Suppr超能文献

海绵状血管瘤样卡波西肉瘤:组织形态学特征及鉴别诊断

Cavernous hemangioma-like kaposi sarcoma: histomorphologic features and differential diagnosis.

作者信息

Onak Kandemir Nilüfer, Barut Figen, Doğan Gün Banu, Solak Tekin Nilgün, Hallaç Keser Sevinç, Oğuz Özdamar Sükrü

机构信息

Department of Pathology, Faculty of Medicine, Bülent Ecevit University, 67100 Zonguldak, Turkey.

出版信息

Case Rep Med. 2013;2013:959812. doi: 10.1155/2013/959812. Epub 2013 Sep 25.

Abstract

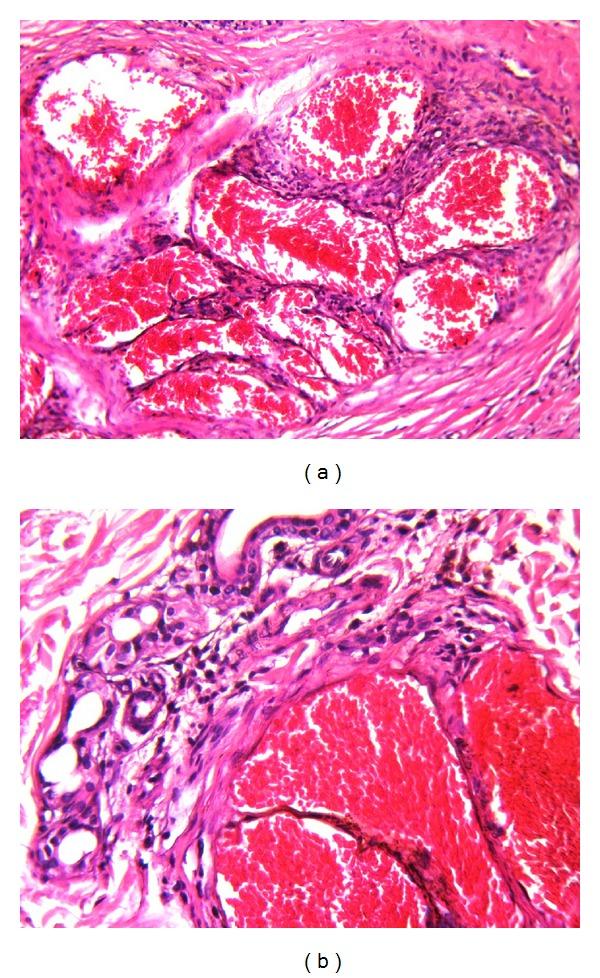
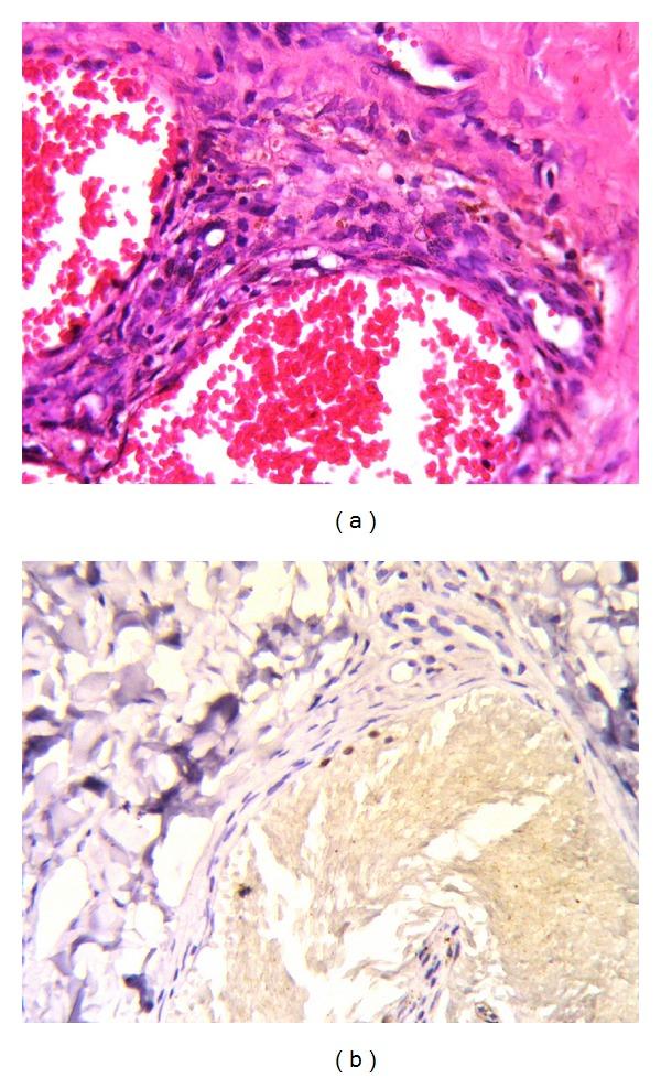
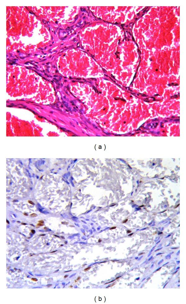
Aim. Cavernous hemangioma-like Kaposi sarcoma is a rare morphologic type of Kaposi sarcoma. So far there are no cases in the literature defining the histological features of this morphologic spectrum in detail. In this study we presented two classical-type cutaneous Kaposi sarcoma cases with histologic findings resembling cavernous hemangioma in company with clinical and histopathological data. Cases. One hundred and eighty-five classical-type cutaneous Kaposi sarcoma lesions in 79 patients were assessed retrospectively in terms of histopathological features. Findings of two cases showing features of cavernous hemangioma-like Kaposi sarcoma whose clinical data could be accessed were presented in accompany with the literature data. Both cases were detected to have bluish-purple, protruded, irregularly bordered cutaneous lesions. Histopathological examination revealed a lesion formed by cavernous hemangioma-like vascular structures organized in a lobular pattern that became dilated and filled with blood. Typical histological findings of early-stage KS, consisting of mononuclear inflammation, extravasated erythrocytes, and a few immature vascular structures in superficial dermis, were observed. All cases were serologically HIV-1 negative. A positive reaction with HHV-8, CD31, CD34, and D2-40 monoclonal antibodies was identified at both cavernous hemangioma-like areas and in immature vascular structures. Results. Cavernous hemangioma-like Kaposi sarcoma is a rare Kaposi sarcoma variant presenting with diagnostic challenges, that may be confused with hemangioma. As characteristic morphological features may not be observed in every case, it is important for diagnostic purposes to show immunohistochemical HHV-8 positivity in this variant.

