Centro de Ciências Agrárias, Ambientais e Biológicas, Universidade Federal do Recôncavo da Bahia , Cruz das Almas, BA , Brasil.
Braz J Microbiol. 2011 Oct;42(4):1384-9. doi: 10.1590/S1517-838220110004000020. Epub 2011 Dec 1.
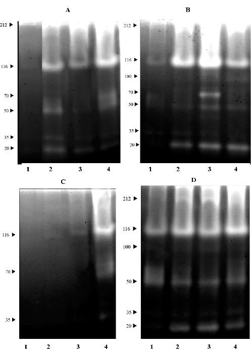
Brewer's spent grain and corn steep liquor or yeast extract were used as the sole organic forms for proteinase production by Streptomyces malaysiensis in submerged fermentation. The influence of the C and N concentrations, as well as the incubation periods, were assessed. Eight proteolytic bands were detected through gelatin-gel-electrophoresis in the various extracts obtained from the different media and after different incubation periods, with apparent molecular masses of 20, 35, 43, 50, 70, 100, 116 and 212 kDa. The results obtained suggest an opportunity for exploring this alternative strategy for proteinases production by actinomycetes, using BSG and CSL as economically feasible substrates.
以啤酒糟和玉米浸渍液或酵母抽提物作为唯一有机氮源,在深层发酵中生产马来酰亚胺链霉菌蛋白酶。考察了 C 和 N 浓度以及培养时间的影响。在不同培养基和不同培养时间获得的不同提取物中,通过明胶凝胶电泳检测到 8 条蛋白水解带,其表观分子量分别为 20、35、43、50、70、100、116 和 212 kDa。结果表明,使用 BSG 和 CSL 作为经济可行的底物,为放线菌蛋白酶的生产探索了一种替代策略的可能性。