Suppr超能文献

以胃出口梗阻为表现的系统性淀粉样变性。

Systemic amyloidosis manifested by gastric outlet obstruction.

作者信息

Park Sung Woon, Lee Hyun Woong, Cho Eun Jung

机构信息

Division of Gastroenterology, Department of Internal Medicine, Chung-Ang University College of Medicine, Seoul, Korea.

出版信息

Clin Endosc. 2013 Sep;46(5):579-81. doi: 10.5946/ce.2013.46.5.579. Epub 2013 Sep 30.

Abstract

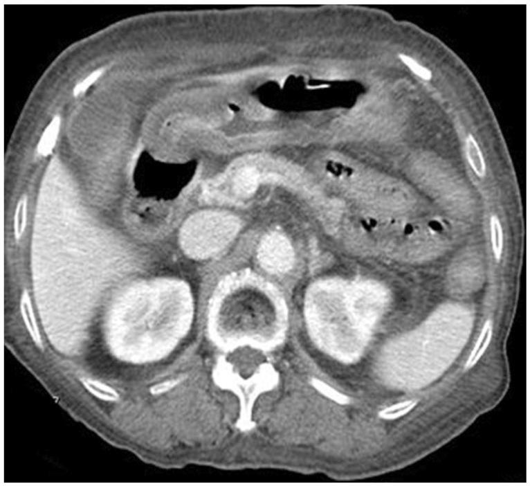
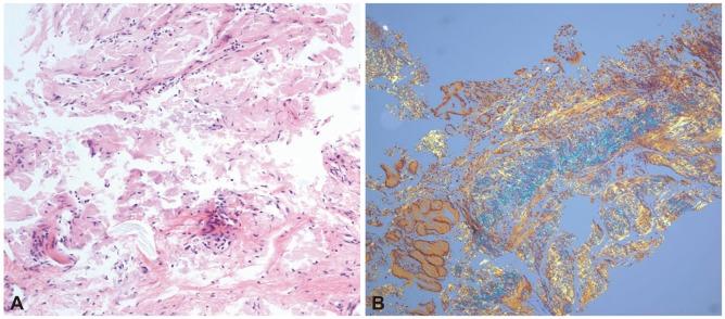
Amyloidosis is characterized by extracellular deposition of insoluble protein fibrils that stain with Congo red application and appear apple green under polarized light. The presenting symptoms result from the involvement of many affected, nonspecific and generalized organ systems. Our patient was an 80-year-old woman with no medical history. She presented with a 2-week history of nausea and vomiting. An esophagogastroduodenoscopy showed erythematous and edematous mucosa on the antrum with pyloric stenosis. Histopathologic examination of the biopsy specimen showed the deposition of amorphous, homogeneous, and acidophilic material in the gastric mucosa. Amyloidal protein was proven by positive Congo red stain. A serum and urine immunfixation electrophoresis showed lambda light chain band. She developed symptoms of repeated greenish color vomiting. A follow-up esophagogastroduodenoscopy showed progressed antral obstruction. However, she refused further evaluation and treatment and was managed conservatively. She later died of disease progression after 34 hospital days.

摘要

淀粉样变性的特征是不溶性蛋白原纤维在细胞外沉积,用刚果红染色后在偏振光下呈苹果绿色。出现的症状是由许多受影响的、非特异性的全身性器官系统受累所致。我们的患者是一位80岁的无病史女性。她有2周的恶心和呕吐病史。食管胃十二指肠镜检查显示胃窦黏膜红斑和水肿伴幽门狭窄。活检标本的组织病理学检查显示胃黏膜中有无定形、均匀、嗜酸性物质沉积。刚果红染色阳性证实为淀粉样蛋白。血清和尿液免疫固定电泳显示λ轻链带。她出现了反复绿色呕吐的症状。随访的食管胃十二指肠镜检查显示胃窦梗阻进展。然而,她拒绝进一步评估和治疗,采取了保守治疗。34个住院日后,她最终死于疾病进展。

https://cdn.ncbi.nlm.nih.gov/pmc/blobs/60b5/3797948/38c85f084329/ce-46-579-g001.jpg

文献AI研究员

20分钟写一篇综述,助力文献阅读效率提升50倍。

立即体验

用中文搜PubMed

大模型驱动的PubMed中文搜索引擎

马上搜索

文档翻译

学术文献翻译模型,支持多种主流文档格式。

立即体验