摘要

目的。海绵状血管瘤样卡波西肉瘤是卡波西肉瘤一种罕见的形态学类型。迄今为止,文献中尚无详细定义这一形态学谱系组织学特征的病例。在本研究中,我们呈现了两例经典型皮肤卡波西肉瘤病例,伴有临床和组织病理学数据,其组织学表现类似于海绵状血管瘤。

病例。对79例患者的185个经典型皮肤卡波西肉瘤病变进行回顾性组织病理学特征评估。呈现了两例具有海绵状血管瘤样卡波西肉瘤特征且可获取临床数据的病例,并结合文献数据。两例均检测到有蓝紫色、突出、边界不规则的皮肤病变。组织病理学检查显示病变由呈小叶状排列的海绵状血管瘤样血管结构构成,这些结构扩张并充满血液。观察到早期卡波西肉瘤的典型组织学表现,包括单核炎症、红细胞外渗以及浅真皮层中一些不成熟的血管结构。所有病例血清学检测HIV-1均为阴性。在海绵状血管瘤样区域和不成熟血管结构中均发现与HHV-8、CD31、CD34和D2-40单克隆抗体呈阳性反应。

结果。海绵状血管瘤样卡波西肉瘤是一种罕见的卡波西肉瘤变体,存在诊断挑战,可能与血管瘤混淆。由于并非每个病例都能观察到特征性形态学特征,对于该变体而言,显示免疫组化HHV-8阳性对诊断很重要。

https://cdn.ncbi.nlm.nih.gov/pmc/blobs/1549/3800618/ea63a720cb88/CRIM.MEDICINE2013-959812.001.jpg

文献AI研究员

20分钟写一篇综述,助力文献阅读效率提升50倍。

立即体验

用中文搜PubMed

大模型驱动的PubMed中文搜索引擎

马上搜索

文档翻译

学术文献翻译模型,支持多种主流文档格式。

立即体验