Suppr超能文献

对一名已知存在中肠旋转不良的患者进行再次 Roux-en-Y 胃旁路手术。

Re-do Roux-en-Y gastric bypass in a patient with known midgut malrotation.

作者信息

Karim Muhammad Ali, Mansour Moustafa, Ali Abdulmajid

机构信息

Department of Surgery University Hospital Ayr, Ayrshire and Arran, Dalmellington Road, KA6 6DX, UK; Ayr University Hospital, Ayrshire and Arran Dalmellington Road, KA6 6DX, UK.

出版信息

JSLS. 2013 Jul-Sep;17(3):463-7. doi: 10.4293/108680813x13753907291990.

Abstract

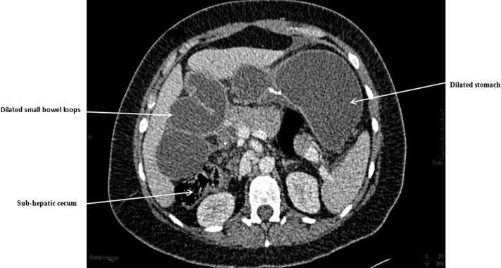
A 40-year-old woman presented with small bowel obstruction caused by an internal hernia through Peterson's defect. The patient was known to have midgut malrotation (MM) and also had laparoscopic Roux-en-Y gastric bypass for morbid obesity 6 years prior. An open revision of Roux-en-Y gastric bypass was performed as a result of ischemia of alimentary limb. She made a slow but uneventful recovery and was discharged home. MM is a rare congenital anomaly that requires the surgeon to be well aware of the unique variation in anatomy to perform a mirror image of the routine Roux-en-Y gastric bypass. At the end of this case report, we present a short literature review of published data related to MM encountered during Roux-en-Y gastric bypass.

摘要

一名40岁女性因经彼得森间隙的内疝导致小肠梗阻就诊。该患者已知患有中肠旋转不良(MM),且6年前因病态肥胖接受了腹腔镜Roux-en-Y胃旁路手术。因营养支缺血,对Roux-en-Y胃旁路进行了开放修复术。她恢复缓慢但过程顺利,随后出院回家。MM是一种罕见的先天性异常,需要外科医生充分了解解剖结构的独特变异,以便实施常规Roux-en-Y胃旁路手术的镜像操作。在本病例报告末尾,我们对Roux-en-Y胃旁路手术中遇到的与MM相关的已发表数据进行了简短的文献综述。

https://cdn.ncbi.nlm.nih.gov/pmc/blobs/5b7c/3771770/9cd1bdfd97c5/jls0031229110001.jpg

文献AI研究员

20分钟写一篇综述,助力文献阅读效率提升50倍。

立即体验

用中文搜PubMed

大模型驱动的PubMed中文搜索引擎

马上搜索

文档翻译

学术文献翻译模型,支持多种主流文档格式。

立即体验