Suppr超能文献

美国可卡犬中针对βH-晶状体蛋白的血清抗体。

Serum antibodies against βH-crystallins in the American Cocker Spaniel.

作者信息

Kanemaki Nobuyuki, Fukiage Chiho, Ichikawa Yoichiro, Shearer Thomas R, Azuma Mitsuyoshi

机构信息

Veterinary Teaching Hospital, Azabu University, 1-17-71 Fuchinobe, Chuo-ku, Sagamihara, 2525201, Japan.

出版信息

Vet Ophthalmol. 2015 Mar;18(2):109-15. doi: 10.1111/vop.12113. Epub 2013 Oct 31.

Abstract

OBJECTIVE

To detect antibodies for lens βH-crystallins in the serum from the American Cocker Spaniel (ACS) presenting with and without cataracts and with and without uveitis.

ANIMAL STUDIED

Seventy-three American Cocker Spaniels and six normal Beagles.

PROCEDURES

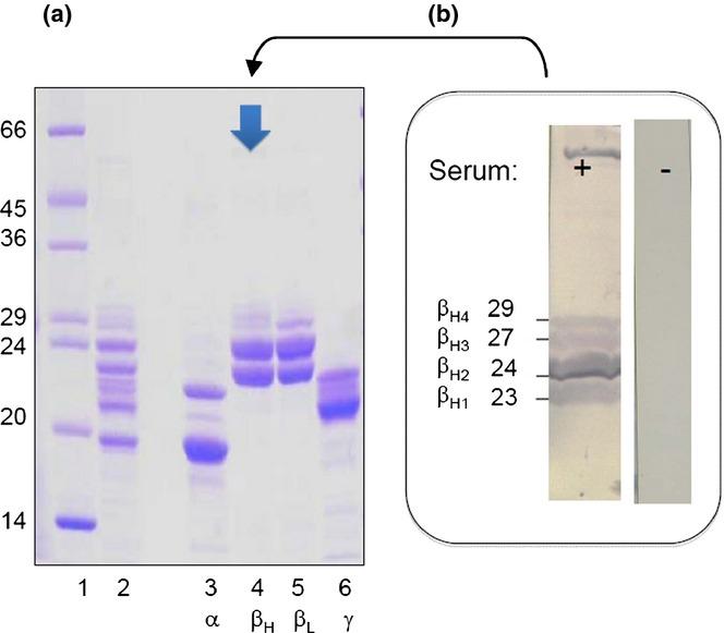
Sera were collected from 73 ACSs, including those with normal lenses and those with cataracts, or uveitis. Fractionated, normal Beagle lens βH-crystallins were separated by one- or two-dimensional electrophoresis. The separated lens βH-crystallins were used on immunoblots as sentinel substrates against which the ACS sera were tested for the presence of antibodies against βH-crystallins.

RESULTS

Sera from approximately two-thirds of study animals contained antibodies to some βH-crystallin polypeptides, but reactivity varied among patients. Contrary to some hypotheses, serum antibodies to groups of βH-crystallins did not relate to the stages of cataract. However, detailed analysis by two-dimensional immunoblotting and mass spectrometry showed that three spots originating from βA1-crystallin were detected only in sera from cataract patients.

CONCLUSION

Serum antibodies to βA1-crystallin may be associated with the development of cataract.

摘要

目的

检测患有和未患有白内障、葡萄膜炎的美国可卡犬(ACS)血清中晶状体βH-晶体蛋白的抗体。

研究动物

73只美国可卡犬和6只正常比格犬。

实验步骤

采集73只美国可卡犬的血清,包括晶状体正常、患有白内障或葡萄膜炎的犬。将正常比格犬晶状体βH-晶体蛋白进行分级分离,采用一维或二维电泳。分离出的晶状体βH-晶体蛋白用于免疫印迹,作为标记底物,检测美国可卡犬血清中针对βH-晶体蛋白的抗体。

结果

约三分之二研究动物的血清含有针对某些βH-晶体蛋白多肽的抗体,但不同患者的反应性有所差异。与一些假设相反,针对βH-晶体蛋白组的血清抗体与白内障阶段无关。然而,通过二维免疫印迹和质谱详细分析表明,仅在白内障患者血清中检测到源自βA1-晶体蛋白的三个斑点。

结论

针对βA1-晶体蛋白的血清抗体可能与白内障的发生有关。

https://cdn.ncbi.nlm.nih.gov/pmc/blobs/eafb/4371642/d41cc3aa52d9/vop0018-0109-f1.jpg

文献AI研究员

20分钟写一篇综述,助力文献阅读效率提升50倍。

立即体验

用中文搜PubMed

大模型驱动的PubMed中文搜索引擎

马上搜索

文档翻译

学术文献翻译模型,支持多种主流文档格式。

立即体验