Suppr超能文献

反义寡核苷酸抑制人 IGF-1R 抑制体外培养的卵巢上皮癌细胞的生长和存活。

Antisense oligonucleotide suppression of human IGF-1R inhibits the growth and survival of in vitro cultured epithelial ovarian cancer cells.

机构信息

Department of Gynecologic Oncology, Hunan Provincial Tumor Hospital, Xianjiahu Rd, Changsha, Hunan 410006, China.

出版信息

J Ovarian Res. 2013 Oct 8;6(1):71. doi: 10.1186/1757-2215-6-71.

Abstract

BACKGROUND

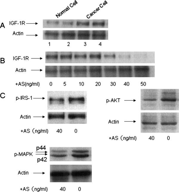
Preclinical evaluation of the anti-neoplastic activity of antisense oligonucleotide (AS) suppression of human insulin-like growth factor I receptor (IGF-IR) in human epithelial ovarian cancer (EOC).

METHODS

Ovarian cancer cells from 36 patients with EOC were investigated under serum-free tissue culture conditions. IGF-I production was evaluated by standard ELISA. IGF-IR and phosphorylated IRS-1, AKT, and MAP kinase expression and protein levels were evaluated by immunohistochemistry and Western blotting. Cancer cell growth and proliferation assays were performed in triplicates using MTT assay. Apoptosis was evaluated by TUNNEL assay.

RESULTS

All ovarian cancer tissue samples tested produced IGF-I and expressed IGF-IR, supporting the existence of an autocrine loop. Treatment of primary ovarian cancer cell lines with an IGF-1R AS inhibited growth and proliferation and decreased clonogenicity in soft agar assay. AS treatment was demonstrated to inhibit the expression of IGF-1R and decrease the concentration of phosphorylated IRS-1, AKT, and MAP kinase signaling protein downstream of the IGF-IR. We also observed that the IGF-1R AS sensitized cancer cell lines to cisplatin in vitro through the PI3K pathway.

CONCLUSIONS

IGF-IR enhances the proliferation and tumorigenicity of human ovarian cancer cells and inhibition of IGF-IR by AS oligonucleotide treatment potentiates the activity of cisplatin in vitro. Therefore, IGF-1R is a potential molecular target in ovarian cancer.

摘要

背景

反义寡核苷酸(AS)抑制人胰岛素样生长因子 I 受体(IGF-IR)在人上皮性卵巢癌(EOC)中的抗肿瘤活性的临床前评估。

方法

在无血清组织培养条件下研究了来自 36 名 EOC 患者的卵巢癌细胞。通过标准 ELISA 评估 IGF-I 的产生。通过免疫组织化学和 Western blot 评估 IGF-IR 和磷酸化 IRS-1、AKT 和 MAP 激酶的表达和蛋白水平。使用 MTT 测定法在三复孔中进行癌细胞生长和增殖测定。通过 TUNNEL 测定评估细胞凋亡。

结果

所有测试的卵巢癌组织样本均产生 IGF-I 并表达 IGF-IR,支持存在自分泌环。用 IGF-1R AS 处理原发性卵巢癌细胞系可抑制生长和增殖,并降低软琼脂测定中的集落形成能力。AS 处理被证明可抑制 IGF-1R 的表达,并降低 IGF-IR 下游磷酸化 IRS-1、AKT 和 MAP 激酶信号蛋白的浓度。我们还观察到 IGF-1R AS 通过 PI3K 途径使癌细胞系对顺铂在体外更敏感。

结论

IGF-IR 增强了人卵巢癌细胞的增殖和致瘤性,并且 IGF-IR 的 AS 寡核苷酸治疗抑制增强了顺铂在体外的活性。因此,IGF-1R 是卵巢癌的潜在分子靶标。

https://cdn.ncbi.nlm.nih.gov/pmc/blobs/a633/3851551/94d6a8bca189/1757-2215-6-71-1.jpg

文献AI研究员

20分钟写一篇综述,助力文献阅读效率提升50倍。

立即体验

用中文搜PubMed

大模型驱动的PubMed中文搜索引擎

马上搜索

文档翻译

学术文献翻译模型,支持多种主流文档格式。

立即体验