Suppr超能文献

与白塞病相关的破裂颅内动脉瘤的Onyx栓塞术

Onyx Embolization of Ruptured Intracranial Aneurysm Associated with Behçet's Disease.

作者信息

Kurdi Maher, Baeesa Saleh, Bin-Mahfoodh Mohammed, Kurdi Khalil

机构信息

Pathology Department, Faculty of Medicine, King Abdulaziz University, Jeddah 21589, Saudi Arabia.

出版信息

Case Rep Vasc Med. 2013;2013:797045. doi: 10.1155/2013/797045. Epub 2013 Sep 24.

Abstract

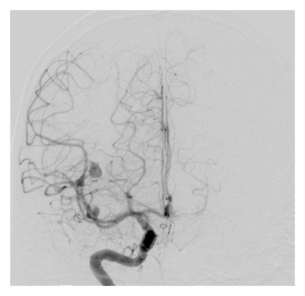
Introduction. Intracranial aneurysms associated with Behçet's disease (BD) are a rare occurrence. They are fragile, thin-walled pseudoaneurysms, which have high tendency to rupture and present a therapeutic challenge. Case Presentation. We report a 26-year-old male with BD presented with subarachnoid hemorrhage due to ruptured middle cerebral artery aneurysm. Additionally, two unruptured aneurysms were identified. He underwent endovascular embolization using Onyx with successful obliteration of the ruptured aneurysm. Medical therapy resulted in regression of one and resolution of the other aneurysms. Conclusion. We describe the first report of the application of Onyx for obliteration of ruptured cerebral aneurysm in BD as a feasible and safe therapeutic option for patients who are not candidates for other techniques.

摘要

引言。与白塞病(BD)相关的颅内动脉瘤较为罕见。它们是脆弱的薄壁假性动脉瘤,极易破裂,给治疗带来挑战。病例报告。我们报告一例26岁患有白塞病的男性,因大脑中动脉动脉瘤破裂出现蛛网膜下腔出血。此外,还发现了两个未破裂的动脉瘤。他接受了使用Onyx的血管内栓塞治疗,破裂的动脉瘤成功闭塞。药物治疗使其中一个动脉瘤缩小,另一个动脉瘤消失。结论。我们描述了首例将Onyx应用于闭塞白塞病破裂脑动脉瘤的报告,对于不适合其他技术的患者而言,这是一种可行且安全的治疗选择。

https://cdn.ncbi.nlm.nih.gov/pmc/blobs/bb67/3800601/96dd851eef7e/CRIM.VASMED2013-797045.001.jpg

文献AI研究员

20分钟写一篇综述,助力文献阅读效率提升50倍。

立即体验

用中文搜PubMed

大模型驱动的PubMed中文搜索引擎

马上搜索

文档翻译

学术文献翻译模型,支持多种主流文档格式。

立即体验