Suppr超能文献

在体外对大肠杆菌中表达的重组表皮生长因子受体(EGFR)酪氨酸激酶的激活与抑制

In vitro activation and inhibition of recombinant EGFR tyrosine kinase expressed in Escherichia coli.

作者信息

Elloumi-Mseddi Jihene, Jellali Karim, Aifa Sami

机构信息

Centre of Biotechnology of Sfax, P.O. Box 1177, 3018 Sfax, Tunisia.

出版信息

ScientificWorldJournal. 2013 Sep 25;2013:807284. doi: 10.1155/2013/807284. eCollection 2013.

Abstract

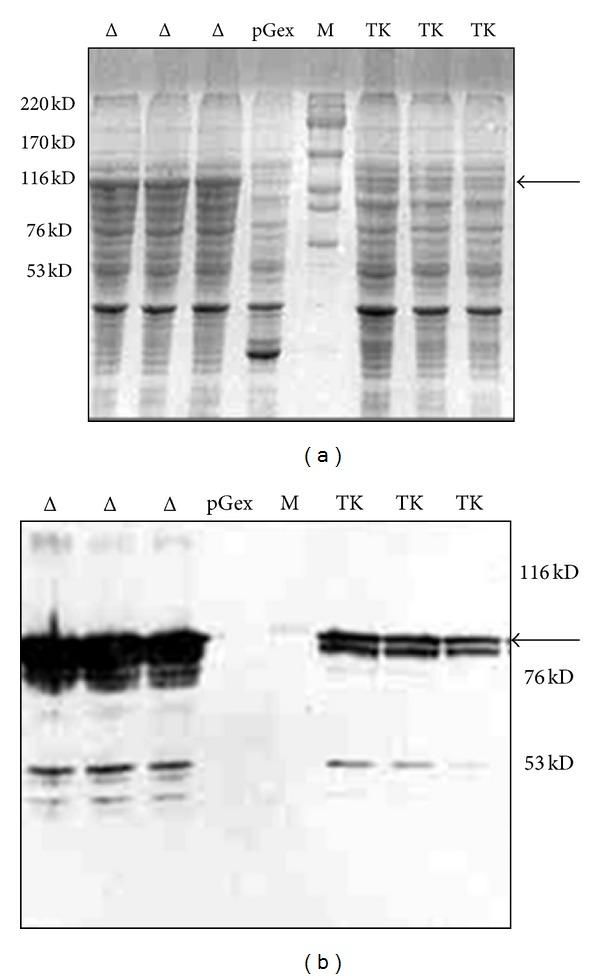
The present work concerns the heterologous expression of the intracellular domain harbouring the tyrosine kinase activity of the epidermal growth factor receptor (EGFR). Protein expression was improved thanks to the deletion of a 13-amino acid peptide of the juxtamembrane region (JM). The recombinant proteins were produced as a glutathione S-transferase (GST) fusion in Escherichia coli, and the solubilisation was performed by sarkosyl addition during extraction. The produced proteins spontaneously dimerize allowing the activation of the tyrosine kinase domain in the presence of [γ-(32)P]ATP. The activity assay has revealed the autophosphorylation of EGFR proteins which was decreased in the presence of genistein. Our system could facilitate the screening of EGFR inhibitors without the need of adding an exogenous substrate.

摘要

本研究涉及表皮生长因子受体(EGFR)酪氨酸激酶活性胞内结构域的异源表达。由于删除了近膜区(JM)的一个13个氨基酸的肽段,蛋白质表达得到了改善。重组蛋白在大肠杆菌中作为谷胱甘肽S-转移酶(GST)融合蛋白产生,提取过程中通过添加 Sarkosyl 进行溶解。产生的蛋白自发二聚化,在存在[γ-(32)P]ATP 的情况下可激活酪氨酸激酶结构域。活性测定揭示了EGFR蛋白的自磷酸化,在存在染料木黄酮的情况下其自磷酸化水平降低。我们的系统无需添加外源底物即可促进EGFR抑制剂的筛选。

https://cdn.ncbi.nlm.nih.gov/pmc/blobs/e1b2/3800664/2d3790edcd44/TSWJ2013-807284.001.jpg

相似文献

1
In vitro activation and inhibition of recombinant EGFR tyrosine kinase expressed in Escherichia coli.
ScientificWorldJournal. 2013 Sep 25;2013:807284. doi: 10.1155/2013/807284. eCollection 2013.
3
4
Epidermal growth factor receptor juxtamembrane region regulates allosteric tyrosine kinase activation.
Proc Natl Acad Sci U S A. 2007 Dec 4;104(49):19238-43. doi: 10.1073/pnas.0703854104. Epub 2007 Nov 27.
9
Expression, purification, and characterization of the native intracellular domain of human epidermal growth factor receptors 1 and 2 in Escherichia coli.
Appl Microbiol Biotechnol. 2019 Oct;103(20):8427-8438. doi: 10.1007/s00253-019-10116-6. Epub 2019 Sep 10.

引用本文的文献

1
Soy-Based Therapeutic Baby Formulas: Testable Hypotheses Regarding the Pros and Cons.
Front Nutr. 2017 Jan 18;3:59. doi: 10.3389/fnut.2016.00059. eCollection 2016.
2
A premature termination of human epidermal growth factor receptor transcription in Escherichia coli.
ScientificWorldJournal. 2014;2014:830923. doi: 10.1155/2014/830923. Epub 2014 Oct 15.

本文引用的文献

1
Monoclonal antibodies as cancer therapeutics.
Recent Pat Biotechnol. 2012 Apr;6(1):45-56. doi: 10.2174/187220812799789190.
2
The offer of chemistry to targeted therapy in cancer.
Recent Pat Biotechnol. 2011 Dec;5(3):174-82. doi: 10.2174/187220811797579079.
3
Mechanics of EGF receptor/ErbB2 kinase activation revealed by luciferase fragment complementation imaging.
Proc Natl Acad Sci U S A. 2012 Jan 3;109(1):137-42. doi: 10.1073/pnas.1111316109. Epub 2011 Dec 21.
4
Purification and characterization of recombinant extracellular domain of human HER2 from Escherichia coli.
Protein Expr Purif. 2007 Jun;53(2):247-54. doi: 10.1016/j.pep.2006.10.003. Epub 2006 Oct 24.
6
A basic peptide within the juxtamembrane region is required for EGF receptor dimerization.
Exp Cell Res. 2005 Jan 1;302(1):108-14. doi: 10.1016/j.yexcr.2004.08.032.
7
Emerging treatments in oncology: focus on tyrosine kinase (erbB) receptor inhibitors.
J Am Pharm Assoc (2003). 2004 Jan-Feb;44(1):52-8. doi: 10.1331/154434504322713237.
8
An open-and-shut case? Recent insights into the activation of EGF/ErbB receptors.
Mol Cell. 2003 Sep;12(3):541-52. doi: 10.1016/s1097-2765(03)00350-2.
9

文献AI研究员

20分钟写一篇综述,助力文献阅读效率提升50倍。

立即体验

用中文搜PubMed

大模型驱动的PubMed中文搜索引擎

马上搜索

文档翻译

学术文献翻译模型,支持多种主流文档格式。

立即体验