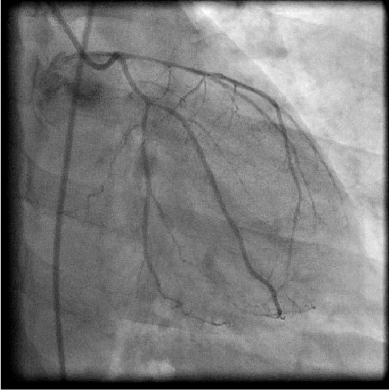
We present a 42-year-smoker man without any medical problem who developed syncope. Coronary angiography revealed diffuse significant narrowing of proximal left anterior descending artery (LAD), 90% osteal stenosis of large obtuse marginal (OM), 90% diffuse narrowing of proximal right coronary artery (RCA), which was relieved by intracoronary administration of nitrate. He was discharged on calcium channel blockers and nitrates but one month later developed syncope again and died.

CONCLUSION

Multivessel coronary artery spasm should be considered in young smoker patients without any other coronary risk factors who present with syncope.

摘要

背景

冠状动脉痉挛是冠状动脉的短暂性狭窄,会减缓或停止动脉内的血流。

病例报告

我们报告一名42岁的男性吸烟者,他没有任何医学问题,但出现了晕厥。冠状动脉造影显示左前降支近端弥漫性显著狭窄,大钝缘支骨部狭窄90%,右冠状动脉近端弥漫性狭窄90%,冠状动脉内注射硝酸盐后狭窄缓解。他出院时服用钙通道阻滞剂和硝酸盐,但一个月后再次出现晕厥并死亡。

结论

对于没有其他冠状动脉危险因素且出现晕厥的年轻吸烟患者,应考虑多支冠状动脉痉挛。

https://cdn.ncbi.nlm.nih.gov/pmc/blobs/6c45/3746942/6c3b8e758b85/ARYA-09-260f1.jpg

文献AI研究员

20分钟写一篇综述,助力文献阅读效率提升50倍。

立即体验

用中文搜PubMed

大模型驱动的PubMed中文搜索引擎

马上搜索

文档翻译

学术文献翻译模型,支持多种主流文档格式。

立即体验