Suppr超能文献

探索性分析中期 PET 在预测儿科和青少年非霍奇金淋巴瘤患者反应中的价值。

Explorative analyses on the value of interim PET for prediction of response in pediatric and adolescent non-Hodgkin lymphoma patients.

机构信息

Department of Radiology and Nuclear Medicine, Medical School, Otto von Guericke University Magdeburg A,ö,R, Leipziger Strasse 44, Magdeburg 39120, Germany.

出版信息

EJNMMI Res. 2013 Oct 18;3(1):71. doi: 10.1186/2191-219X-3-71.

Abstract

BACKGROUND

This study is to evaluate the predictive value of FDG-PET (PET) in pediatric and adolescent patients suffering from non-Hodgkin lymphoma (pNHL) in comparison to information provided by conventional imaging methods (CIM).

METHODS

Imaging was performed at baseline and at interim (after 2 cycles of chemotherapy). The response assessment in PET was carried out visually and semi-quantitatively, the latter one by use of percentage decrease in SUVmax from baseline to interim (ΔSUVmax). The PET-based results were compared to the findings by CIM. Progression-free survival (PFS) was analyzed using Kaplan-Meier curves (KM) and log-rank test.

RESULTS

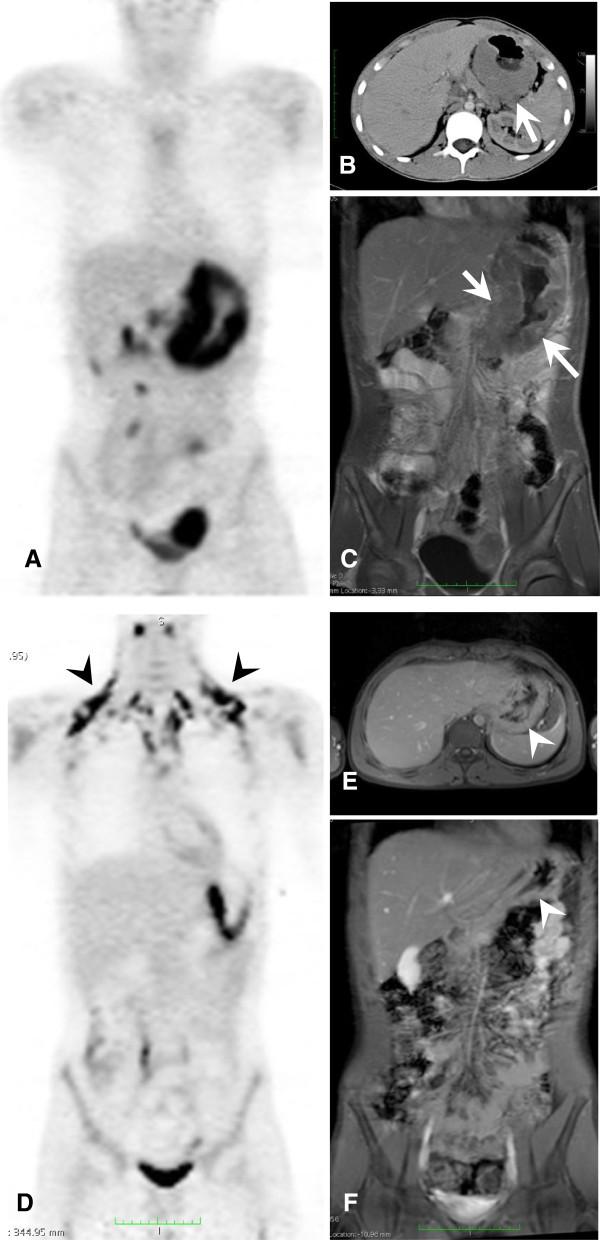
The final study included 16 patients (mean follow-up time, 60.2 months (range, 4.0 to 85.7 months)). Relapse occurred in four patients. Visual PET compared to CIM revealed higher sensitivity (3/4 vs 1/4) and NPV (6/7 vs 10/13), and equal PPV (3/9 vs 1/3), but lower specificity (6/12 vs 10/12) and accuracy (9/16 vs 11/16). False-positive findings in PET at interim were predominantly observed in patients presenting bulky disease (5/6), whereas CIM was true-negative in all of these cases. KM analyses revealed no significant differences in 5-year PFS neither for CIM (76.9% vs 66.7%; p = 0.67) nor for visual PET (85.7% vs 66.7%; p = 0.34) nor for ΔSUVmax (88.9% vs 57.1%; p = 0.12).

CONCLUSIONS

The predictive value of iPET in pediatric patients suffering from NHL was limited due to considerably high amount of false-positive findings, especially in patients suffering from bulky disease. However, due to our limited sample size, final conclusions cannot be drawn and, thus, call for further evaluation of PET in pNHL in larger and more homogenous patient series.

摘要

背景

本研究旨在评估 FDG-PET(PET)在儿科和青少年非霍奇金淋巴瘤(pNHL)患者中的预测价值,并与常规影像学方法(CIM)提供的信息进行比较。

方法

在基线和中期(化疗 2 个周期后)进行影像学检查。通过视觉和半定量方法进行 PET 反应评估,后者使用 SUVmax 从基线到中期的百分比下降(ΔSUVmax)进行。将基于 PET 的结果与 CIM 的结果进行比较。使用 Kaplan-Meier 曲线(KM)和对数秩检验分析无进展生存期(PFS)。

结果

最终研究纳入 16 例患者(中位随访时间为 60.2 个月(范围为 4.0 至 85.7 个月))。4 例患者复发。与 CIM 相比,视觉 PET 显示出更高的敏感性(3/4 对 1/4)和阴性预测值(6/7 对 10/13),相同的阳性预测值(3/9 对 1/3),但较低的特异性(6/12 对 10/12)和准确性(9/16 对 11/16)。中期 PET 的假阳性发现主要见于存在巨大肿块的患者(5/6),而 CIM 在所有这些情况下均为真阴性。KM 分析显示,无论是 CIM(76.9%对 66.7%;p=0.67)还是视觉 PET(85.7%对 66.7%;p=0.34)或ΔSUVmax(88.9%对 57.1%;p=0.12),5 年 PFS 均无显著差异。

结论

由于存在大量假阳性发现,特别是在患有巨大肿块的患者中,iPET 在儿科 NHL 患者中的预测价值受到限制。然而,由于我们的样本量有限,无法得出最终结论,因此需要在更大、更同质的患者系列中进一步评估 PET 在 pNHL 中的应用。

https://cdn.ncbi.nlm.nih.gov/pmc/blobs/b92a/3853769/d67f36db411b/2191-219X-3-71-1.jpg

文献AI研究员

20分钟写一篇综述,助力文献阅读效率提升50倍。

立即体验

用中文搜PubMed

大模型驱动的PubMed中文搜索引擎

马上搜索

文档翻译

学术文献翻译模型,支持多种主流文档格式。

立即体验